About   Help   FAQ
Gene Expression Data
Assay Details
Assay
Reference: J:228563 Koscielny G, et al., The International Mouse Phenotyping Consortium Web Portal, a unified point of access for knockout mice and related phenotyping data. Nucleic Acids Res. 2014 Jan;42(Database issue):D802-9
Assay type: In situ reporter (knock in)
MGI Accession ID: MGI:6692761
Gene symbol: Acvr1c
Gene name: activin A receptor, type IC
Reporter: lacZ
Direct Detection
Results
Specimen JAX_1624904: postnatal adult; Acvr1ctm1b(EUCOMM)Hmgu/Acvr1c+ (more )
Structure Level Pattern Image Note
TS28: cerebellum Present JAX_1624904

Specimen JAX_1624905: postnatal adult; Acvr1ctm1b(EUCOMM)Hmgu/Acvr1c+ (more )
Structure Level Pattern Image Note
TS28: white fat Present JAX_1624905

Specimen JAX_1624906: postnatal adult; Acvr1ctm1b(EUCOMM)Hmgu/Acvr1c+ (more )
Structure Level Pattern Image Note
TS28: pituitary gland Present JAX_1624906

Specimen JAX_1624907: postnatal adult; Acvr1ctm1b(EUCOMM)Hmgu/Acvr1c+ (more )
Structure Level Pattern Image Note
TS28: uterus Present JAX_1624907

Specimen JAX_1624908: postnatal adult; Acvr1ctm1b(EUCOMM)Hmgu/Acvr1c+ (more )
Structure Level Pattern Image Note
TS28: skin Present JAX_1624908

Specimen JAX_1624909: postnatal adult; Acvr1ctm1b(EUCOMM)Hmgu/Acvr1c+ (more )
Structure Level Pattern Image Note
TS28: ovary Present JAX_1624909

Specimen JAX_1624910: postnatal adult; Acvr1ctm1b(EUCOMM)Hmgu/Acvr1c+ (more )
Structure Level Pattern Image Note
TS28: metanephros Present JAX_1624910 kidney

Specimen JAX_1624911: postnatal adult; Acvr1ctm1b(EUCOMM)Hmgu/Acvr1c+ (more )
Structure Level Pattern Image Note
TS28: brain Present JAX_1624911

Specimen JAX_1624912: postnatal adult; Acvr1ctm1b(EUCOMM)Hmgu/Acvr1c+ (more )
Structure Level Pattern Image Note
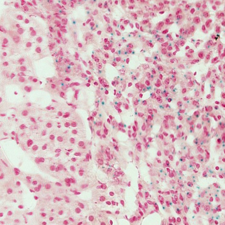
TS28: adrenal gland Present JAX_1624912

Specimen JAX_1624893: postnatal adult; Acvr1ctm1b(EUCOMM)Hmgu/Acvr1c+ (more )
Structure Level Pattern Image Note
TS28: midbrain Present JAX_1624893

Specimen JAX_1624894: postnatal adult; Acvr1ctm1b(EUCOMM)Hmgu/Acvr1c+ (more )
Structure Level Pattern Image Note
TS28: submandibular gland Present JAX_1624894

Specimen JAX_1624895: postnatal adult; Acvr1ctm1b(EUCOMM)Hmgu/Acvr1c+ (more )
Structure Level Pattern Image Note
TS28: brown fat Present JAX_1624895

Specimen JAX_1624897: postnatal adult; Acvr1ctm1b(EUCOMM)Hmgu/Acvr1c+ (more )
Structure Level Pattern Image Note
TS28: olfactory lobe Present JAX_1624897

Specimen JAX_1624898: postnatal adult; Acvr1ctm1b(EUCOMM)Hmgu/Acvr1c+ (more )
Structure Level Pattern Image Note
TS28: brainstem Present JAX_1624898

Specimen JAX_1624899: postnatal adult; Acvr1ctm1b(EUCOMM)Hmgu/Acvr1c+ (more )
Structure Level Pattern Image Note
TS28: pancreas Present JAX_1624899

Specimen JAX_1624900: postnatal adult; Acvr1ctm1b(EUCOMM)Hmgu/Acvr1c+ (more )
Structure Level Pattern Image Note
TS28: small intestine Present JAX_1624900

Specimen JAX_1624901: postnatal adult; Acvr1ctm1b(EUCOMM)Hmgu/Acvr1c+ (more )
Structure Level Pattern Image Note
TS28: large intestine Present JAX_1624901

Specimen JAX_1624902: postnatal adult; Acvr1ctm1b(EUCOMM)Hmgu/Acvr1c+ (more )
Structure Level Pattern Image Note
TS28: testis Present JAX_1624902

Specimen JAX_1624903: postnatal adult; Acvr1ctm1b(EUCOMM)Hmgu/Acvr1c+ (more )
Structure Level Pattern Image Note
TS28: stomach Present JAX_1624903


Contributing Projects:
Mouse Genome Database (MGD), Gene Expression Database (GXD), Mouse Models of Human Cancer database (MMHCdb) (formerly Mouse Tumor Biology (MTB)), Gene Ontology (GO)
Citing These Resources
Funding Information
Warranty Disclaimer, Privacy Notice, Licensing, & Copyright
Send questions and comments to User Support.
last database update
12/30/2025
MGI 6.24
The Jackson Laboratory