About   Help   FAQ
Gene Expression Data
Assay Details
Assay
Reference: J:228563 Koscielny G, et al., The International Mouse Phenotyping Consortium Web Portal, a unified point of access for knockout mice and related phenotyping data. Nucleic Acids Res. 2014 Jan;42(Database issue):D802-9
Assay type: In situ reporter (knock in)
MGI Accession ID: MGI:6692852
Gene symbol: Snx22
Gene name: sorting nexin 22
Reporter: lacZ
Direct Detection
Results
Specimen UC Davis_1871535: postnatal adult; Snx22tm1.1(KOMP)Wtsi/Snx22+ (more )
Structure Level Pattern Image Note
TS28: esophagus Present UC Davis_1871535

Specimen UC Davis_1871536: postnatal adult; Snx22tm1.1(KOMP)Wtsi/Snx22+ (more )
Structure Level Pattern Image Note
TS28: lung Present UC Davis_1871536

Specimen UC Davis_1871537: postnatal adult; Snx22tm1.1(KOMP)Wtsi/Snx22+ (more )
Structure Level Pattern Image Note
TS28: lung Present UC Davis_1871537

Specimen UC Davis_1871538: postnatal adult; Snx22tm1.1(KOMP)Wtsi/Snx22+ (more )
Structure Level Pattern Image Note
TS28: lung Present UC Davis_1871538

Specimen UC Davis_1871539: postnatal adult; Snx22tm1.1(KOMP)Wtsi/Snx22+ (more )
Structure Level Pattern Image Note
TS28: lung Present UC Davis_1871539

Specimen UC Davis_1871540: postnatal adult; Snx22tm1.1(KOMP)Wtsi/Snx22+ (more )
Structure Level Pattern Image Note
TS28: ileum Present UC Davis_1871540

Specimen UC Davis_1871541: postnatal adult; Snx22tm1.1(KOMP)Wtsi/Snx22+ (more )
Structure Level Pattern Image Note
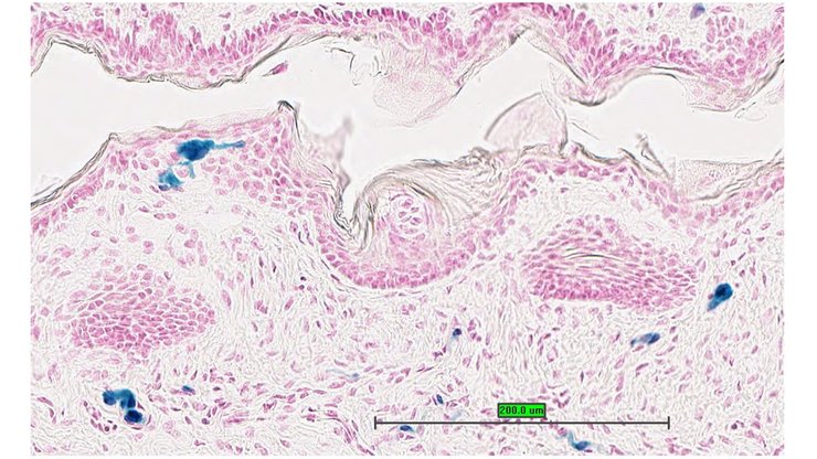
TS28: skin Present UC Davis_1871541

Specimen UC Davis_1871542: postnatal adult; Snx22tm1.1(KOMP)Wtsi/Snx22+ (more )
Structure Level Pattern Image Note
TS28: skin Present UC Davis_1871542

Specimen UC Davis_1871516: postnatal adult; Snx22tm1.1(KOMP)Wtsi/Snx22+ (more )
Structure Level Pattern Image Note
TS28: jejunum Present UC Davis_1871516

Specimen UC Davis_1871517: postnatal adult; Snx22tm1.1(KOMP)Wtsi/Snx22+ (more )
Structure Level Pattern Image Note
TS28: ileum Present UC Davis_1871517

Specimen UC Davis_1871518: postnatal adult; Snx22tm1.1(KOMP)Wtsi/Snx22+ (more )
Structure Level Pattern Image Note
TS28: ileum Present UC Davis_1871518

Specimen UC Davis_1871519: postnatal adult; Snx22tm1.1(KOMP)Wtsi/Snx22+ (more )
Structure Level Pattern Image Note
TS28: eye Present UC Davis_1871519

Specimen UC Davis_1871520: postnatal adult; Snx22tm1.1(KOMP)Wtsi/Snx22+ (more )
Structure Level Pattern Image Note
TS28: eye Present UC Davis_1871520

Specimen UC Davis_1871521: postnatal adult; Snx22tm1.1(KOMP)Wtsi/Snx22+ (more )
Structure Level Pattern Image Note
TS28: skin Present UC Davis_1871521

Specimen UC Davis_1871522: postnatal adult; Snx22tm1.1(KOMP)Wtsi/Snx22+ (more )
Structure Level Pattern Image Note
TS28: skin Present UC Davis_1871522

Specimen UC Davis_1871523: postnatal adult; Snx22tm1.1(KOMP)Wtsi/Snx22+ (more )
Structure Level Pattern Image Note
TS28: skin Present UC Davis_1871523

Specimen UC Davis_1871524: postnatal adult; Snx22tm1.1(KOMP)Wtsi/Snx22+ (more )
Structure Level Pattern Image Note
TS28: testis Present UC Davis_1871524

Specimen UC Davis_1871525: postnatal adult; Snx22tm1.1(KOMP)Wtsi/Snx22+ (more )
Structure Level Pattern Image Note
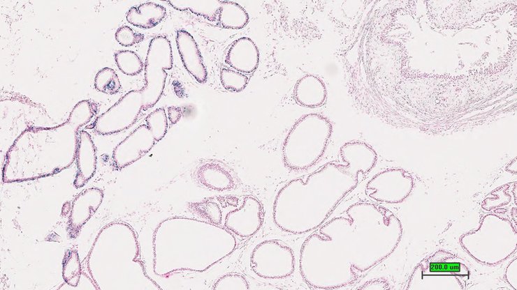
TS28: epididymis Present UC Davis_1871525

Specimen UC Davis_1871526: postnatal adult; Snx22tm1.1(KOMP)Wtsi/Snx22+ (more )
Structure Level Pattern Image Note
TS28: epididymis Present UC Davis_1871526

Specimen UC Davis_1871527: postnatal adult; Snx22tm1.1(KOMP)Wtsi/Snx22+ (more )
Structure Level Pattern Image Note
TS28: prostate gland Present UC Davis_1871527

Specimen UC Davis_1871528: postnatal adult; Snx22tm1.1(KOMP)Wtsi/Snx22+ (more )
Structure Level Pattern Image Note
TS28: prostate gland Present UC Davis_1871528

Specimen UC Davis_1871529: postnatal adult; Snx22tm1.1(KOMP)Wtsi/Snx22+ (more )
Structure Level Pattern Image Note
TS28: penis Present UC Davis_1871529

Specimen UC Davis_1871530: postnatal adult; Snx22tm1.1(KOMP)Wtsi/Snx22+ (more )
Structure Level Pattern Image Note
TS28: penis Present UC Davis_1871530

Specimen UC Davis_1871531: postnatal adult; Snx22tm1.1(KOMP)Wtsi/Snx22+ (more )
Structure Level Pattern Image Note
TS28: ductus deferens Present UC Davis_1871531 vas deferens

Specimen UC Davis_1871532: postnatal adult; Snx22tm1.1(KOMP)Wtsi/Snx22+ (more )
Structure Level Pattern Image Note
TS28: ductus deferens Present UC Davis_1871532 vas deferens


Contributing Projects:
Mouse Genome Database (MGD), Gene Expression Database (GXD), Mouse Models of Human Cancer database (MMHCdb) (formerly Mouse Tumor Biology (MTB)), Gene Ontology (GO)
Citing These Resources
Funding Information
Warranty Disclaimer, Privacy Notice, Licensing, & Copyright
Send questions and comments to User Support.
last database update
01/20/2026
MGI 6.24
The Jackson Laboratory