About   Help   FAQ
Gene Expression Data
Assay Details
Assay
Reference: J:228563 Koscielny G, et al., The International Mouse Phenotyping Consortium Web Portal, a unified point of access for knockout mice and related phenotyping data. Nucleic Acids Res. 2014 Jan;42(Database issue):D802-9
Assay type: In situ reporter (knock in)
MGI Accession ID: MGI:6692765
Gene symbol: Aqp12
Gene name: aquaporin 12
Reporter: lacZ
Direct Detection
Results
Specimen UC Davis_1887601: postnatal adult; Aqp12tm1.1(KOMP)Vlcg/Aqp12+ (more )
Structure Level Pattern Image Note
TS28: esophagus Present UC Davis_1887601

Specimen UC Davis_1887603: postnatal adult; Aqp12tm1.1(KOMP)Vlcg/Aqp12+ (more )
Structure Level Pattern Image Note
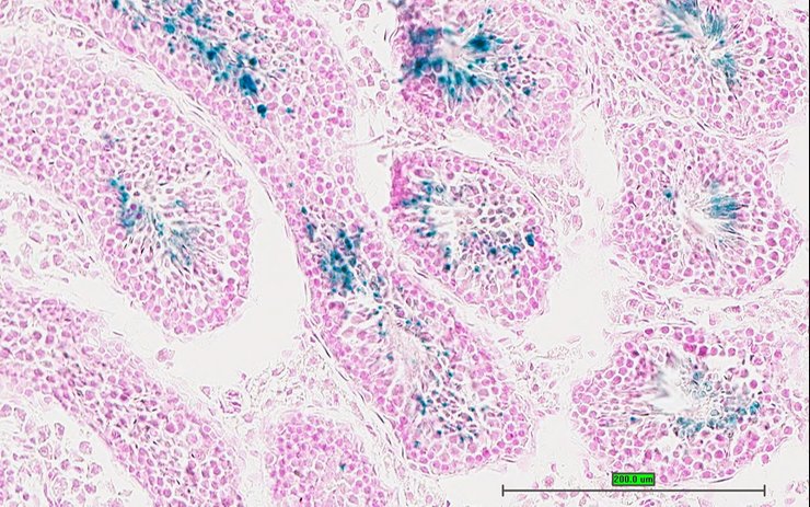
TS28: testis Present UC Davis_1887603

Specimen UC Davis_1887604: postnatal adult; Aqp12tm1.1(KOMP)Vlcg/Aqp12+ (more )
Structure Level Pattern Image Note
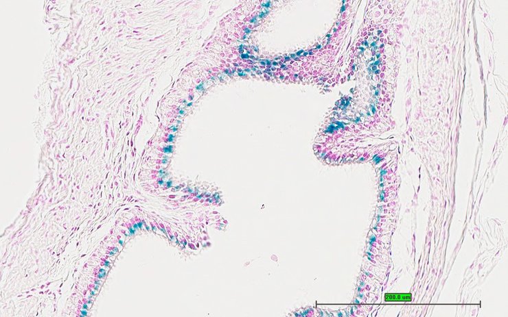
TS28: ductus deferens Present UC Davis_1887604 vas deferens


Contributing Projects:
Mouse Genome Database (MGD), Gene Expression Database (GXD), Mouse Models of Human Cancer database (MMHCdb) (formerly Mouse Tumor Biology (MTB)), Gene Ontology (GO)
Citing These Resources
Funding Information
Warranty Disclaimer, Privacy Notice, Licensing, & Copyright
Send questions and comments to User Support.
last database update
01/20/2026
MGI 6.24
The Jackson Laboratory