About   Help   FAQ
Gene Expression Data
Assay Details
Assay
Reference: J:228563 Koscielny G, et al., The International Mouse Phenotyping Consortium Web Portal, a unified point of access for knockout mice and related phenotyping data. Nucleic Acids Res. 2014 Jan;42(Database issue):D802-9
Assay type: In situ reporter (knock in)
MGI Accession ID: MGI:6692827
Gene symbol: Ankub1
Gene name: ankyrin repeat and ubiquitin domain containing 1
Reporter: lacZ
Direct Detection
Results
Specimen UC Davis_1883240: postnatal adult; Ankub1tm1.1(KOMP)Vlcg/Ankub1+ (more )
Structure Level Pattern Image Note
TS28: trachea Present UC Davis_1883240

Specimen UC Davis_1883241: postnatal adult; Ankub1tm1.1(KOMP)Vlcg/Ankub1+ (more )
Structure Level Pattern Image Note
TS28: lung Present UC Davis_1883241

Specimen UC Davis_1883242: postnatal adult; Ankub1tm1.1(KOMP)Vlcg/Ankub1+ (more )
Structure Level Pattern Image Note
TS28: lung Present UC Davis_1883242

Specimen UC Davis_1883243: postnatal adult; Ankub1tm1.1(KOMP)Vlcg/Ankub1+ (more )
Structure Level Pattern Image Note
TS28: olfactory lobe Present UC Davis_1883243

Specimen UC Davis_1883244: postnatal adult; Ankub1tm1.1(KOMP)Vlcg/Ankub1+ (more )
Structure Level Pattern Image Note
TS28: olfactory lobe Present UC Davis_1883244

Specimen UC Davis_1883246: postnatal adult; Ankub1tm1.1(KOMP)Vlcg/Ankub1+ (more )
Structure Level Pattern Image Note
TS28: midbrain Present UC Davis_1883246

Specimen UC Davis_1883248: postnatal adult; Ankub1tm1.1(KOMP)Vlcg/Ankub1+ (more )
Structure Level Pattern Image Note
TS28: oviduct Present UC Davis_1883248

Specimen UC Davis_1883249: postnatal adult; Ankub1tm1.1(KOMP)Vlcg/Ankub1+ (more )
Structure Level Pattern Image Note
TS28: trachea Present UC Davis_1883249

Specimen UC Davis_1883251: postnatal adult; Ankub1tm1.1(KOMP)Vlcg/Ankub1+ (more )
Structure Level Pattern Image Note
TS28: lung Present UC Davis_1883251

Specimen UC Davis_1883252: postnatal adult; Ankub1tm1.1(KOMP)Vlcg/Ankub1+ (more )
Structure Level Pattern Image Note
TS28: lung Present UC Davis_1883252

Specimen UC Davis_1883255: postnatal adult; Ankub1tm1.1(KOMP)Vlcg/Ankub1+ (more )
Structure Level Pattern Image Note
TS28: midbrain Present UC Davis_1883255

Specimen UC Davis_1883257: postnatal adult; Ankub1tm1.1(KOMP)Vlcg/Ankub1+ (more )
Structure Level Pattern Image Note
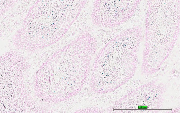
TS28: testis Present UC Davis_1883257

Specimen UC Davis_1883258: postnatal adult; Ankub1tm1.1(KOMP)Vlcg/Ankub1+ (more )
Structure Level Pattern Image Note
TS28: epididymis Present UC Davis_1883258

Specimen UC Davis_1883259: postnatal adult; Ankub1tm1.1(KOMP)Vlcg/Ankub1+ (more )
Structure Level Pattern Image Note
TS28: ductus deferens Present UC Davis_1883259 vas deferens


Contributing Projects:
Mouse Genome Database (MGD), Gene Expression Database (GXD), Mouse Models of Human Cancer database (MMHCdb) (formerly Mouse Tumor Biology (MTB)), Gene Ontology (GO)
Citing These Resources
Funding Information
Warranty Disclaimer, Privacy Notice, Licensing, & Copyright
Send questions and comments to User Support.
last database update
12/30/2025
MGI 6.24
The Jackson Laboratory