About   Help   FAQ
Gene Expression Data
Assay Details
Assay
Reference: J:228563 Koscielny G, et al., The International Mouse Phenotyping Consortium Web Portal, a unified point of access for knockout mice and related phenotyping data. Nucleic Acids Res. 2014 Jan;42(Database issue):D802-9
Assay type: In situ reporter (knock in)
MGI Accession ID: MGI:6692875
Gene symbol: Palb2
Gene name: partner and localizer of BRCA2
Reporter: lacZ
Direct Detection
Results
Specimen JAX_1329835: embryonic day 12.5; Palb2tm1.1(KOMP)Vlcg/Palb2+ (more )
Structure Level Pattern Image Note
TS20: embryo Present JAX_1329835

Specimen JAX_1329836: embryonic day 12.5; Palb2tm1.1(KOMP)Vlcg/Palb2+ (more )
Structure Level Pattern Image Note
TS20: embryo Present JAX_1329836

Specimen JAX_1329837: embryonic day 12.5; Palb2tm1.1(KOMP)Vlcg/Palb2+ (more )
Structure Level Pattern Image Note
TS20: embryo Present JAX_1329837

Specimen JAX_1329838: embryonic day 12.5; Palb2tm1.1(KOMP)Vlcg/Palb2+ (more )
Structure Level Pattern Image Note
TS20: embryo Present JAX_1329838

Specimen JAX_619603: embryonic day 12.5; Palb2tm1.1(KOMP)Vlcg/Palb2+ (more )
Structure Level Pattern Image Note
TS20: embryo Present JAX_619603

Specimen JAX_619605: embryonic day 12.5; Palb2tm1.1(KOMP)Vlcg/Palb2+ (more )
Structure Level Pattern Image Note
TS20: embryo Present JAX_619605

Specimen JAX_619607: embryonic day 12.5; Palb2tm1.1(KOMP)Vlcg/Palb2+ (more )
Structure Level Pattern Image Note
TS20: embryo Present JAX_619607

Specimen JAX_619609: embryonic day 12.5; Palb2tm1.1(KOMP)Vlcg/Palb2+ (more )
Structure Level Pattern Image Note
TS20: embryo Present JAX_619609

Specimen JAX_619611: embryonic day 12.5; Palb2tm1.1(KOMP)Vlcg/Palb2+ (more )
Structure Level Pattern Image Note
TS20: embryo Present JAX_619611

Specimen JAX_619613: embryonic day 12.5; Palb2tm1.1(KOMP)Vlcg/Palb2+ (more )
Structure Level Pattern Image Note
TS20: embryo Present JAX_619613

Specimen JAX_619615: embryonic day 12.5; Palb2tm1.1(KOMP)Vlcg/Palb2+ (more )
Structure Level Pattern Image Note
TS20: embryo Present JAX_619615

Specimen JAX_619617: embryonic day 12.5; Palb2tm1.1(KOMP)Vlcg/Palb2+ (more )
Structure Level Pattern Image Note
TS20: embryo Present JAX_619617

Specimen JAX_1798801: postnatal adult; Palb2tm1.1(KOMP)Vlcg/Palb2+ (more )
Structure Level Pattern Image Note
TS28: pancreas Present JAX_1798801

Specimen JAX_1798802: postnatal adult; Palb2tm1.1(KOMP)Vlcg/Palb2+ (more )
Structure Level Pattern Image Note
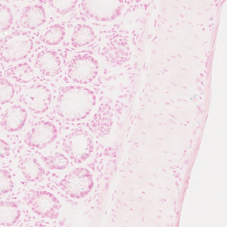
TS28: large intestine Present JAX_1798802

Specimen JAX_1798803: postnatal adult; Palb2tm1.1(KOMP)Vlcg/Palb2+ (more )
Structure Level Pattern Image Note
TS28: uterus Present JAX_1798803

Specimen JAX_1798804: postnatal adult; Palb2tm1.1(KOMP)Vlcg/Palb2+ (more )
Structure Level Pattern Image Note
TS28: thymus Present JAX_1798804

Specimen JAX_1798805: postnatal adult; Palb2tm1.1(KOMP)Vlcg/Palb2+ (more )
Structure Level Pattern Image Note
TS28: stomach Present JAX_1798805

Specimen JAX_1798806: postnatal adult; Palb2tm1.1(KOMP)Vlcg/Palb2+ (more )
Structure Level Pattern Image Note
TS28: oviduct Present JAX_1798806

Specimen JAX_1798807: postnatal adult; Palb2tm1.1(KOMP)Vlcg/Palb2+ (more )
Structure Level Pattern Image Note
TS28: ovary Present JAX_1798807

Specimen JAX_1798808: postnatal adult; Palb2tm1.1(KOMP)Vlcg/Palb2+ (more )
Structure Level Pattern Image Note
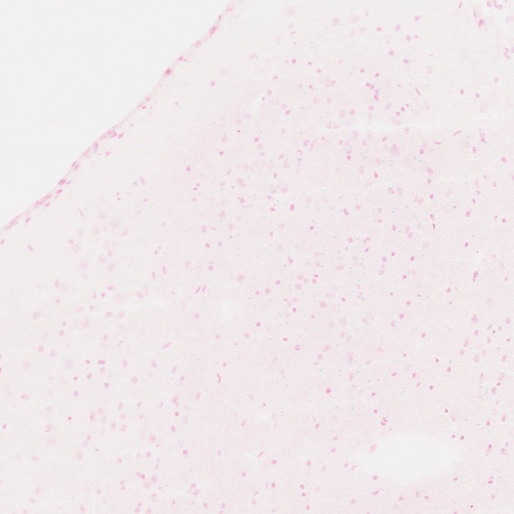
TS28: thalamus Present JAX_1798808

Specimen JAX_1798809: postnatal adult; Palb2tm1.1(KOMP)Vlcg/Palb2+ (more )
Structure Level Pattern Image Note
TS28: midbrain Present JAX_1798809

Specimen JAX_1798810: postnatal adult; Palb2tm1.1(KOMP)Vlcg/Palb2+ (more )
Structure Level Pattern Image Note
TS28: epididymis Present JAX_1798810

Specimen JAX_1798811: postnatal adult; Palb2tm1.1(KOMP)Vlcg/Palb2+ (more )
Structure Level Pattern Image Note
TS28: submandibular gland Present JAX_1798811

Specimen JAX_1798812: postnatal adult; Palb2tm1.1(KOMP)Vlcg/Palb2+ (more )
Structure Level Pattern Image Note
TS28: bone marrow Present JAX_1798812

Specimen JAX_1798813: postnatal adult; Palb2tm1.1(KOMP)Vlcg/Palb2+ (more )
Structure Level Pattern Image Note
TS28: bladder Present JAX_1798813

Specimen JAX_1798814: postnatal adult; Palb2tm1.1(KOMP)Vlcg/Palb2+ (more )
Structure Level Pattern Image Note
TS28: olfactory lobe Present JAX_1798814

Specimen JAX_1798815: postnatal adult; Palb2tm1.1(KOMP)Vlcg/Palb2+ (more )
Structure Level Pattern Image Note
TS28: hypothalamus Present JAX_1798815

Specimen JAX_1798816: postnatal adult; Palb2tm1.1(KOMP)Vlcg/Palb2+ (more )
Structure Level Pattern Image Note
TS28: hippocampus Present JAX_1798816

Specimen JAX_1798817: postnatal adult; Palb2tm1.1(KOMP)Vlcg/Palb2+ (more )
Structure Level Pattern Image Note
TS28: cerebellum Present JAX_1798817

Specimen JAX_1798818: postnatal adult; Palb2tm1.1(KOMP)Vlcg/Palb2+ (more )
Structure Level Pattern Image Note
TS28: cerebral cortex Present JAX_1798818

Specimen JAX_1798819: postnatal adult; Palb2tm1.1(KOMP)Vlcg/Palb2+ (more )
Structure Level Pattern Image Note
TS28: cartilage Present JAX_1798819

Specimen JAX_1798820: postnatal adult; Palb2tm1.1(KOMP)Vlcg/Palb2+ (more )
Structure Level Pattern Image Note
TS28: brainstem Present JAX_1798820

Specimen JAX_1798821: postnatal adult; Palb2tm1.1(KOMP)Vlcg/Palb2+ (more )
Structure Level Pattern Image Note
TS28: spleen Present JAX_1798821

Specimen JAX_1798822: postnatal adult; Palb2tm1.1(KOMP)Vlcg/Palb2+ (more )
Structure Level Pattern Image Note
TS28: small intestine Present JAX_1798822

Specimen JAX_1798823: postnatal adult; Palb2tm1.1(KOMP)Vlcg/Palb2+ (more )
Structure Level Pattern Image Note
TS28: pituitary gland Present JAX_1798823

Specimen JAX_1798824: postnatal adult; Palb2tm1.1(KOMP)Vlcg/Palb2+ (more )
Structure Level Pattern Image Note
TS28: spinal cord Present JAX_1798824

Specimen JAX_1798825: postnatal adult; Palb2tm1.1(KOMP)Vlcg/Palb2+ (more )
Structure Level Pattern Image Note
TS28: esophagus Present JAX_1798825

Specimen JAX_1798826: postnatal adult; Palb2tm1.1(KOMP)Vlcg/Palb2+ (more )
Structure Level Pattern Image Note
TS28: testis Present JAX_1798826

Specimen JAX_1798827: postnatal adult; Palb2tm1.1(KOMP)Vlcg/Palb2+ (more )
Structure Level Pattern Image Note
TS28: metanephros Present JAX_1798827 kidney

Specimen JAX_1798828: postnatal adult; Palb2tm1.1(KOMP)Vlcg/Palb2+ (more )
Structure Level Pattern Image Note
TS28: heart Present JAX_1798828

Specimen JAX_1798829: postnatal adult; Palb2tm1.1(KOMP)Vlcg/Palb2+ (more )
Structure Level Pattern Image Note
TS28: eye Present JAX_1798829

Specimen JAX_1798830: postnatal adult; Palb2tm1.1(KOMP)Vlcg/Palb2+ (more )
Structure Level Pattern Image Note
TS28: brain Present JAX_1798830

Specimen JAX_1798831: postnatal adult; Palb2tm1.1(KOMP)Vlcg/Palb2+ (more )
Structure Level Pattern Image Note
TS28: adrenal gland Present JAX_1798831


Contributing Projects:
Mouse Genome Database (MGD), Gene Expression Database (GXD), Mouse Models of Human Cancer database (MMHCdb) (formerly Mouse Tumor Biology (MTB)), Gene Ontology (GO)
Citing These Resources
Funding Information
Warranty Disclaimer, Privacy Notice, Licensing, & Copyright
Send questions and comments to User Support.
last database update
03/24/2026
MGI 6.24
The Jackson Laboratory