About   Help   FAQ
Gene Expression Data
Assay Details
Assay
Reference: J:228563 Koscielny G, et al., The International Mouse Phenotyping Consortium Web Portal, a unified point of access for knockout mice and related phenotyping data. Nucleic Acids Res. 2014 Jan;42(Database issue):D802-9
Assay type: In situ reporter (knock in)
MGI Accession ID: MGI:6692986
Gene symbol: C1qb
Gene name: complement component 1, q subcomponent, beta polypeptide
Reporter: lacZ
Direct Detection
Results
Specimen JAX_610693: embryonic day 12.5; C1qbtm1.1(KOMP)Vlcg/C1qb+ (more )
Structure Level Pattern Image Note
TS20: embryo Present JAX_610693

Specimen JAX_610695: embryonic day 12.5; C1qbtm1.1(KOMP)Vlcg/C1qb+ (more )
Structure Level Pattern Image Note
TS20: embryo Present JAX_610695

Specimen JAX_610697: embryonic day 12.5; C1qbtm1.1(KOMP)Vlcg/C1qb+ (more )
Structure Level Pattern Image Note
TS20: embryo Present JAX_610697

Specimen JAX_610699: embryonic day 12.5; C1qbtm1.1(KOMP)Vlcg/C1qb+ (more )
Structure Level Pattern Image Note
TS20: embryo Present JAX_610699

Specimen JAX_610701: embryonic day 12.5; C1qbtm1.1(KOMP)Vlcg/C1qb+ (more )
Structure Level Pattern Image Note
TS20: embryo Present JAX_610701

Specimen JAX_610703: embryonic day 12.5; C1qbtm1.1(KOMP)Vlcg/C1qb+ (more )
Structure Level Pattern Image Note
TS20: embryo Present JAX_610703

Specimen JAX_610705: embryonic day 12.5; C1qbtm1.1(KOMP)Vlcg/C1qb+ (more )
Structure Level Pattern Image Note
TS20: embryo Present JAX_610705

Specimen JAX_610707: embryonic day 12.5; C1qbtm1.1(KOMP)Vlcg/C1qb+ (more )
Structure Level Pattern Image Note
TS20: embryo Present JAX_610707

Specimen JAX_1370229: embryonic day 12.5; C1qbtm1.1(KOMP)Vlcg/C1qb+ (more )
Structure Level Pattern Image Note
TS20: embryo Present JAX_1370229

Specimen JAX_1370230: embryonic day 12.5; C1qbtm1.1(KOMP)Vlcg/C1qb+ (more )
Structure Level Pattern Image Note
TS20: embryo Present JAX_1370230

Specimen JAX_1370231: embryonic day 12.5; C1qbtm1.1(KOMP)Vlcg/C1qb+ (more )
Structure Level Pattern Image Note
TS20: embryo Present JAX_1370231

Specimen JAX_1370232: embryonic day 12.5; C1qbtm1.1(KOMP)Vlcg/C1qb+ (more )
Structure Level Pattern Image Note
TS20: embryo Present JAX_1370232

Specimen JAX_1800741: postnatal adult; C1qbtm1.1(KOMP)Vlcg/C1qb+ (more )
Structure Level Pattern Image Note
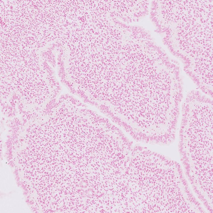
TS28: ovary Present JAX_1800741

Specimen JAX_1800742: postnatal adult; C1qbtm1.1(KOMP)Vlcg/C1qb+ (more )
Structure Level Pattern Image Note
TS28: uterus Present JAX_1800742

Specimen JAX_1800743: postnatal adult; C1qbtm1.1(KOMP)Vlcg/C1qb+ (more )
Structure Level Pattern Image Note
TS28: thymus Present JAX_1800743

Specimen JAX_1800744: postnatal adult; C1qbtm1.1(KOMP)Vlcg/C1qb+ (more )
Structure Level Pattern Image Note
TS28: heart Present JAX_1800744

Specimen JAX_1800745: postnatal adult; C1qbtm1.1(KOMP)Vlcg/C1qb+ (more )
Structure Level Pattern Image Note
TS28: skin Present JAX_1800745

Specimen JAX_1800746: postnatal adult; C1qbtm1.1(KOMP)Vlcg/C1qb+ (more )
Structure Level Pattern Image Note
TS28: white fat Present JAX_1800746

Specimen JAX_1800747: postnatal adult; C1qbtm1.1(KOMP)Vlcg/C1qb+ (more )
Structure Level Pattern Image Note
TS28: mammary gland Present JAX_1800747

Specimen JAX_1800748: postnatal adult; C1qbtm1.1(KOMP)Vlcg/C1qb+ (more )
Structure Level Pattern Image Note
TS28: spinal cord Present JAX_1800748

Specimen JAX_1800724: postnatal adult; C1qbtm1.1(KOMP)Vlcg/C1qb+ (more )
Structure Level Pattern Image Note
TS28: metanephros Present JAX_1800724 kidney

Specimen JAX_1800725: postnatal adult; C1qbtm1.1(KOMP)Vlcg/C1qb+ (more )
Structure Level Pattern Image Note
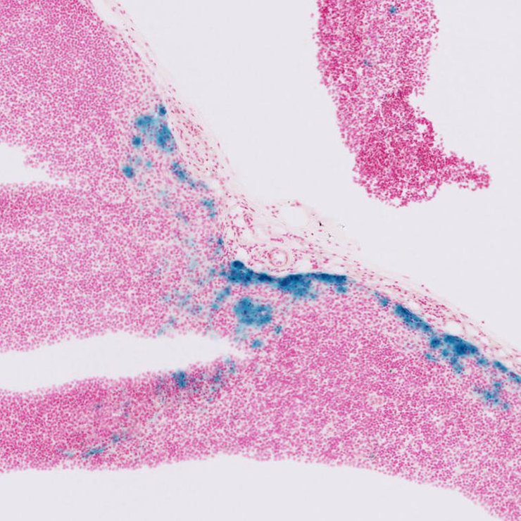
TS28: spleen Present JAX_1800725

Specimen JAX_1800726: postnatal adult; C1qbtm1.1(KOMP)Vlcg/C1qb+ (more )
Structure Level Pattern Image Note
TS28: lymph node Present JAX_1800726

Specimen JAX_1800727: postnatal adult; C1qbtm1.1(KOMP)Vlcg/C1qb+ (more )
Structure Level Pattern Image Note
TS28: small intestine Present JAX_1800727

Specimen JAX_1800728: postnatal adult; C1qbtm1.1(KOMP)Vlcg/C1qb+ (more )
Structure Level Pattern Image Note
TS28: liver Present JAX_1800728

Specimen JAX_1800729: postnatal adult; C1qbtm1.1(KOMP)Vlcg/C1qb+ (more )
Structure Level Pattern Image Note
TS28: lung Present JAX_1800729

Specimen JAX_1800730: postnatal adult; C1qbtm1.1(KOMP)Vlcg/C1qb+ (more )
Structure Level Pattern Image Note
TS28: brain Present JAX_1800730

Specimen JAX_1800731: postnatal adult; C1qbtm1.1(KOMP)Vlcg/C1qb+ (more )
Structure Level Pattern Image Note
TS28: brainstem Present JAX_1800731

Specimen JAX_1800732: postnatal adult; C1qbtm1.1(KOMP)Vlcg/C1qb+ (more )
Structure Level Pattern Image Note
TS28: cerebral cortex Present JAX_1800732

Specimen JAX_1800733: postnatal adult; C1qbtm1.1(KOMP)Vlcg/C1qb+ (more )
Structure Level Pattern Image Note
TS28: cerebellum Present JAX_1800733

Specimen JAX_1800734: postnatal adult; C1qbtm1.1(KOMP)Vlcg/C1qb+ (more )
Structure Level Pattern Image Note
TS28: hippocampus Present JAX_1800734

Specimen JAX_1800735: postnatal adult; C1qbtm1.1(KOMP)Vlcg/C1qb+ (more )
Structure Level Pattern Image Note
TS28: thalamus Present JAX_1800735

Specimen JAX_1800736: postnatal adult; C1qbtm1.1(KOMP)Vlcg/C1qb+ (more )
Structure Level Pattern Image Note
TS28: midbrain Present JAX_1800736

Specimen JAX_1800737: postnatal adult; C1qbtm1.1(KOMP)Vlcg/C1qb+ (more )
Structure Level Pattern Image Note
TS28: hypothalamus Present JAX_1800737

Specimen JAX_1800738: postnatal adult; C1qbtm1.1(KOMP)Vlcg/C1qb+ (more )
Structure Level Pattern Image Note
TS28: olfactory lobe Present JAX_1800738

Specimen JAX_1800739: postnatal adult; C1qbtm1.1(KOMP)Vlcg/C1qb+ (more )
Structure Level Pattern Image Note
TS28: peripheral nervous system Present JAX_1800739

Specimen JAX_1800740: postnatal adult; C1qbtm1.1(KOMP)Vlcg/C1qb+ (more )
Structure Level Pattern Image Note
TS28: esophagus Present JAX_1800740


Contributing Projects:
Mouse Genome Database (MGD), Gene Expression Database (GXD), Mouse Models of Human Cancer database (MMHCdb) (formerly Mouse Tumor Biology (MTB)), Gene Ontology (GO)
Citing These Resources
Funding Information
Warranty Disclaimer, Privacy Notice, Licensing, & Copyright
Send questions and comments to User Support.
last database update
01/20/2026
MGI 6.24
The Jackson Laboratory