About   Help   FAQ
Gene Expression Data
Assay Details
Assay
Reference: J:228563 Koscielny G, et al., The International Mouse Phenotyping Consortium Web Portal, a unified point of access for knockout mice and related phenotyping data. Nucleic Acids Res. 2014 Jan;42(Database issue):D802-9
Assay type: In situ reporter (knock in)
MGI Accession ID: MGI:6693064
Gene symbol: Gata2
Gene name: GATA binding protein 2
Reporter: lacZ
Direct Detection
Results
Specimen UC Davis_1870253: postnatal adult; Gata2tm1b(KOMP)Wtsi/Gata2+ (more )
Structure Level Pattern Image Note
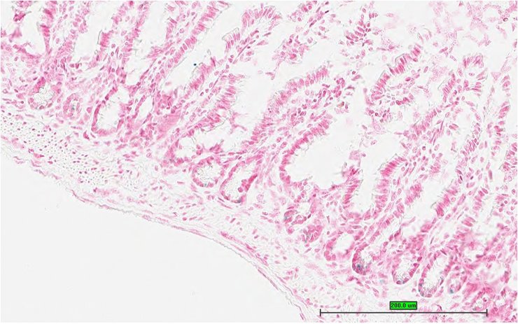
TS28: ileum Present UC Davis_1870253

Specimen UC Davis_1870254: postnatal adult; Gata2tm1b(KOMP)Wtsi/Gata2+ (more )
Structure Level Pattern Image Note
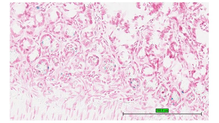
TS28: metanephros Present UC Davis_1870254 kidney

Specimen UC Davis_1870255: postnatal adult; Gata2tm1b(KOMP)Wtsi/Gata2+ (more )
Structure Level Pattern Image Note
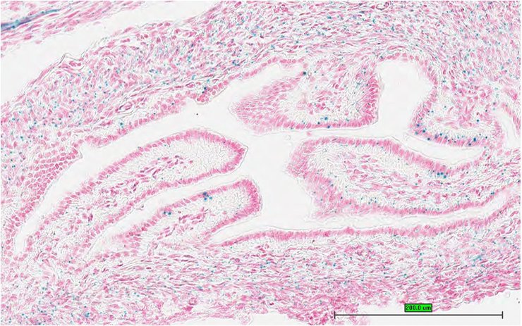
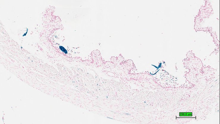
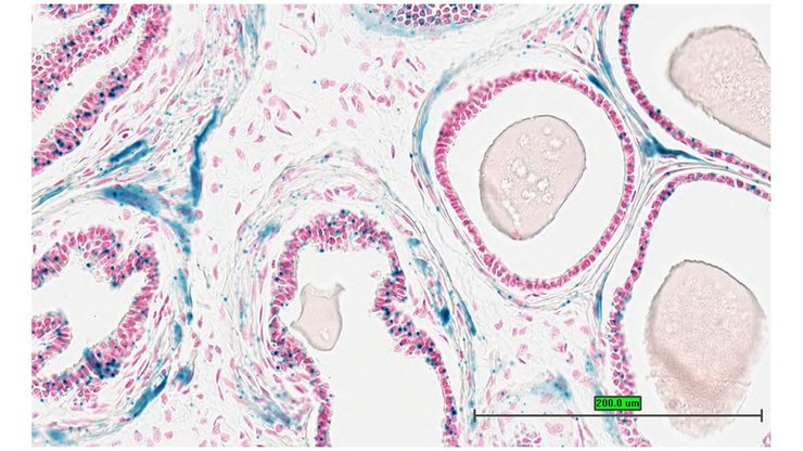
TS28: oviduct Present UC Davis_1870255

Specimen UC Davis_1870256: postnatal adult; Gata2tm1b(KOMP)Wtsi/Gata2+ (more )
Structure Level Pattern Image Note
TS28: uterus Present UC Davis_1870256

Specimen UC Davis_1870257: postnatal adult; Gata2tm1b(KOMP)Wtsi/Gata2+ (more )
Structure Level Pattern Image Note
TS28: uterus Present UC Davis_1870257

Specimen UC Davis_1870258: postnatal adult; Gata2tm1b(KOMP)Wtsi/Gata2+ (more )
Structure Level Pattern Image Note
TS28: vagina Present UC Davis_1870258

Specimen UC Davis_1870259: postnatal adult; Gata2tm1b(KOMP)Wtsi/Gata2+ (more )
Structure Level Pattern Image Note
TS28: bladder Present UC Davis_1870259

Specimen UC Davis_1870260: postnatal adult; Gata2tm1b(KOMP)Wtsi/Gata2+ (more )
Structure Level Pattern Image Note
TS28: bladder Present UC Davis_1870260

Specimen UC Davis_1870236: postnatal adult; Gata2tm1b(KOMP)Wtsi/Gata2+ (more )
Structure Level Pattern Image Note
TS28: ileum Present UC Davis_1870236

Specimen UC Davis_1870237: postnatal adult; Gata2tm1b(KOMP)Wtsi/Gata2+ (more )
Structure Level Pattern Image Note
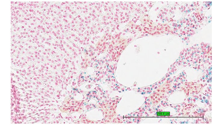
TS28: adrenal gland Present UC Davis_1870237

Specimen UC Davis_1870238: postnatal adult; Gata2tm1b(KOMP)Wtsi/Gata2+ (more )
Structure Level Pattern Image Note
TS28: bladder Present UC Davis_1870238

Specimen UC Davis_1870239: postnatal adult; Gata2tm1b(KOMP)Wtsi/Gata2+ (more )
Structure Level Pattern Image Note
TS28: bladder Present UC Davis_1870239

Specimen UC Davis_1870240: postnatal adult; Gata2tm1b(KOMP)Wtsi/Gata2+ (more )
Structure Level Pattern Image Note
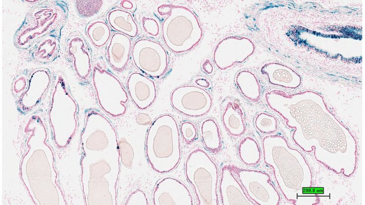
TS28: testis Present UC Davis_1870240

Specimen UC Davis_1870241: postnatal adult; Gata2tm1b(KOMP)Wtsi/Gata2+ (more )
Structure Level Pattern Image Note
TS28: testis Present UC Davis_1870241

Specimen UC Davis_1870242: postnatal adult; Gata2tm1b(KOMP)Wtsi/Gata2+ (more )
Structure Level Pattern Image Note
TS28: epididymis Present UC Davis_1870242

Specimen UC Davis_1870243: postnatal adult; Gata2tm1b(KOMP)Wtsi/Gata2+ (more )
Structure Level Pattern Image Note
TS28: epididymis Present UC Davis_1870243

Specimen UC Davis_1870244: postnatal adult; Gata2tm1b(KOMP)Wtsi/Gata2+ (more )
Structure Level Pattern Image Note
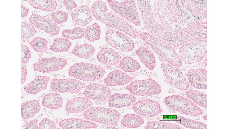
TS28: prostate gland Present UC Davis_1870244

Specimen UC Davis_1870245: postnatal adult; Gata2tm1b(KOMP)Wtsi/Gata2+ (more )
Structure Level Pattern Image Note
TS28: prostate gland Present UC Davis_1870245

Specimen UC Davis_1870248: postnatal adult; Gata2tm1b(KOMP)Wtsi/Gata2+ (more )
Structure Level Pattern Image Note
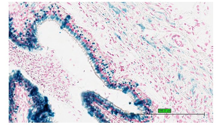
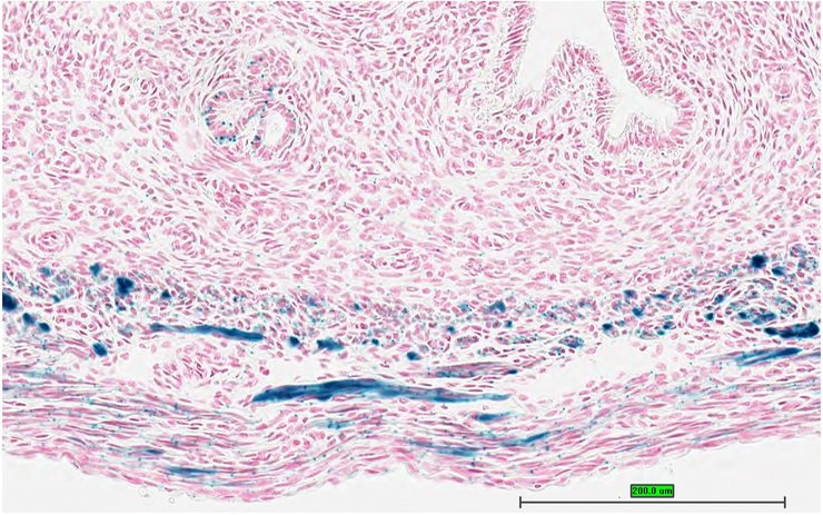
TS28: ductus deferens Present UC Davis_1870248 vas deferens

Specimen UC Davis_1870249: postnatal adult; Gata2tm1b(KOMP)Wtsi/Gata2+ (more )
Structure Level Pattern Image Note
TS28: ductus deferens Present UC Davis_1870249 vas deferens

Specimen UC Davis_1870250: postnatal adult; Gata2tm1b(KOMP)Wtsi/Gata2+ (more )
Structure Level Pattern Image Note
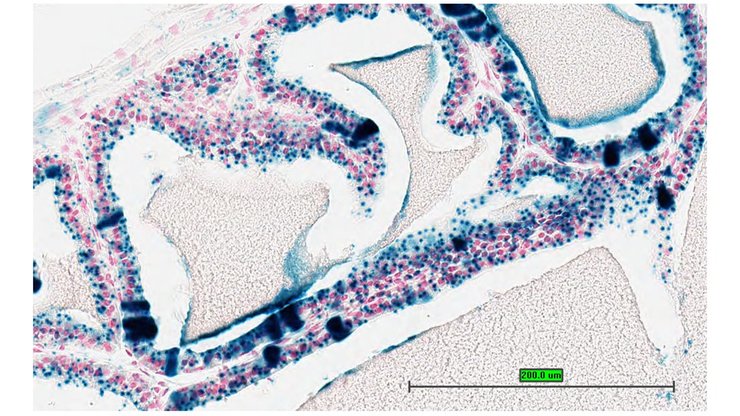
TS28: seminal vesicle Present UC Davis_1870250 vesicular gland

Specimen UC Davis_1870251: postnatal adult; Gata2tm1b(KOMP)Wtsi/Gata2+ (more )
Structure Level Pattern Image Note
TS28: seminal vesicle Present UC Davis_1870251 vesicular gland

Specimen UC Davis_1870252: postnatal adult; Gata2tm1b(KOMP)Wtsi/Gata2+ (more )
Structure Level Pattern Image Note
TS28: seminal vesicle Present UC Davis_1870252 vesicular gland


Contributing Projects:
Mouse Genome Database (MGD), Gene Expression Database (GXD), Mouse Models of Human Cancer database (MMHCdb) (formerly Mouse Tumor Biology (MTB)), Gene Ontology (GO)
Citing These Resources
Funding Information
Warranty Disclaimer, Privacy Notice, Licensing, & Copyright
Send questions and comments to User Support.
last database update
01/20/2026
MGI 6.24
The Jackson Laboratory