About   Help   FAQ
Gene Expression Data
Assay Details
Assay
Reference: J:228563 Koscielny G, et al., The International Mouse Phenotyping Consortium Web Portal, a unified point of access for knockout mice and related phenotyping data. Nucleic Acids Res. 2014 Jan;42(Database issue):D802-9
Assay type: In situ reporter (knock in)
MGI Accession ID: MGI:6693031
Gene symbol: Npm3
Gene name: nucleoplasmin 3
Reporter: lacZ
Direct Detection
Results
Specimen JAX_1803729: postnatal adult; Npm3tm1.1(KOMP)Vlcg/Npm3+ (more )
Structure Level Pattern Image Note
TS28: thyroid gland Present JAX_1803729

Specimen JAX_1803730: postnatal adult; Npm3tm1.1(KOMP)Vlcg/Npm3+ (more )
Structure Level Pattern Image Note
TS28: large intestine Present JAX_1803730

Specimen JAX_1803731: postnatal adult; Npm3tm1.1(KOMP)Vlcg/Npm3+ (more )
Structure Level Pattern Image Note
TS28: trachea Present JAX_1803731

Specimen JAX_1803733: postnatal adult; Npm3tm1.1(KOMP)Vlcg/Npm3+ (more )
Structure Level Pattern Image Note
TS28: metanephros Present JAX_1803733 kidney

Specimen JAX_1803734: postnatal adult; Npm3tm1.1(KOMP)Vlcg/Npm3+ (more )
Structure Level Pattern Image Note
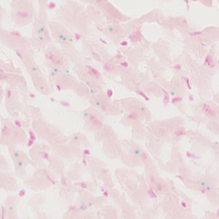
TS28: heart Present JAX_1803734

Specimen JAX_1803735: postnatal adult; Npm3tm1.1(KOMP)Vlcg/Npm3+ (more )
Structure Level Pattern Image Note
TS28: adrenal gland Present JAX_1803735

Specimen JAX_1803726: postnatal adult; Npm3tm1.1(KOMP)Vlcg/Npm3+ (more )
Structure Level Pattern Image Note
TS28: epididymis Present JAX_1803726

Specimen JAX_1803727: postnatal adult; Npm3tm1.1(KOMP)Vlcg/Npm3+ (more )
Structure Level Pattern Image Note
TS28: submandibular gland Present JAX_1803727

Specimen JAX_1803728: postnatal adult; Npm3tm1.1(KOMP)Vlcg/Npm3+ (more )
Structure Level Pattern Image Note
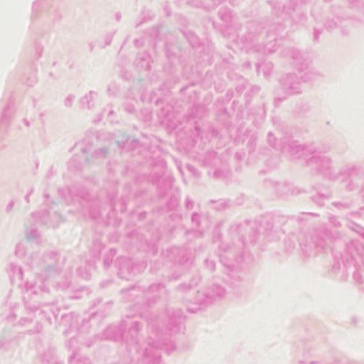
TS28: testis Present JAX_1803728


Contributing Projects:
Mouse Genome Database (MGD), Gene Expression Database (GXD), Mouse Models of Human Cancer database (MMHCdb) (formerly Mouse Tumor Biology (MTB)), Gene Ontology (GO)
Citing These Resources
Funding Information
Warranty Disclaimer, Privacy Notice, Licensing, & Copyright
Send questions and comments to User Support.
last database update
01/28/2026
MGI 6.24
The Jackson Laboratory