About   Help   FAQ
Gene Expression Data
Assay Details
Assay
Reference: J:228563 Koscielny G, et al., The International Mouse Phenotyping Consortium Web Portal, a unified point of access for knockout mice and related phenotyping data. Nucleic Acids Res. 2014 Jan;42(Database issue):D802-9
Assay type: In situ reporter (knock in)
MGI Accession ID: MGI:6692758
Gene symbol: Padi6
Gene name: peptidyl arginine deiminase, type VI
Reporter: lacZ
Direct Detection
Results
Specimen UC Davis_1880571: postnatal adult; Padi6tm1b(KOMP)Wtsi/Padi6+ (more )
Structure Level Pattern Image Note
TS28: ileum Present UC Davis_1880571

Specimen UC Davis_1880572: postnatal adult; Padi6tm1b(KOMP)Wtsi/Padi6+ (more )
Structure Level Pattern Image Note
TS28: testis Present UC Davis_1880572

Specimen UC Davis_1880573: postnatal adult; Padi6tm1b(KOMP)Wtsi/Padi6+ (more )
Structure Level Pattern Image Note
TS28: testis Present UC Davis_1880573

Specimen UC Davis_1880574: postnatal adult; Padi6tm1b(KOMP)Wtsi/Padi6+ (more )
Structure Level Pattern Image Note
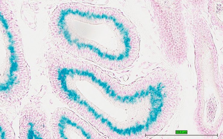
TS28: epididymis Present UC Davis_1880574

Specimen UC Davis_1880575: postnatal adult; Padi6tm1b(KOMP)Wtsi/Padi6+ (more )
Structure Level Pattern Image Note
TS28: prostate gland Present UC Davis_1880575

Specimen UC Davis_1880576: postnatal adult; Padi6tm1b(KOMP)Wtsi/Padi6+ (more )
Structure Level Pattern Image Note
TS28: ductus deferens Present UC Davis_1880576 vas deferens


Contributing Projects:
Mouse Genome Database (MGD), Gene Expression Database (GXD), Mouse Models of Human Cancer database (MMHCdb) (formerly Mouse Tumor Biology (MTB)), Gene Ontology (GO)
Citing These Resources
Funding Information
Warranty Disclaimer, Privacy Notice, Licensing, & Copyright
Send questions and comments to User Support.
last database update
01/20/2026
MGI 6.24
The Jackson Laboratory