About   Help   FAQ
Gene Expression Data
Assay Details
Assay
Reference: J:228563 Koscielny G, et al., The International Mouse Phenotyping Consortium Web Portal, a unified point of access for knockout mice and related phenotyping data. Nucleic Acids Res. 2014 Jan;42(Database issue):D802-9
Assay type: In situ reporter (knock in)
MGI Accession ID: MGI:6692870
Gene symbol: Taf9b
Gene name: TATA-box binding protein associated factor 9B
Reporter: lacZ
Direct Detection
Results
Specimen UC Davis_1877881: postnatal adult; Taf9btm1.1(KOMP)Vlcg/Y (more )
Structure Level Pattern Image Note
TS28: stomach Present UC Davis_1877881

Specimen UC Davis_1877882: postnatal adult; Taf9btm1.1(KOMP)Vlcg/Y (more )
Structure Level Pattern Image Note
TS28: stomach Present UC Davis_1877882

Specimen UC Davis_1877883: postnatal adult; Taf9btm1.1(KOMP)Vlcg/Y (more )
Structure Level Pattern Image Note
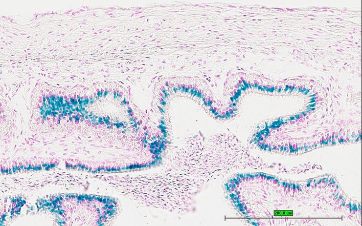
TS28: ileum Present UC Davis_1877883

Specimen UC Davis_1877884: postnatal adult; Taf9btm1.1(KOMP)Vlcg/Y (more )
Structure Level Pattern Image Note
TS28: tongue Present UC Davis_1877884

Specimen UC Davis_1877885: postnatal adult; Taf9btm1.1(KOMP)Vlcg/Y (more )
Structure Level Pattern Image Note
TS28: tongue Present UC Davis_1877885

Specimen UC Davis_1877889: postnatal adult; Taf9btm1.1(KOMP)Vlcg/Y (more )
Structure Level Pattern Image Note
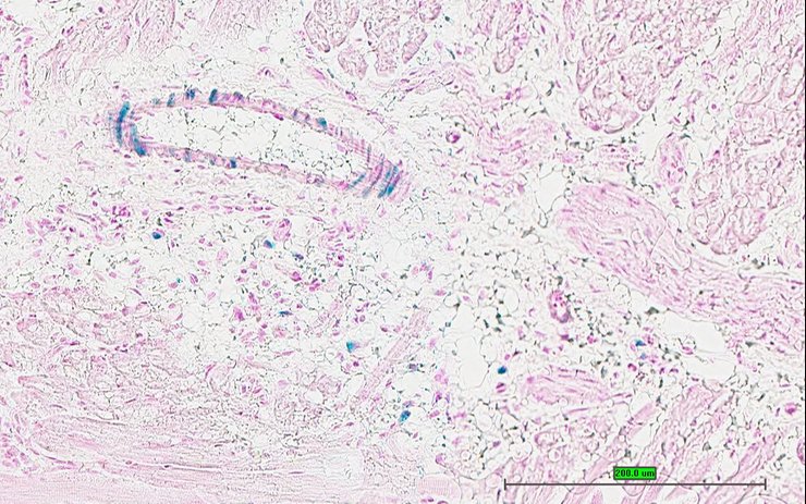
TS28: midbrain Present UC Davis_1877889

Specimen UC Davis_1877890: postnatal adult; Taf9btm1.1(KOMP)Vlcg/Y (more )
Structure Level Pattern Image Note
TS28: testis Present UC Davis_1877890

Specimen UC Davis_1877891: postnatal adult; Taf9btm1.1(KOMP)Vlcg/Y (more )
Structure Level Pattern Image Note
TS28: epididymis Present UC Davis_1877891

Specimen UC Davis_1877892: postnatal adult; Taf9btm1.1(KOMP)Vlcg/Y (more )
Structure Level Pattern Image Note
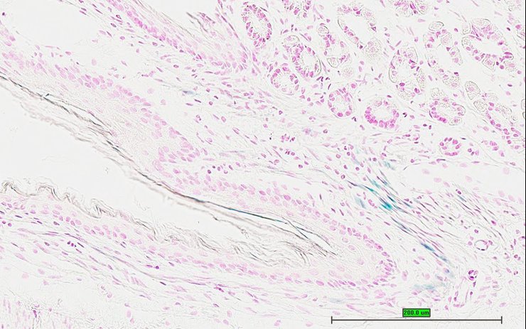
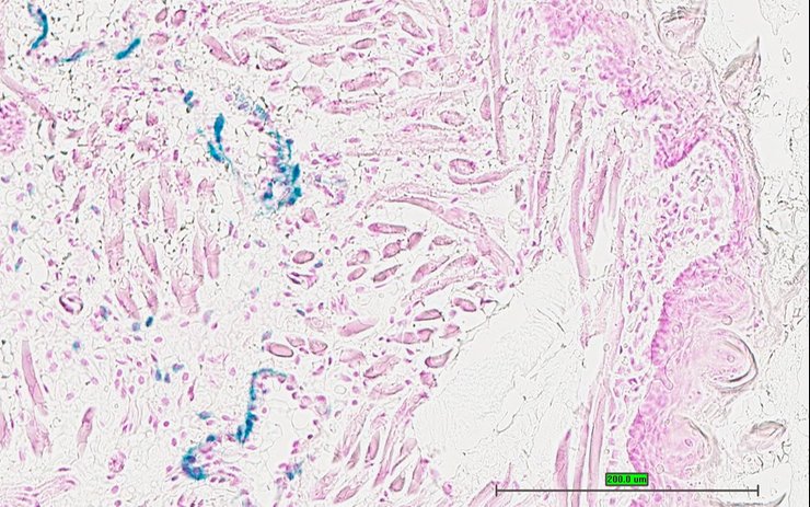
TS28: penis Present UC Davis_1877892

Specimen UC Davis_1877893: postnatal adult; Taf9btm1.1(KOMP)Vlcg/Y (more )
Structure Level Pattern Image Note
TS28: penis Present UC Davis_1877893

Specimen UC Davis_1877894: postnatal adult; Taf9btm1.1(KOMP)Vlcg/Y (more )
Structure Level Pattern Image Note
TS28: ductus deferens Present UC Davis_1877894 vas deferens


Contributing Projects:
Mouse Genome Database (MGD), Gene Expression Database (GXD), Mouse Models of Human Cancer database (MMHCdb) (formerly Mouse Tumor Biology (MTB)), Gene Ontology (GO)
Citing These Resources
Funding Information
Warranty Disclaimer, Privacy Notice, Licensing, & Copyright
Send questions and comments to User Support.
last database update
01/28/2026
MGI 6.24
The Jackson Laboratory