About   Help   FAQ
Gene Expression Data
Assay Details
Assay
Reference: J:228563 Koscielny G, et al., The International Mouse Phenotyping Consortium Web Portal, a unified point of access for knockout mice and related phenotyping data. Nucleic Acids Res. 2014 Jan;42(Database issue):D802-9
Assay type: In situ reporter (knock in)
MGI Accession ID: MGI:6692987
Gene symbol: C3
Gene name: complement component 3
Reporter: lacZ
Direct Detection
Results
Specimen JAX_1369817: embryonic day 12.5; C3tm1.1(KOMP)Vlcg/C3+ (more )
Structure Level Pattern Image Note
TS20: embryo Present JAX_1369817

Specimen JAX_1369818: embryonic day 12.5; C3tm1.1(KOMP)Vlcg/C3+ (more )
Structure Level Pattern Image Note
TS20: embryo Present JAX_1369818

Specimen JAX_1369819: embryonic day 12.5; C3tm1.1(KOMP)Vlcg/C3+ (more )
Structure Level Pattern Image Note
TS20: embryo Present JAX_1369819

Specimen JAX_1369820: embryonic day 12.5; C3tm1.1(KOMP)Vlcg/C3+ (more )
Structure Level Pattern Image Note
TS20: embryo Present JAX_1369820

Specimen JAX_1798930: postnatal adult; C3tm1.1(KOMP)Vlcg/C3+ (more )
Structure Level Pattern Image Note
TS28: adrenal gland Present JAX_1798930

Specimen JAX_1798919: postnatal adult; C3tm1.1(KOMP)Vlcg/C3+ (more )
Structure Level Pattern Image Note
TS28: submandibular gland Present JAX_1798919

Specimen JAX_1798920: postnatal adult; C3tm1.1(KOMP)Vlcg/C3+ (more )
Structure Level Pattern Image Note
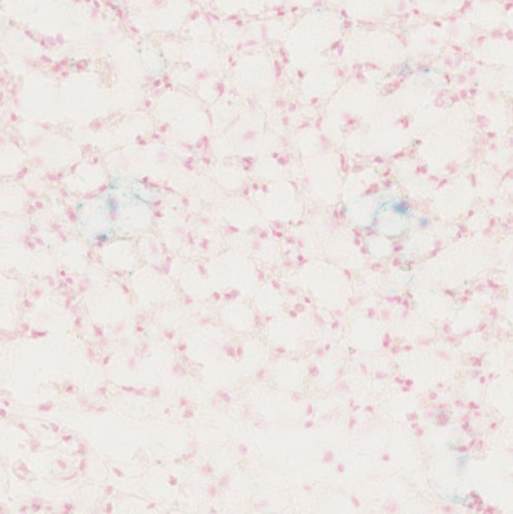
TS28: brown fat Present JAX_1798920

Specimen JAX_1798921: postnatal adult; C3tm1.1(KOMP)Vlcg/C3+ (more )
Structure Level Pattern Image Note
TS28: brainstem Present JAX_1798921

Specimen JAX_1798922: postnatal adult; C3tm1.1(KOMP)Vlcg/C3+ (more )
Structure Level Pattern Image Note
TS28: spleen Present JAX_1798922

Specimen JAX_1798923: postnatal adult; C3tm1.1(KOMP)Vlcg/C3+ (more )
Structure Level Pattern Image Note
TS28: lung Present JAX_1798923

Specimen JAX_1798924: postnatal adult; C3tm1.1(KOMP)Vlcg/C3+ (more )
Structure Level Pattern Image Note
TS28: white fat Present JAX_1798924

Specimen JAX_1798925: postnatal adult; C3tm1.1(KOMP)Vlcg/C3+ (more )
Structure Level Pattern Image Note
TS28: thymus Present JAX_1798925

Specimen JAX_1798926: postnatal adult; C3tm1.1(KOMP)Vlcg/C3+ (more )
Structure Level Pattern Image Note
TS28: testis Present JAX_1798926

Specimen JAX_1798927: postnatal adult; C3tm1.1(KOMP)Vlcg/C3+ (more )
Structure Level Pattern Image Note
TS28: liver Present JAX_1798927

Specimen JAX_1798928: postnatal adult; C3tm1.1(KOMP)Vlcg/C3+ (more )
Structure Level Pattern Image Note
TS28: metanephros Present JAX_1798928 kidney

Specimen JAX_1798929: postnatal adult; C3tm1.1(KOMP)Vlcg/C3+ (more )
Structure Level Pattern Image Note
TS28: brain Present JAX_1798929


Contributing Projects:
Mouse Genome Database (MGD), Gene Expression Database (GXD), Mouse Models of Human Cancer database (MMHCdb) (formerly Mouse Tumor Biology (MTB)), Gene Ontology (GO)
Citing These Resources
Funding Information
Warranty Disclaimer, Privacy Notice, Licensing, & Copyright
Send questions and comments to User Support.
last database update
01/20/2026
MGI 6.24
The Jackson Laboratory