About   Help   FAQ
Gene Expression Data
Assay Details
Assay
Reference: J:228563 Koscielny G, et al., The International Mouse Phenotyping Consortium Web Portal, a unified point of access for knockout mice and related phenotyping data. Nucleic Acids Res. 2014 Jan;42(Database issue):D802-9
Assay type: In situ reporter (knock in)
MGI Accession ID: MGI:6692868
Gene symbol: Cd200r4
Gene name: CD200 receptor 4
Reporter: lacZ
Direct Detection
Results
Specimen UC Davis_1872643: postnatal adult; Cd200r4tm1.1(KOMP)Wtsi/Cd200r4+ (more )
Structure Level Pattern Image Note
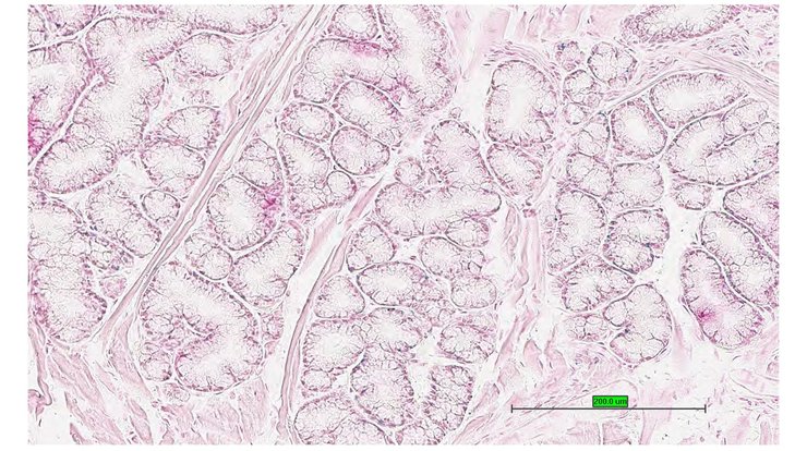
TS28: ileum Present UC Davis_1872643

Specimen UC Davis_1872644: postnatal adult; Cd200r4tm1.1(KOMP)Wtsi/Cd200r4+ (more )
Structure Level Pattern Image Note
TS28: tongue Present UC Davis_1872644

Specimen UC Davis_1872645: postnatal adult; Cd200r4tm1.1(KOMP)Wtsi/Cd200r4+ (more )
Structure Level Pattern Image Note
TS28: epididymis Present UC Davis_1872645

Specimen UC Davis_1872646: postnatal adult; Cd200r4tm1.1(KOMP)Wtsi/Cd200r4+ (more )
Structure Level Pattern Image Note
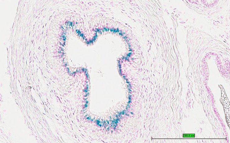
TS28: ductus deferens Present UC Davis_1872646 vas deferens


Contributing Projects:
Mouse Genome Database (MGD), Gene Expression Database (GXD), Mouse Models of Human Cancer database (MMHCdb) (formerly Mouse Tumor Biology (MTB)), Gene Ontology (GO)
Citing These Resources
Funding Information
Warranty Disclaimer, Privacy Notice, Licensing, & Copyright
Send questions and comments to User Support.
last database update
12/30/2025
MGI 6.24
The Jackson Laboratory