About   Help   FAQ
Gene Expression Data
Assay Details
Assay
Reference: J:228563 Koscielny G, et al., The International Mouse Phenotyping Consortium Web Portal, a unified point of access for knockout mice and related phenotyping data. Nucleic Acids Res. 2014 Jan;42(Database issue):D802-9
Assay type: In situ reporter (knock in)
MGI Accession ID: MGI:6693001
Gene symbol: Clps
Gene name: colipase, pancreatic
Reporter: lacZ
Direct Detection
Results
Specimen UC Davis_1889043: postnatal adult; Clpstm1b(EUCOMM)Wtsi/Clps+ (more )
Structure Level Pattern Image Note
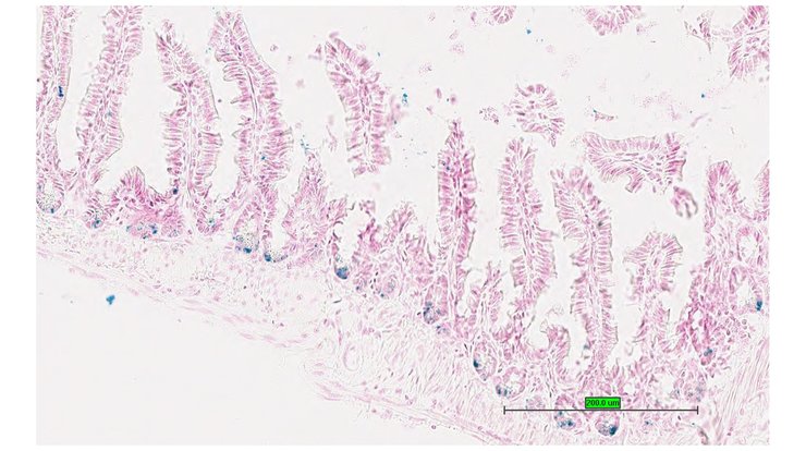
TS28: stomach Present UC Davis_1889043

Specimen UC Davis_1889044: postnatal adult; Clpstm1b(EUCOMM)Wtsi/Clps+ (more )
Structure Level Pattern Image Note
TS28: stomach Present UC Davis_1889044

Specimen UC Davis_1889045: postnatal adult; Clpstm1b(EUCOMM)Wtsi/Clps+ (more )
Structure Level Pattern Image Note
TS28: stomach Present UC Davis_1889045

Specimen UC Davis_1889046: postnatal adult; Clpstm1b(EUCOMM)Wtsi/Clps+ (more )
Structure Level Pattern Image Note
TS28: stomach Present UC Davis_1889046

Specimen UC Davis_1889047: postnatal adult; Clpstm1b(EUCOMM)Wtsi/Clps+ (more )
Structure Level Pattern Image Note
TS28: stomach Present UC Davis_1889047

Specimen UC Davis_1889048: postnatal adult; Clpstm1b(EUCOMM)Wtsi/Clps+ (more )
Structure Level Pattern Image Note
TS28: jejunum Present UC Davis_1889048

Specimen UC Davis_1889049: postnatal adult; Clpstm1b(EUCOMM)Wtsi/Clps+ (more )
Structure Level Pattern Image Note
TS28: ileum Present UC Davis_1889049

Specimen UC Davis_1889050: postnatal adult; Clpstm1b(EUCOMM)Wtsi/Clps+ (more )
Structure Level Pattern Image Note
TS28: pancreas Present UC Davis_1889050

Specimen UC Davis_1889051: postnatal adult; Clpstm1b(EUCOMM)Wtsi/Clps+ (more )
Structure Level Pattern Image Note
TS28: pancreas Present UC Davis_1889051

Specimen UC Davis_1889052: postnatal adult; Clpstm1b(EUCOMM)Wtsi/Clps+ (more )
Structure Level Pattern Image Note
TS28: pancreas Present UC Davis_1889052

Specimen UC Davis_1889053: postnatal adult; Clpstm1b(EUCOMM)Wtsi/Clps+ (more )
Structure Level Pattern Image Note
TS28: pancreas Present UC Davis_1889053

Specimen UC Davis_1889054: postnatal adult; Clpstm1b(EUCOMM)Wtsi/Clps+ (more )
Structure Level Pattern Image Note
TS28: esophagus Present UC Davis_1889054

Specimen UC Davis_1889056: postnatal adult; Clpstm1b(EUCOMM)Wtsi/Clps+ (more )
Structure Level Pattern Image Note
TS28: stomach Present UC Davis_1889056

Specimen UC Davis_1889057: postnatal adult; Clpstm1b(EUCOMM)Wtsi/Clps+ (more )
Structure Level Pattern Image Note
TS28: duodenum Present UC Davis_1889057

Specimen UC Davis_1889060: postnatal adult; Clpstm1b(EUCOMM)Wtsi/Clps+ (more )
Structure Level Pattern Image Note
TS28: pancreas Present UC Davis_1889060

Specimen UC Davis_1889061: postnatal adult; Clpstm1b(EUCOMM)Wtsi/Clps+ (more )
Structure Level Pattern Image Note
TS28: pancreas Present UC Davis_1889061

Specimen UC Davis_1889062: postnatal adult; Clpstm1b(EUCOMM)Wtsi/Clps+ (more )
Structure Level Pattern Image Note
TS28: testis Present UC Davis_1889062

Specimen UC Davis_1889063: postnatal adult; Clpstm1b(EUCOMM)Wtsi/Clps+ (more )
Structure Level Pattern Image Note
TS28: testis Present UC Davis_1889063

Specimen UC Davis_1889064: postnatal adult; Clpstm1b(EUCOMM)Wtsi/Clps+ (more )
Structure Level Pattern Image Note
TS28: epididymis Present UC Davis_1889064

Specimen UC Davis_1889065: postnatal adult; Clpstm1b(EUCOMM)Wtsi/Clps+ (more )
Structure Level Pattern Image Note
TS28: prostate gland Present UC Davis_1889065

Specimen UC Davis_1889066: postnatal adult; Clpstm1b(EUCOMM)Wtsi/Clps+ (more )
Structure Level Pattern Image Note
TS28: ductus deferens Present UC Davis_1889066 vas deferens


Contributing Projects:
Mouse Genome Database (MGD), Gene Expression Database (GXD), Mouse Models of Human Cancer database (MMHCdb) (formerly Mouse Tumor Biology (MTB)), Gene Ontology (GO)
Citing These Resources
Funding Information
Warranty Disclaimer, Privacy Notice, Licensing, & Copyright
Send questions and comments to User Support.
last database update
01/20/2026
MGI 6.24
The Jackson Laboratory