About   Help   FAQ
Gene Expression Data
Assay Details
Assay
Reference: J:228563 Koscielny G, et al., The International Mouse Phenotyping Consortium Web Portal, a unified point of access for knockout mice and related phenotyping data. Nucleic Acids Res. 2014 Jan;42(Database issue):D802-9
Assay type: In situ reporter (knock in)
MGI Accession ID: MGI:6692964
Gene symbol: Acvr2b
Gene name: activin receptor IIB
Reporter: lacZ
Direct Detection
Results
Specimen UC Davis_1863889: postnatal adult; Acvr2btm1.1(KOMP)Vlcg/Acvr2b+ (more )
Structure Level Pattern Image Note
TS28: ileum Present UC Davis_1863889

Specimen UC Davis_1863890: postnatal adult; Acvr2btm1.1(KOMP)Vlcg/Acvr2b+ (more )
Structure Level Pattern Image Note
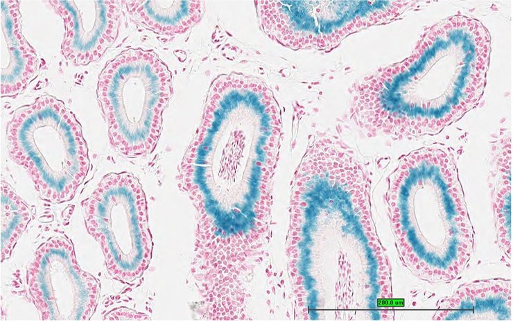
TS28: epididymis Present UC Davis_1863890

Specimen UC Davis_1863891: postnatal adult; Acvr2btm1.1(KOMP)Vlcg/Acvr2b+ (more )
Structure Level Pattern Image Note
TS28: prostate gland Present UC Davis_1863891

Specimen UC Davis_1863892: postnatal adult; Acvr2btm1.1(KOMP)Vlcg/Acvr2b+ (more )
Structure Level Pattern Image Note
TS28: ductus deferens Present UC Davis_1863892 vas deferens


Contributing Projects:
Mouse Genome Database (MGD), Gene Expression Database (GXD), Mouse Models of Human Cancer database (MMHCdb) (formerly Mouse Tumor Biology (MTB)), Gene Ontology (GO)
Citing These Resources
Funding Information
Warranty Disclaimer, Privacy Notice, Licensing, & Copyright
Send questions and comments to User Support.
last database update
01/06/2026
MGI 6.24
The Jackson Laboratory