About   Help   FAQ
Gene Expression Data
Assay Details
Assay
Reference: J:228563 Koscielny G, et al., The International Mouse Phenotyping Consortium Web Portal, a unified point of access for knockout mice and related phenotyping data. Nucleic Acids Res. 2014 Jan;42(Database issue):D802-9
Assay type: In situ reporter (knock in)
MGI Accession ID: MGI:6693069
Gene symbol: Gh
Gene name: growth hormone
Reporter: lacZ
Direct Detection
Results
Specimen UC Davis_1875592: postnatal adult; Ghtm1.1(KOMP)Vlcg/Gh+ (more )
Structure Level Pattern Image Note
TS28: esophagus Present UC Davis_1875592

Specimen UC Davis_1875593: postnatal adult; Ghtm1.1(KOMP)Vlcg/Gh+ (more )
Structure Level Pattern Image Note
TS28: thymus Present UC Davis_1875593

Specimen UC Davis_1875594: postnatal adult; Ghtm1.1(KOMP)Vlcg/Gh+ (more )
Structure Level Pattern Image Note
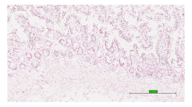
TS28: ileum Present UC Davis_1875594

Specimen UC Davis_1875595: postnatal adult; Ghtm1.1(KOMP)Vlcg/Gh+ (more )
Structure Level Pattern Image Note
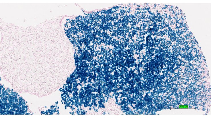
TS28: pituitary gland Present UC Davis_1875595

Specimen UC Davis_1875585: postnatal adult; Ghtm1.1(KOMP)Vlcg/Gh+ (more )
Structure Level Pattern Image Note
TS28: ileum Present UC Davis_1875585

Specimen UC Davis_1875586: postnatal adult; Ghtm1.1(KOMP)Vlcg/Gh+ (more )
Structure Level Pattern Image Note
TS28: ileum Present UC Davis_1875586

Specimen UC Davis_1875587: postnatal adult; Ghtm1.1(KOMP)Vlcg/Gh+ (more )
Structure Level Pattern Image Note
TS28: pituitary gland Present UC Davis_1875587

Specimen UC Davis_1875588: postnatal adult; Ghtm1.1(KOMP)Vlcg/Gh+ (more )
Structure Level Pattern Image Note
TS28: pituitary gland Present UC Davis_1875588

Specimen UC Davis_1875589: postnatal adult; Ghtm1.1(KOMP)Vlcg/Gh+ (more )
Structure Level Pattern Image Note
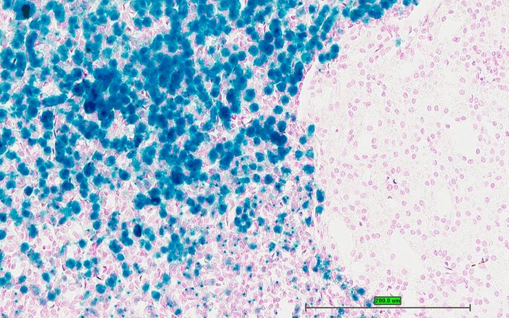
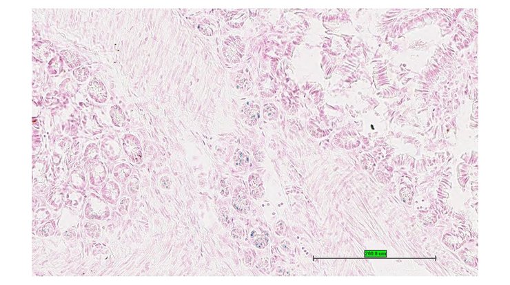
TS28: prostate gland Present UC Davis_1875589

Specimen UC Davis_1875590: postnatal adult; Ghtm1.1(KOMP)Vlcg/Gh+ (more )
Structure Level Pattern Image Note
TS28: prostate gland Present UC Davis_1875590

Specimen UC Davis_1875591: postnatal adult; Ghtm1.1(KOMP)Vlcg/Gh+ (more )
Structure Level Pattern Image Note
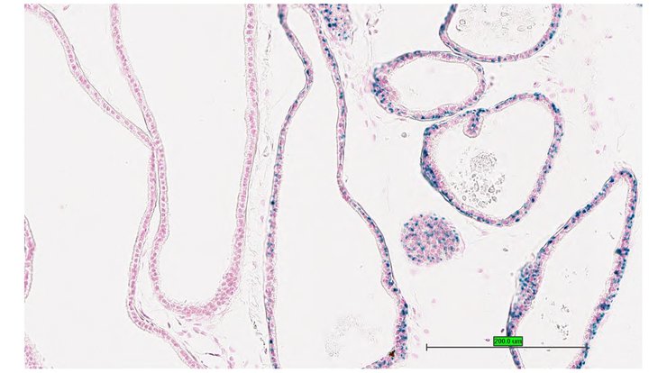
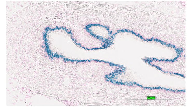
TS28: ductus deferens Present UC Davis_1875591 vas deferens


Contributing Projects:
Mouse Genome Database (MGD), Gene Expression Database (GXD), Mouse Models of Human Cancer database (MMHCdb) (formerly Mouse Tumor Biology (MTB)), Gene Ontology (GO)
Citing These Resources
Funding Information
Warranty Disclaimer, Privacy Notice, Licensing, & Copyright
Send questions and comments to User Support.
last database update
01/20/2026
MGI 6.24
The Jackson Laboratory