About   Help   FAQ
Gene Expression Data
Assay Details
Assay
Reference: J:228563 Koscielny G, et al., The International Mouse Phenotyping Consortium Web Portal, a unified point of access for knockout mice and related phenotyping data. Nucleic Acids Res. 2014 Jan;42(Database issue):D802-9
Assay type: In situ reporter (knock in)
MGI Accession ID: MGI:6692990
Gene symbol: Cacna1s
Gene name: calcium channel, voltage-dependent, L type, alpha 1S subunit
Reporter: lacZ
Direct Detection
Results
Specimen JAX_900451: embryonic day 12.5; Cacna1stm1.1(KOMP)Vlcg/Cacna1s+ (more )
Structure Level Pattern Image Note
TS20: embryo Present JAX_900451

Specimen JAX_900453: embryonic day 12.5; Cacna1stm1.1(KOMP)Vlcg/Cacna1s+ (more )
Structure Level Pattern Image Note
TS20: embryo Present JAX_900453

Specimen JAX_900455: embryonic day 12.5; Cacna1stm1.1(KOMP)Vlcg/Cacna1s+ (more )
Structure Level Pattern Image Note
TS20: embryo Present JAX_900455

Specimen JAX_900457: embryonic day 12.5; Cacna1stm1.1(KOMP)Vlcg/Cacna1s+ (more )
Structure Level Pattern Image Note
TS20: embryo Present JAX_900457

Specimen JAX_1799915: postnatal adult; Cacna1stm1.1(KOMP)Vlcg/Cacna1s+ (more )
Structure Level Pattern Image Note
TS28: uterus Present JAX_1799915

Specimen JAX_1799917: postnatal adult; Cacna1stm1.1(KOMP)Vlcg/Cacna1s+ (more )
Structure Level Pattern Image Note
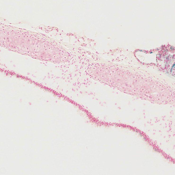
TS28: ovary Present JAX_1799917

Specimen JAX_1799903: postnatal adult; Cacna1stm1.1(KOMP)Vlcg/Cacna1s+ (more )
Structure Level Pattern Image Note
TS28: thalamus Present JAX_1799903

Specimen JAX_1799904: postnatal adult; Cacna1stm1.1(KOMP)Vlcg/Cacna1s+ (more )
Structure Level Pattern Image Note
TS28: midbrain Present JAX_1799904

Specimen JAX_1799905: postnatal adult; Cacna1stm1.1(KOMP)Vlcg/Cacna1s+ (more )
Structure Level Pattern Image Note
TS28: submandibular gland Present JAX_1799905

Specimen JAX_1799906: postnatal adult; Cacna1stm1.1(KOMP)Vlcg/Cacna1s+ (more )
Structure Level Pattern Image Note
TS28: cerebellum Present JAX_1799906

Specimen JAX_1799907: postnatal adult; Cacna1stm1.1(KOMP)Vlcg/Cacna1s+ (more )
Structure Level Pattern Image Note
TS28: brainstem Present JAX_1799907

Specimen JAX_1799908: postnatal adult; Cacna1stm1.1(KOMP)Vlcg/Cacna1s+ (more )
Structure Level Pattern Image Note
TS28: small intestine Present JAX_1799908

Specimen JAX_1799909: postnatal adult; Cacna1stm1.1(KOMP)Vlcg/Cacna1s+ (more )
Structure Level Pattern Image Note
TS28: thyroid gland Present JAX_1799909

Specimen JAX_1799910: postnatal adult; Cacna1stm1.1(KOMP)Vlcg/Cacna1s+ (more )
Structure Level Pattern Image Note
TS28: trachea Present JAX_1799910

Specimen JAX_1799911: postnatal adult; Cacna1stm1.1(KOMP)Vlcg/Cacna1s+ (more )
Structure Level Pattern Image Note
TS28: testis Present JAX_1799911

Specimen JAX_1799912: postnatal adult; Cacna1stm1.1(KOMP)Vlcg/Cacna1s+ (more )
Structure Level Pattern Image Note
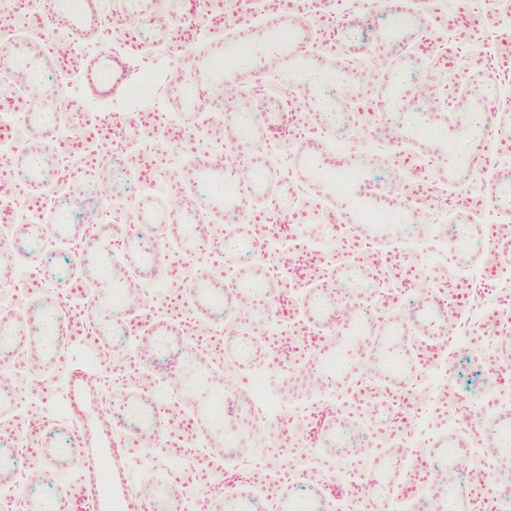
TS28: metanephros Present JAX_1799912 kidney

Specimen JAX_1799913: postnatal adult; Cacna1stm1.1(KOMP)Vlcg/Cacna1s+ (more )
Structure Level Pattern Image Note
TS28: eye Present JAX_1799913

Specimen JAX_1799914: postnatal adult; Cacna1stm1.1(KOMP)Vlcg/Cacna1s+ (more )
Structure Level Pattern Image Note
TS28: brain Present JAX_1799914


Contributing Projects:
Mouse Genome Database (MGD), Gene Expression Database (GXD), Mouse Models of Human Cancer database (MMHCdb) (formerly Mouse Tumor Biology (MTB)), Gene Ontology (GO)
Citing These Resources
Funding Information
Warranty Disclaimer, Privacy Notice, Licensing, & Copyright
Send questions and comments to User Support.
last database update
12/30/2025
MGI 6.24
The Jackson Laboratory