About   Help   FAQ
Gene Expression Data
Assay Details
Assay
Reference: J:228563 Koscielny G, et al., The International Mouse Phenotyping Consortium Web Portal, a unified point of access for knockout mice and related phenotyping data. Nucleic Acids Res. 2014 Jan;42(Database issue):D802-9
Assay type: In situ reporter (knock in)
MGI Accession ID: MGI:6693060
Gene symbol: Gabrr2
Gene name: gamma-aminobutyric acid type A receptor subunit rho 2
Reporter: lacZ
Direct Detection
Results
Specimen UC Davis_1868296: postnatal adult; Gabrr2tm1b(KOMP)Wtsi/Gabrr2+ (more )
Structure Level Pattern Image Note
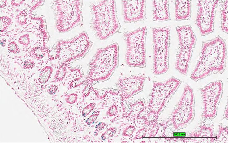
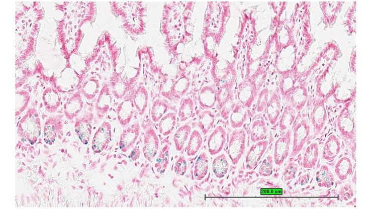
TS28: ileum Present UC Davis_1868296

Specimen UC Davis_1868297: postnatal adult; Gabrr2tm1b(KOMP)Wtsi/Gabrr2+ (more )
Structure Level Pattern Image Note
TS28: ileum Present UC Davis_1868297

Specimen UC Davis_1868298: postnatal adult; Gabrr2tm1b(KOMP)Wtsi/Gabrr2+ (more )
Structure Level Pattern Image Note
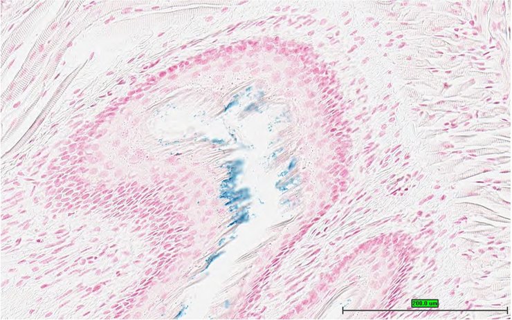
TS28: esophagus Present UC Davis_1868298

Specimen UC Davis_1868300: postnatal adult; Gabrr2tm1b(KOMP)Wtsi/Gabrr2+ (more )
Structure Level Pattern Image Note
TS28: ileum Present UC Davis_1868300

Specimen UC Davis_1868301: postnatal adult; Gabrr2tm1b(KOMP)Wtsi/Gabrr2+ (more )
Structure Level Pattern Image Note
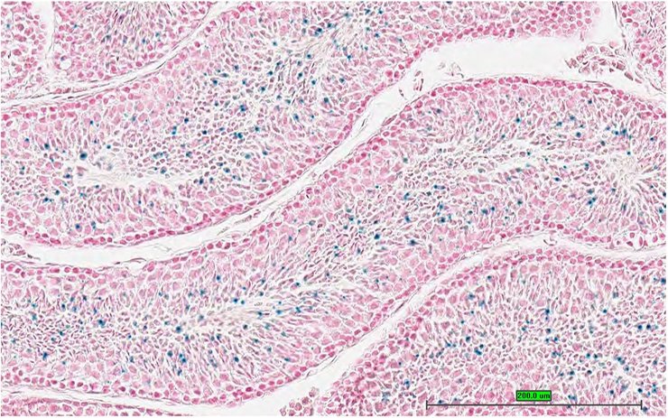
TS28: testis Present UC Davis_1868301

Specimen UC Davis_1868302: postnatal adult; Gabrr2tm1b(KOMP)Wtsi/Gabrr2+ (more )
Structure Level Pattern Image Note
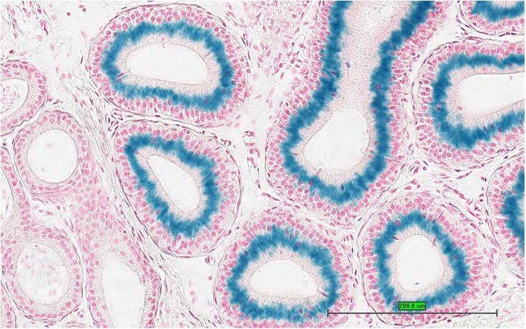
TS28: epididymis Present UC Davis_1868302

Specimen UC Davis_1868303: postnatal adult; Gabrr2tm1b(KOMP)Wtsi/Gabrr2+ (more )
Structure Level Pattern Image Note
TS28: epididymis Present UC Davis_1868303

Specimen UC Davis_1868304: postnatal adult; Gabrr2tm1b(KOMP)Wtsi/Gabrr2+ (more )
Structure Level Pattern Image Note
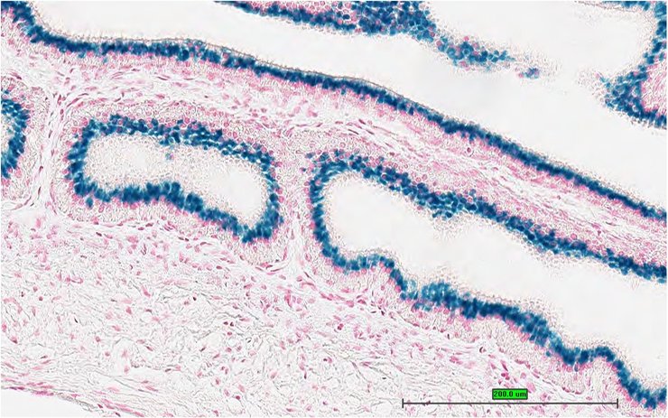
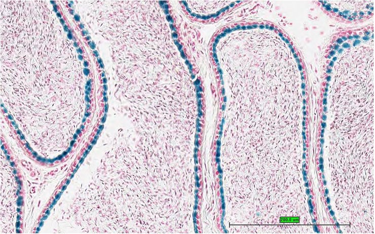
TS28: prostate gland Present UC Davis_1868304

Specimen UC Davis_1868305: postnatal adult; Gabrr2tm1b(KOMP)Wtsi/Gabrr2+ (more )
Structure Level Pattern Image Note
TS28: ductus deferens Present UC Davis_1868305 vas deferens


Contributing Projects:
Mouse Genome Database (MGD), Gene Expression Database (GXD), Mouse Models of Human Cancer database (MMHCdb) (formerly Mouse Tumor Biology (MTB)), Gene Ontology (GO)
Citing These Resources
Funding Information
Warranty Disclaimer, Privacy Notice, Licensing, & Copyright
Send questions and comments to User Support.
last database update
03/24/2026
MGI 6.24
The Jackson Laboratory