About   Help   FAQ
Gene Expression Data
Assay Details
Assay
Reference: J:228563 Koscielny G, et al., The International Mouse Phenotyping Consortium Web Portal, a unified point of access for knockout mice and related phenotyping data. Nucleic Acids Res. 2014 Jan;42(Database issue):D802-9
Assay type: In situ reporter (knock in)
MGI Accession ID: MGI:6692980
Gene symbol: B2m
Gene name: beta-2 microglobulin
Reporter: lacZ
Direct Detection
Results
Specimen UC Davis_1887130: postnatal adult; B2mtm1b(EUCOMM)Wtsi/B2m+ (more )
Structure Level Pattern Image Note
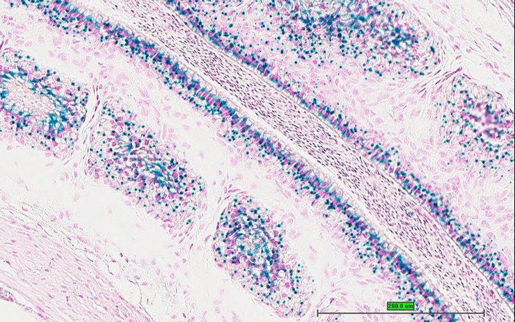
TS28: spleen Present UC Davis_1887130

Specimen UC Davis_1887131: postnatal adult; B2mtm1b(EUCOMM)Wtsi/B2m+ (more )
Structure Level Pattern Image Note
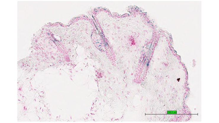
TS28: skin Present UC Davis_1887131

Specimen UC Davis_1887132: postnatal adult; B2mtm1b(EUCOMM)Wtsi/B2m+ (more )
Structure Level Pattern Image Note
TS28: skin Present UC Davis_1887132

Specimen UC Davis_1887133: postnatal adult; B2mtm1b(EUCOMM)Wtsi/B2m+ (more )
Structure Level Pattern Image Note
TS28: skin Present UC Davis_1887133

Specimen UC Davis_1887134: postnatal adult; B2mtm1b(EUCOMM)Wtsi/B2m+ (more )
Structure Level Pattern Image Note
TS28: bladder Present UC Davis_1887134

Specimen UC Davis_1887135: postnatal adult; B2mtm1b(EUCOMM)Wtsi/B2m+ (more )
Structure Level Pattern Image Note
TS28: bladder Present UC Davis_1887135

Specimen UC Davis_1887137: postnatal adult; B2mtm1b(EUCOMM)Wtsi/B2m+ (more )
Structure Level Pattern Image Note
TS28: thymus Present UC Davis_1887137

Specimen UC Davis_1887138: postnatal adult; B2mtm1b(EUCOMM)Wtsi/B2m+ (more )
Structure Level Pattern Image Note
TS28: thymus Present UC Davis_1887138

Specimen UC Davis_1887139: postnatal adult; B2mtm1b(EUCOMM)Wtsi/B2m+ (more )
Structure Level Pattern Image Note
TS28: spleen Present UC Davis_1887139

Specimen UC Davis_1887140: postnatal adult; B2mtm1b(EUCOMM)Wtsi/B2m+ (more )
Structure Level Pattern Image Note
TS28: spleen Present UC Davis_1887140

Specimen UC Davis_1887141: postnatal adult; B2mtm1b(EUCOMM)Wtsi/B2m+ (more )
Structure Level Pattern Image Note
TS28: pituitary gland Present UC Davis_1887141

Specimen UC Davis_1887142: postnatal adult; B2mtm1b(EUCOMM)Wtsi/B2m+ (more )
Structure Level Pattern Image Note
TS28: skin Present UC Davis_1887142

Specimen UC Davis_1887143: postnatal adult; B2mtm1b(EUCOMM)Wtsi/B2m+ (more )
Structure Level Pattern Image Note
TS28: skin Present UC Davis_1887143

Specimen UC Davis_1887144: postnatal adult; B2mtm1b(EUCOMM)Wtsi/B2m+ (more )
Structure Level Pattern Image Note
TS28: bladder Present UC Davis_1887144

Specimen UC Davis_1887145: postnatal adult; B2mtm1b(EUCOMM)Wtsi/B2m+ (more )
Structure Level Pattern Image Note
TS28: epididymis Present UC Davis_1887145

Specimen UC Davis_1887146: postnatal adult; B2mtm1b(EUCOMM)Wtsi/B2m+ (more )
Structure Level Pattern Image Note
TS28: ductus deferens Present UC Davis_1887146 vas deferens

Specimen UC Davis_1887149: postnatal adult; B2mtm1b(EUCOMM)Wtsi/B2m+ (more )
Structure Level Pattern Image Note
TS28: seminal vesicle Present UC Davis_1887149 vesicular gland


Contributing Projects:
Mouse Genome Database (MGD), Gene Expression Database (GXD), Mouse Models of Human Cancer database (MMHCdb) (formerly Mouse Tumor Biology (MTB)), Gene Ontology (GO)
Citing These Resources
Funding Information
Warranty Disclaimer, Privacy Notice, Licensing, & Copyright
Send questions and comments to User Support.
last database update
12/30/2025
MGI 6.24
The Jackson Laboratory