About   Help   FAQ
Gene Expression Data
Assay Details
Assay
Reference: J:228563 Koscielny G, et al., The International Mouse Phenotyping Consortium Web Portal, a unified point of access for knockout mice and related phenotyping data. Nucleic Acids Res. 2014 Jan;42(Database issue):D802-9
Assay type: In situ reporter (knock in)
MGI Accession ID: MGI:6692935
Gene symbol: Clec4a4
Gene name: C-type lectin domain family 4, member a4
Reporter: lacZ
Direct Detection
Results
Specimen UC Davis_1877877: postnatal adult; Clec4a4tm1(KOMP)Vlcg/Clec4a4+ (more )
Structure Level Pattern Image Note
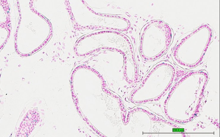
TS28: epididymis Present UC Davis_1877877

Specimen UC Davis_1877878: postnatal adult; Clec4a4tm1(KOMP)Vlcg/Clec4a4+ (more )
Structure Level Pattern Image Note
TS28: prostate gland Present UC Davis_1877878

Specimen UC Davis_1877879: postnatal adult; Clec4a4tm1(KOMP)Vlcg/Clec4a4+ (more )
Structure Level Pattern Image Note
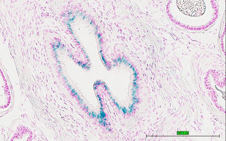
TS28: ductus deferens Present UC Davis_1877879 vas deferens


Contributing Projects:
Mouse Genome Database (MGD), Gene Expression Database (GXD), Mouse Models of Human Cancer database (MMHCdb) (formerly Mouse Tumor Biology (MTB)), Gene Ontology (GO)
Citing These Resources
Funding Information
Warranty Disclaimer, Privacy Notice, Licensing, & Copyright
Send questions and comments to User Support.
last database update
01/28/2026
MGI 6.24
The Jackson Laboratory