About   Help   FAQ
Gene Expression Data
Assay Details
Assay
Reference: J:228563 Koscielny G, et al., The International Mouse Phenotyping Consortium Web Portal, a unified point of access for knockout mice and related phenotyping data. Nucleic Acids Res. 2014 Jan;42(Database issue):D802-9
Assay type: In situ reporter (knock in)
MGI Accession ID: MGI:6693054
Gene symbol: Fgfr1
Gene name: fibroblast growth factor receptor 1
Reporter: lacZ
Direct Detection
Results
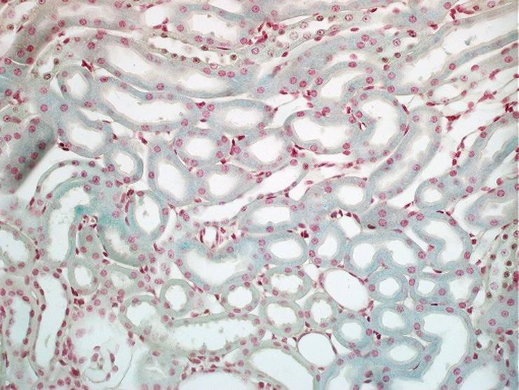
Specimen TCP_2460318: postnatal adult; Fgfr1tm1.1(KOMP)Vlcg/Fgfr1+ (more )
Structure Level Pattern Image Note
TS28: metanephros Present TCP_2460318 kidney

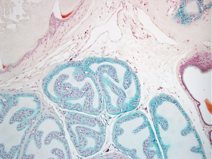
Specimen TCP_2460317: postnatal adult; Fgfr1tm1.1(KOMP)Vlcg/Fgfr1+ (more )
Structure Level Pattern Image Note
TS28: prostate gland Present TCP_2460317


Contributing Projects:
Mouse Genome Database (MGD), Gene Expression Database (GXD), Mouse Models of Human Cancer database (MMHCdb) (formerly Mouse Tumor Biology (MTB)), Gene Ontology (GO)
Citing These Resources
Funding Information
Warranty Disclaimer, Privacy Notice, Licensing, & Copyright
Send questions and comments to User Support.
last database update
09/30/2025
MGI 6.24
The Jackson Laboratory