About   Help   FAQ
Gene Expression Data
Assay Details
Assay
Reference: J:228563 Koscielny G, et al., The International Mouse Phenotyping Consortium Web Portal, a unified point of access for knockout mice and related phenotyping data. Nucleic Acids Res. 2014 Jan;42(Database issue):D802-9
Assay type: In situ reporter (knock in)
MGI Accession ID: MGI:6692982
Gene symbol: Blk
Gene name: Blk proto-oncogene, Src family tyrosine kinase
Reporter: lacZ
Direct Detection
Results
Specimen UC Davis_1870819: postnatal adult; Blktm1.1(KOMP)Vlcg/Blk+ (more )
Structure Level Pattern Image Note
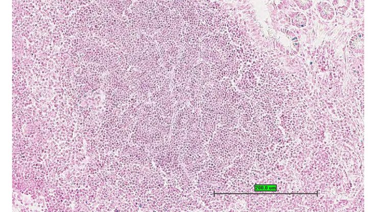
TS28: ileum Present UC Davis_1870819

Specimen UC Davis_1870820: postnatal adult; Blktm1.1(KOMP)Vlcg/Blk+ (more )
Structure Level Pattern Image Note
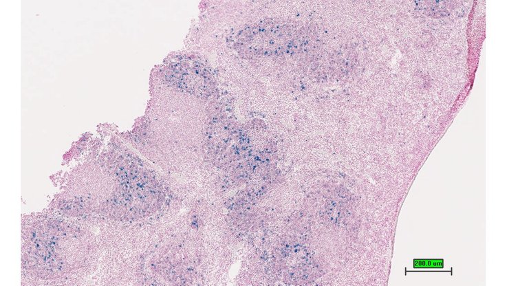
TS28: spleen Present UC Davis_1870820

Specimen UC Davis_1870821: postnatal adult; Blktm1.1(KOMP)Vlcg/Blk+ (more )
Structure Level Pattern Image Note
TS28: spleen Present UC Davis_1870821

Specimen UC Davis_1870822: postnatal adult; Blktm1.1(KOMP)Vlcg/Blk+ (more )
Structure Level Pattern Image Note
TS28: spleen Present UC Davis_1870822

Specimen UC Davis_1870823: postnatal adult; Blktm1.1(KOMP)Vlcg/Blk+ (more )
Structure Level Pattern Image Note
TS28: spleen Present UC Davis_1870823

Specimen UC Davis_1870812: postnatal adult; Blktm1.1(KOMP)Vlcg/Blk+ (more )
Structure Level Pattern Image Note
TS28: ileum Present UC Davis_1870812

Specimen UC Davis_1870813: postnatal adult; Blktm1.1(KOMP)Vlcg/Blk+ (more )
Structure Level Pattern Image Note
TS28: ileum Present UC Davis_1870813

Specimen UC Davis_1870814: postnatal adult; Blktm1.1(KOMP)Vlcg/Blk+ (more )
Structure Level Pattern Image Note
TS28: spleen Present UC Davis_1870814

Specimen UC Davis_1870815: postnatal adult; Blktm1.1(KOMP)Vlcg/Blk+ (more )
Structure Level Pattern Image Note
TS28: spleen Present UC Davis_1870815

Specimen UC Davis_1870816: postnatal adult; Blktm1.1(KOMP)Vlcg/Blk+ (more )
Structure Level Pattern Image Note
TS28: epididymis Present UC Davis_1870816

Specimen UC Davis_1870817: postnatal adult; Blktm1.1(KOMP)Vlcg/Blk+ (more )
Structure Level Pattern Image Note
TS28: ductus deferens Present UC Davis_1870817 vas deferens


Contributing Projects:
Mouse Genome Database (MGD), Gene Expression Database (GXD), Mouse Models of Human Cancer database (MMHCdb) (formerly Mouse Tumor Biology (MTB)), Gene Ontology (GO)
Citing These Resources
Funding Information
Warranty Disclaimer, Privacy Notice, Licensing, & Copyright
Send questions and comments to User Support.
last database update
12/30/2025
MGI 6.24
The Jackson Laboratory