About   Help   FAQ
Gene Expression Data
Assay Details
Assay
Reference: J:228563 Koscielny G, et al., The International Mouse Phenotyping Consortium Web Portal, a unified point of access for knockout mice and related phenotyping data. Nucleic Acids Res. 2014 Jan;42(Database issue):D802-9
Assay type: In situ reporter (knock in)
MGI Accession ID: MGI:6692895
Gene symbol: Spef1
Gene name: sperm flagellar 1
Reporter: lacZ
Direct Detection
Results
Specimen TCP_2460410: postnatal adult; Spef1tm1.1(KOMP)Vlcg/Spef1+ (more )
Structure Level Pattern Image Note
TS28: brain Present TCP_2460410

Specimen TCP_2460411: postnatal adult; Spef1tm1.1(KOMP)Vlcg/Spef1+ (more )
Structure Level Pattern Image Note
TS28: olfactory lobe Present TCP_2460411

Specimen TCP_2460412: postnatal adult; Spef1tm1.1(KOMP)Vlcg/Spef1+ (more )
Structure Level Pattern Image Note
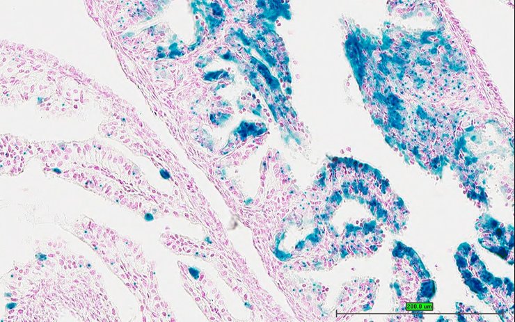
TS28: lung Present TCP_2460412

Specimen TCP_2460413: postnatal adult; Spef1tm1.1(KOMP)Vlcg/Spef1+ (more )
Structure Level Pattern Image Note
TS28: ovary Present TCP_2460413

Specimen TCP_2460414: postnatal adult; Spef1tm1.1(KOMP)Vlcg/Spef1+ (more )
Structure Level Pattern Image Note
TS28: trachea Present TCP_2460414

Specimen UC Davis_1872647: postnatal adult; Spef1tm1.1(KOMP)Vlcg/Spef1+ (more )
Structure Level Pattern Image Note
TS28: esophagus Present UC Davis_1872647

Specimen UC Davis_1872648: postnatal adult; Spef1tm1.1(KOMP)Vlcg/Spef1+ (more )
Structure Level Pattern Image Note
TS28: parathyroid gland Present UC Davis_1872648

Specimen UC Davis_1872649: postnatal adult; Spef1tm1.1(KOMP)Vlcg/Spef1+ (more )
Structure Level Pattern Image Note
TS28: lung Present UC Davis_1872649

Specimen UC Davis_1872650: postnatal adult; Spef1tm1.1(KOMP)Vlcg/Spef1+ (more )
Structure Level Pattern Image Note
TS28: lung Present UC Davis_1872650

Specimen UC Davis_1872651: postnatal adult; Spef1tm1.1(KOMP)Vlcg/Spef1+ (more )
Structure Level Pattern Image Note
TS28: lung Present UC Davis_1872651

Specimen UC Davis_1872652: postnatal adult; Spef1tm1.1(KOMP)Vlcg/Spef1+ (more )
Structure Level Pattern Image Note
TS28: thymus Present UC Davis_1872652

Specimen UC Davis_1872653: postnatal adult; Spef1tm1.1(KOMP)Vlcg/Spef1+ (more )
Structure Level Pattern Image Note
TS28: ileum Present UC Davis_1872653

Specimen UC Davis_1872654: postnatal adult; Spef1tm1.1(KOMP)Vlcg/Spef1+ (more )
Structure Level Pattern Image Note
TS28: metanephros Present UC Davis_1872654 kidney

Specimen UC Davis_1872655: postnatal adult; Spef1tm1.1(KOMP)Vlcg/Spef1+ (more )
Structure Level Pattern Image Note
TS28: spinal cord Present UC Davis_1872655

Specimen UC Davis_1872656: postnatal adult; Spef1tm1.1(KOMP)Vlcg/Spef1+ (more )
Structure Level Pattern Image Note
TS28: spinal cord Present UC Davis_1872656

Specimen UC Davis_1872657: postnatal adult; Spef1tm1.1(KOMP)Vlcg/Spef1+ (more )
Structure Level Pattern Image Note
TS28: spinal cord Present UC Davis_1872657

Specimen UC Davis_1872658: postnatal adult; Spef1tm1.1(KOMP)Vlcg/Spef1+ (more )
Structure Level Pattern Image Note
TS28: olfactory lobe Present UC Davis_1872658

Specimen UC Davis_1872659: postnatal adult; Spef1tm1.1(KOMP)Vlcg/Spef1+ (more )
Structure Level Pattern Image Note
TS28: olfactory lobe Present UC Davis_1872659

Specimen UC Davis_1872663: postnatal adult; Spef1tm1.1(KOMP)Vlcg/Spef1+ (more )
Structure Level Pattern Image Note
TS28: midbrain Present UC Davis_1872663

Specimen UC Davis_1872664: postnatal adult; Spef1tm1.1(KOMP)Vlcg/Spef1+ (more )
Structure Level Pattern Image Note
TS28: oviduct Present UC Davis_1872664

Specimen UC Davis_1872665: postnatal adult; Spef1tm1.1(KOMP)Vlcg/Spef1+ (more )
Structure Level Pattern Image Note
TS28: oviduct Present UC Davis_1872665

Specimen TCP_2460405: postnatal adult; Spef1tm1.1(KOMP)Vlcg/Spef1+ (more )
Structure Level Pattern Image Note
TS28: brain Present TCP_2460405

Specimen TCP_2460406: postnatal adult; Spef1tm1.1(KOMP)Vlcg/Spef1+ (more )
Structure Level Pattern Image Note
TS28: Harderian gland Present TCP_2460406

Specimen TCP_2460407: postnatal adult; Spef1tm1.1(KOMP)Vlcg/Spef1+ (more )
Structure Level Pattern Image Note
TS28: lung Present TCP_2460407

Specimen TCP_2460408: postnatal adult; Spef1tm1.1(KOMP)Vlcg/Spef1+ (more )
Structure Level Pattern Image Note
TS28: olfactory lobe Present TCP_2460408

Specimen TCP_2460409: postnatal adult; Spef1tm1.1(KOMP)Vlcg/Spef1+ (more )
Structure Level Pattern Image Note
TS28: cerebellum Absent TCP_2460409

Specimen UC Davis_1872667: postnatal adult; Spef1tm1.1(KOMP)Vlcg/Spef1+ (more )
Structure Level Pattern Image Note
TS28: trachea Present UC Davis_1872667

Specimen UC Davis_1872668: postnatal adult; Spef1tm1.1(KOMP)Vlcg/Spef1+ (more )
Structure Level Pattern Image Note
TS28: trachea Present UC Davis_1872668

Specimen UC Davis_1872669: postnatal adult; Spef1tm1.1(KOMP)Vlcg/Spef1+ (more )
Structure Level Pattern Image Note
TS28: lung Present UC Davis_1872669

Specimen UC Davis_1872670: postnatal adult; Spef1tm1.1(KOMP)Vlcg/Spef1+ (more )
Structure Level Pattern Image Note
TS28: lung Present UC Davis_1872670

Specimen UC Davis_1872671: postnatal adult; Spef1tm1.1(KOMP)Vlcg/Spef1+ (more )
Structure Level Pattern Image Note
TS28: ileum Present UC Davis_1872671

Specimen UC Davis_1872672: postnatal adult; Spef1tm1.1(KOMP)Vlcg/Spef1+ (more )
Structure Level Pattern Image Note
TS28: spinal cord Present UC Davis_1872672

Specimen UC Davis_1872673: postnatal adult; Spef1tm1.1(KOMP)Vlcg/Spef1+ (more )
Structure Level Pattern Image Note
TS28: spinal cord Present UC Davis_1872673

Specimen UC Davis_1872674: postnatal adult; Spef1tm1.1(KOMP)Vlcg/Spef1+ (more )
Structure Level Pattern Image Note
TS28: olfactory lobe Present UC Davis_1872674

Specimen UC Davis_1872675: postnatal adult; Spef1tm1.1(KOMP)Vlcg/Spef1+ (more )
Structure Level Pattern Image Note
TS28: olfactory lobe Present UC Davis_1872675

Specimen UC Davis_1872677: postnatal adult; Spef1tm1.1(KOMP)Vlcg/Spef1+ (more )
Structure Level Pattern Image Note
TS28: midbrain Present UC Davis_1872677

Specimen UC Davis_1872678: postnatal adult; Spef1tm1.1(KOMP)Vlcg/Spef1+ (more )
Structure Level Pattern Image Note
TS28: testis Present UC Davis_1872678

Specimen UC Davis_1872679: postnatal adult; Spef1tm1.1(KOMP)Vlcg/Spef1+ (more )
Structure Level Pattern Image Note
TS28: testis Present UC Davis_1872679

Specimen UC Davis_1872680: postnatal adult; Spef1tm1.1(KOMP)Vlcg/Spef1+ (more )
Structure Level Pattern Image Note
TS28: epididymis Present UC Davis_1872680

Specimen UC Davis_1872681: postnatal adult; Spef1tm1.1(KOMP)Vlcg/Spef1+ (more )
Structure Level Pattern Image Note
TS28: epididymis Present UC Davis_1872681

Specimen UC Davis_1872682: postnatal adult; Spef1tm1.1(KOMP)Vlcg/Spef1+ (more )
Structure Level Pattern Image Note
TS28: ductus deferens Present UC Davis_1872682 vas deferens

Specimen UC Davis_1872683: postnatal adult; Spef1tm1.1(KOMP)Vlcg/Spef1+ (more )
Structure Level Pattern Image Note
TS28: ductus deferens Present UC Davis_1872683 vas deferens


Contributing Projects:
Mouse Genome Database (MGD), Gene Expression Database (GXD), Mouse Models of Human Cancer database (MMHCdb) (formerly Mouse Tumor Biology (MTB)), Gene Ontology (GO)
Citing These Resources
Funding Information
Warranty Disclaimer, Privacy Notice, Licensing, & Copyright
Send questions and comments to User Support.
last database update
01/28/2026
MGI 6.24
The Jackson Laboratory