About   Help   FAQ
Gene Expression Data
Assay Details
Assay
Reference: J:228563 Koscielny G, et al., The International Mouse Phenotyping Consortium Web Portal, a unified point of access for knockout mice and related phenotyping data. Nucleic Acids Res. 2014 Jan;42(Database issue):D802-9
Assay type: In situ reporter (knock in)
MGI Accession ID: MGI:6692828
Gene symbol: Gimap8
Gene name: GTPase, IMAP family member 8
Reporter: lacZ
Direct Detection
Results
Specimen JAX_1279433: embryonic day 12.5; Gimap8tm1.1(KOMP)Vlcg/Gimap8+ (more )
Structure Level Pattern Image Note
TS20: embryo Present JAX_1279433

Specimen JAX_1279435: embryonic day 12.5; Gimap8tm1.1(KOMP)Vlcg/Gimap8+ (more )
Structure Level Pattern Image Note
TS20: embryo Present JAX_1279435

Specimen JAX_1279437: embryonic day 12.5; Gimap8tm1.1(KOMP)Vlcg/Gimap8+ (more )
Structure Level Pattern Image Note
TS20: embryo Present JAX_1279437

Specimen JAX_1279439: embryonic day 12.5; Gimap8tm1.1(KOMP)Vlcg/Gimap8+ (more )
Structure Level Pattern Image Note
TS20: embryo Present JAX_1279439

Specimen JAX_1279441: embryonic day 12.5; Gimap8tm1.1(KOMP)Vlcg/Gimap8+ (more )
Structure Level Pattern Image Note
TS20: embryo Present JAX_1279441

Specimen JAX_1279443: embryonic day 12.5; Gimap8tm1.1(KOMP)Vlcg/Gimap8+ (more )
Structure Level Pattern Image Note
TS20: embryo Present JAX_1279443

Specimen JAX_1279445: embryonic day 12.5; Gimap8tm1.1(KOMP)Vlcg/Gimap8+ (more )
Structure Level Pattern Image Note
TS20: embryo Present JAX_1279445

Specimen JAX_1279447: embryonic day 12.5; Gimap8tm1.1(KOMP)Vlcg/Gimap8+ (more )
Structure Level Pattern Image Note
TS20: embryo Present JAX_1279447

Specimen JAX_1049439: postnatal adult; Gimap8tm1.1(KOMP)Vlcg/Gimap8+ (more )
Structure Level Pattern Image Note
TS28: cerebellum Present JAX_1049439

Specimen JAX_1049441: postnatal adult; Gimap8tm1.1(KOMP)Vlcg/Gimap8+ (more )
Structure Level Pattern Image Note
TS28: brainstem Present JAX_1049441

Specimen JAX_1049443: postnatal adult; Gimap8tm1.1(KOMP)Vlcg/Gimap8+ (more )
Structure Level Pattern Image Note
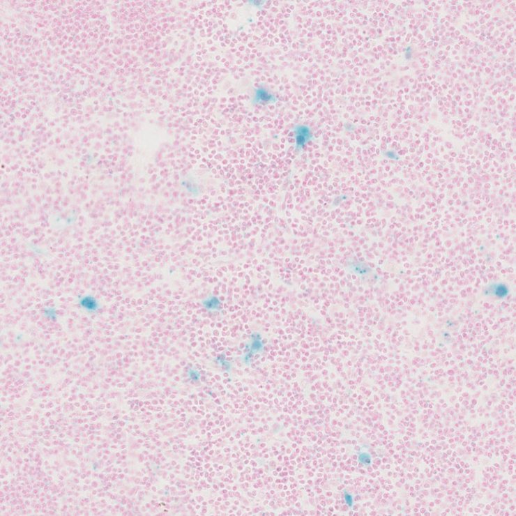
TS28: spleen Present JAX_1049443

Specimen JAX_1049445: postnatal adult; Gimap8tm1.1(KOMP)Vlcg/Gimap8+ (more )
Structure Level Pattern Image Note
TS28: pancreas Present JAX_1049445

Specimen JAX_1049447: postnatal adult; Gimap8tm1.1(KOMP)Vlcg/Gimap8+ (more )
Structure Level Pattern Image Note
TS28: aorta Present JAX_1049447

Specimen JAX_1049449: postnatal adult; Gimap8tm1.1(KOMP)Vlcg/Gimap8+ (more )
Structure Level Pattern Image Note
TS28: lung Present JAX_1049449

Specimen JAX_1049451: postnatal adult; Gimap8tm1.1(KOMP)Vlcg/Gimap8+ (more )
Structure Level Pattern Image Note
TS28: pituitary gland Present JAX_1049451

Specimen JAX_1049453: postnatal adult; Gimap8tm1.1(KOMP)Vlcg/Gimap8+ (more )
Structure Level Pattern Image Note
TS28: esophagus Present JAX_1049453

Specimen JAX_1049455: postnatal adult; Gimap8tm1.1(KOMP)Vlcg/Gimap8+ (more )
Structure Level Pattern Image Note
TS28: uterus Present JAX_1049455

Specimen JAX_1049457: postnatal adult; Gimap8tm1.1(KOMP)Vlcg/Gimap8+ (more )
Structure Level Pattern Image Note
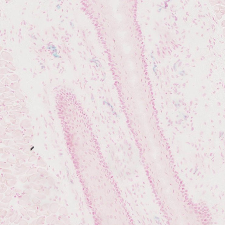
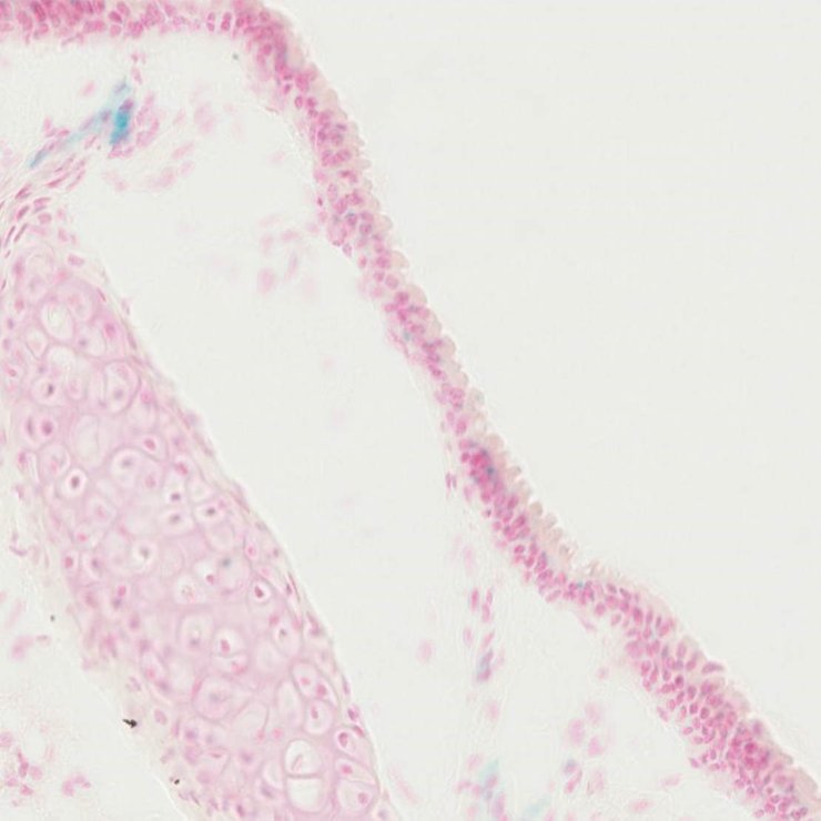
TS28: trachea Present JAX_1049457

Specimen JAX_1049459: postnatal adult; Gimap8tm1.1(KOMP)Vlcg/Gimap8+ (more )
Structure Level Pattern Image Note
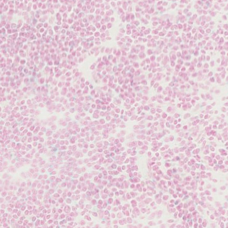
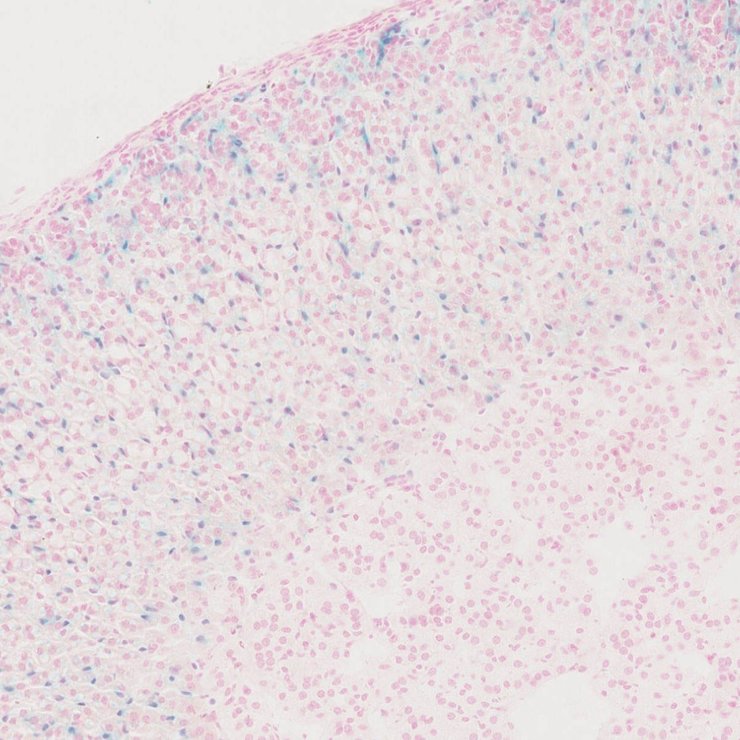
TS28: thymus Present JAX_1049459

Specimen JAX_1049461: postnatal adult; Gimap8tm1.1(KOMP)Vlcg/Gimap8+ (more )
Structure Level Pattern Image Note
TS28: oviduct Present JAX_1049461

Specimen JAX_1049463: postnatal adult; Gimap8tm1.1(KOMP)Vlcg/Gimap8+ (more )
Structure Level Pattern Image Note
TS28: ovary Absent JAX_1049463

Specimen JAX_1049465: postnatal adult; Gimap8tm1.1(KOMP)Vlcg/Gimap8+ (more )
Structure Level Pattern Image Note
TS28: mammary gland Present JAX_1049465

Specimen JAX_1049467: postnatal adult; Gimap8tm1.1(KOMP)Vlcg/Gimap8+ (more )
Structure Level Pattern Image Note
TS28: lymph node Present JAX_1049467

Specimen JAX_1049469: postnatal adult; Gimap8tm1.1(KOMP)Vlcg/Gimap8+ (more )
Structure Level Pattern Image Note
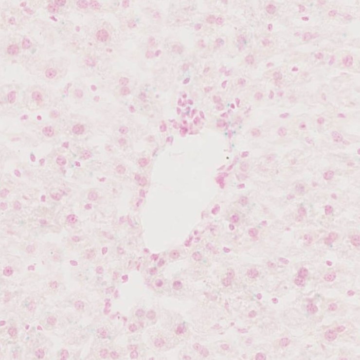
TS28: liver Present JAX_1049469

Specimen JAX_1049471: postnatal adult; Gimap8tm1.1(KOMP)Vlcg/Gimap8+ (more )
Structure Level Pattern Image Note
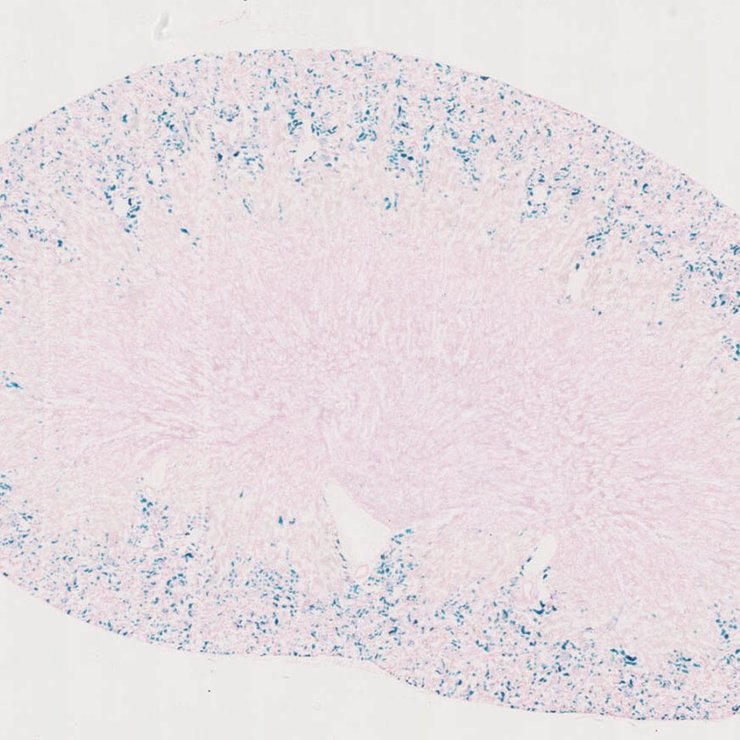
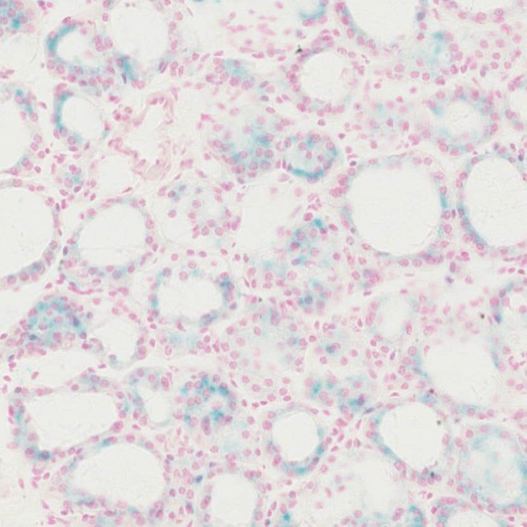
TS28: metanephros Present JAX_1049471 kidney

Specimen JAX_1049473: postnatal adult; Gimap8tm1.1(KOMP)Vlcg/Gimap8+ (more )
Structure Level Pattern Image Note
TS28: brain Present JAX_1049473

Specimen JAX_1049475: postnatal adult; Gimap8tm1.1(KOMP)Vlcg/Gimap8+ (more )
Structure Level Pattern Image Note
TS28: vascular system Present JAX_1049475

Specimen JAX_1049477: postnatal adult; Gimap8tm1.1(KOMP)Vlcg/Gimap8+ (more )
Structure Level Pattern Image Note
TS28: epididymis Present JAX_1049477

Specimen JAX_1049479: postnatal adult; Gimap8tm1.1(KOMP)Vlcg/Gimap8+ (more )
Structure Level Pattern Image Note
TS28: submandibular gland Present JAX_1049479

Specimen JAX_1049481: postnatal adult; Gimap8tm1.1(KOMP)Vlcg/Gimap8+ (more )
Structure Level Pattern Image Note
TS28: bladder Present JAX_1049481

Specimen JAX_1049483: postnatal adult; Gimap8tm1.1(KOMP)Vlcg/Gimap8+ (more )
Structure Level Pattern Image Note
TS28: Peyer's patch Present JAX_1049483

Specimen JAX_1049485: postnatal adult; Gimap8tm1.1(KOMP)Vlcg/Gimap8+ (more )
Structure Level Pattern Image Note
TS28: white fat Present JAX_1049485

Specimen JAX_1049487: postnatal adult; Gimap8tm1.1(KOMP)Vlcg/Gimap8+ (more )
Structure Level Pattern Image Note
TS28: small intestine Present JAX_1049487

Specimen JAX_1049489: postnatal adult; Gimap8tm1.1(KOMP)Vlcg/Gimap8+ (more )
Structure Level Pattern Image Note
TS28: thyroid gland Present JAX_1049489

Specimen JAX_1049491: postnatal adult; Gimap8tm1.1(KOMP)Vlcg/Gimap8+ (more )
Structure Level Pattern Image Note
TS28: large intestine Present JAX_1049491

Specimen JAX_1049493: postnatal adult; Gimap8tm1.1(KOMP)Vlcg/Gimap8+ (more )
Structure Level Pattern Image Note
TS28: testis Present JAX_1049493

Specimen JAX_1049495: postnatal adult; Gimap8tm1.1(KOMP)Vlcg/Gimap8+ (more )
Structure Level Pattern Image Note
TS28: stomach Present JAX_1049495

Specimen JAX_1049497: postnatal adult; Gimap8tm1.1(KOMP)Vlcg/Gimap8+ (more )
Structure Level Pattern Image Note
TS28: skin Present JAX_1049497

Specimen JAX_1049499: postnatal adult; Gimap8tm1.1(KOMP)Vlcg/Gimap8+ (more )
Structure Level Pattern Image Note
TS28: adrenal gland Present JAX_1049499


Contributing Projects:
Mouse Genome Database (MGD), Gene Expression Database (GXD), Mouse Models of Human Cancer database (MMHCdb) (formerly Mouse Tumor Biology (MTB)), Gene Ontology (GO)
Citing These Resources
Funding Information
Warranty Disclaimer, Privacy Notice, Licensing, & Copyright
Send questions and comments to User Support.
last database update
12/30/2025
MGI 6.24
The Jackson Laboratory