About   Help   FAQ
Gene Expression Data
Assay Details
Assay
Reference: J:228563 Koscielny G, et al., The International Mouse Phenotyping Consortium Web Portal, a unified point of access for knockout mice and related phenotyping data. Nucleic Acids Res. 2014 Jan;42(Database issue):D802-9
Assay type: In situ reporter (knock in)
MGI Accession ID: MGI:6692866
Gene symbol: Htra4
Gene name: HtrA serine peptidase 4
Reporter: lacZ
Direct Detection
Results
Specimen UC Davis_1855854: postnatal adult; Htra4tm1b(KOMP)Wtsi/Htra4+ (more )
Structure Level Pattern Image Note
TS28: thymus Present UC Davis_1855854

Specimen UC Davis_1855858: postnatal adult; Htra4tm1b(KOMP)Wtsi/Htra4+ (more )
Structure Level Pattern Image Note
TS28: tongue Present UC Davis_1855858

Specimen UC Davis_1855859: postnatal adult; Htra4tm1b(KOMP)Wtsi/Htra4+ (more )
Structure Level Pattern Image Note
TS28: tongue Present UC Davis_1855859

Specimen UC Davis_1855860: postnatal adult; Htra4tm1b(KOMP)Wtsi/Htra4+ (more )
Structure Level Pattern Image Note
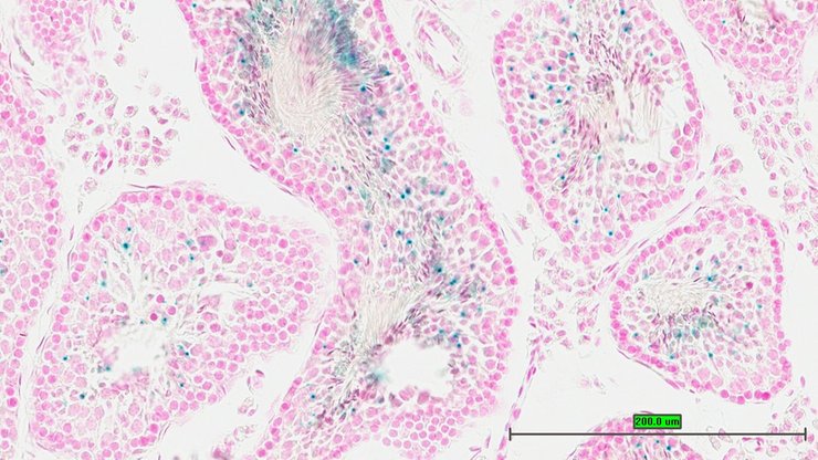
TS28: testis Present UC Davis_1855860

Specimen UC Davis_1855861: postnatal adult; Htra4tm1b(KOMP)Wtsi/Htra4+ (more )
Structure Level Pattern Image Note
TS28: testis Present UC Davis_1855861

Specimen UC Davis_1855862: postnatal adult; Htra4tm1b(KOMP)Wtsi/Htra4+ (more )
Structure Level Pattern Image Note
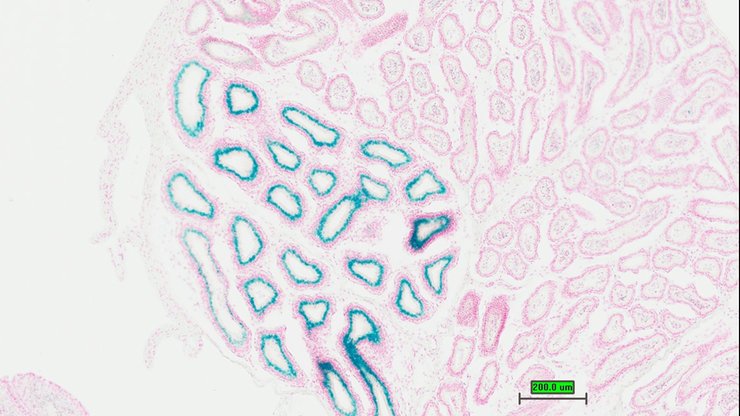
TS28: epididymis Present UC Davis_1855862

Specimen UC Davis_1855863: postnatal adult; Htra4tm1b(KOMP)Wtsi/Htra4+ (more )
Structure Level Pattern Image Note
TS28: epididymis Present UC Davis_1855863

Specimen UC Davis_1855864: postnatal adult; Htra4tm1b(KOMP)Wtsi/Htra4+ (more )
Structure Level Pattern Image Note
TS28: epididymis Present UC Davis_1855864

Specimen UC Davis_1855865: postnatal adult; Htra4tm1b(KOMP)Wtsi/Htra4+ (more )
Structure Level Pattern Image Note
TS28: prostate gland Present UC Davis_1855865

Specimen UC Davis_1855866: postnatal adult; Htra4tm1b(KOMP)Wtsi/Htra4+ (more )
Structure Level Pattern Image Note
TS28: prostate gland Present UC Davis_1855866

Specimen UC Davis_1855867: postnatal adult; Htra4tm1b(KOMP)Wtsi/Htra4+ (more )
Structure Level Pattern Image Note
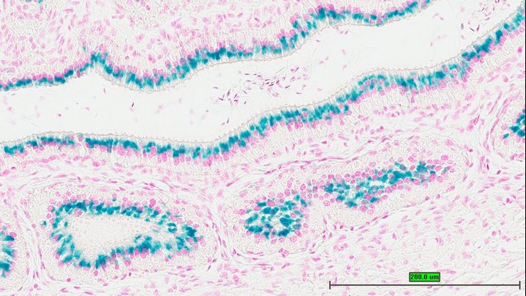
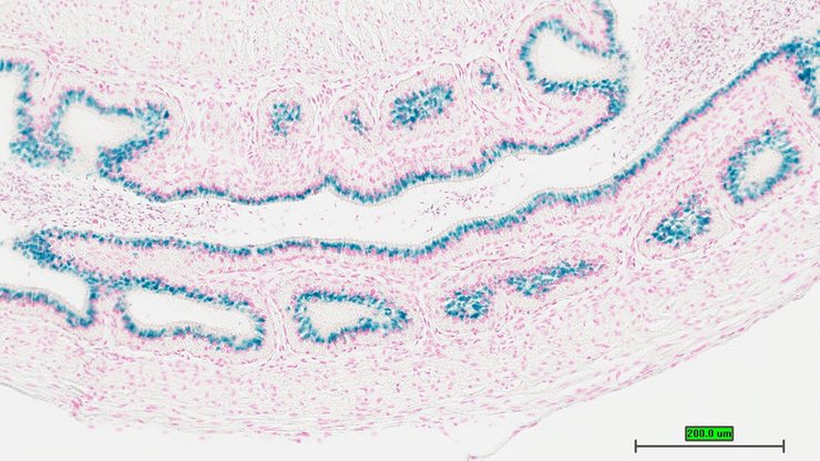
TS28: ductus deferens Present UC Davis_1855867 vas deferens

Specimen UC Davis_1855868: postnatal adult; Htra4tm1b(KOMP)Wtsi/Htra4+ (more )
Structure Level Pattern Image Note
TS28: ductus deferens Present UC Davis_1855868 vas deferens

Specimen UC Davis_1855869: postnatal adult; Htra4tm1b(KOMP)Wtsi/Htra4+ (more )
Structure Level Pattern Image Note
TS28: ductus deferens Present UC Davis_1855869 vas deferens

Specimen UC Davis_1855870: postnatal adult; Htra4tm1b(KOMP)Wtsi/Htra4+ (more )
Structure Level Pattern Image Note
TS28: testis Present UC Davis_1855870


Contributing Projects:
Mouse Genome Database (MGD), Gene Expression Database (GXD), Mouse Models of Human Cancer database (MMHCdb) (formerly Mouse Tumor Biology (MTB)), Gene Ontology (GO)
Citing These Resources
Funding Information
Warranty Disclaimer, Privacy Notice, Licensing, & Copyright
Send questions and comments to User Support.
last database update
12/30/2025
MGI 6.24
The Jackson Laboratory