About   Help   FAQ
Gene Expression Data
Assay Details
Assay
Reference: J:228563 Koscielny G, et al., The International Mouse Phenotyping Consortium Web Portal, a unified point of access for knockout mice and related phenotyping data. Nucleic Acids Res. 2014 Jan;42(Database issue):D802-9
Assay type: In situ reporter (knock in)
MGI Accession ID: MGI:6692751
Gene symbol: Mapk15
Gene name: mitogen-activated protein kinase 15
Reporter: lacZ
Direct Detection
Results
Specimen JAX_1126875: embryonic day 12.5; Mapk15tm1b(EUCOMM)Hmgu/Mapk15+ (more )
Structure Level Pattern Image Note
TS20: embryo Present JAX_1126875

Specimen JAX_1126877: embryonic day 12.5; Mapk15tm1b(EUCOMM)Hmgu/Mapk15+ (more )
Structure Level Pattern Image Note
TS20: embryo Present JAX_1126877

Specimen JAX_1126879: embryonic day 12.5; Mapk15tm1b(EUCOMM)Hmgu/Mapk15+ (more )
Structure Level Pattern Image Note
TS20: embryo Present JAX_1126879

Specimen JAX_1126881: embryonic day 12.5; Mapk15tm1b(EUCOMM)Hmgu/Mapk15+ (more )
Structure Level Pattern Image Note
TS20: embryo Present JAX_1126881

Specimen JAX_1622163: postnatal adult; Mapk15tm1b(EUCOMM)Hmgu/Mapk15+ (more )
Structure Level Pattern Image Note
TS28: lung Present JAX_1622163

Specimen JAX_1622164: postnatal adult; Mapk15tm1b(EUCOMM)Hmgu/Mapk15+ (more )
Structure Level Pattern Image Note
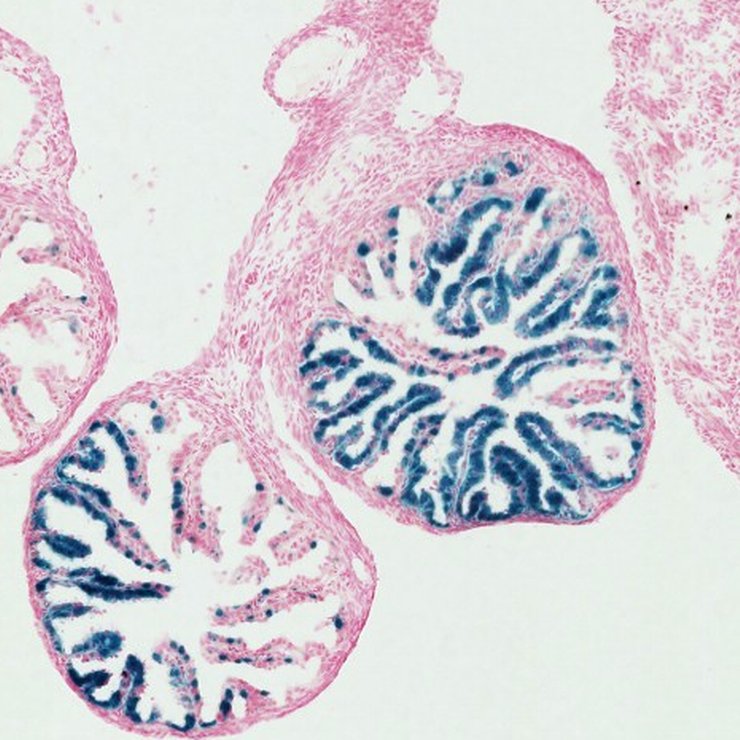
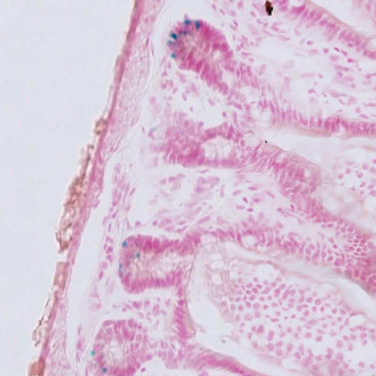
TS28: small intestine Present JAX_1622164

Specimen JAX_1622165: postnatal adult; Mapk15tm1b(EUCOMM)Hmgu/Mapk15+ (more )
Structure Level Pattern Image Note
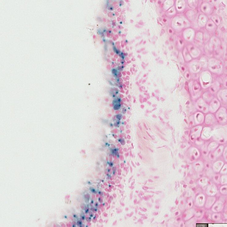
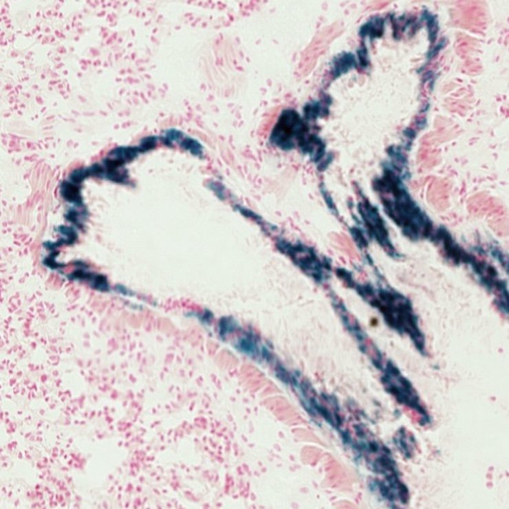
TS28: trachea Present JAX_1622165

Specimen JAX_1622166: postnatal adult; Mapk15tm1b(EUCOMM)Hmgu/Mapk15+ (more )
Structure Level Pattern Image Note
TS28: oviduct Present JAX_1622166

Specimen JAX_1622167: postnatal adult; Mapk15tm1b(EUCOMM)Hmgu/Mapk15+ (more )
Structure Level Pattern Image Note
TS28: ovary Present JAX_1622167

Specimen JAX_1622168: postnatal adult; Mapk15tm1b(EUCOMM)Hmgu/Mapk15+ (more )
Structure Level Pattern Image Note
TS28: mammary gland Present JAX_1622168

Specimen JAX_1622169: postnatal adult; Mapk15tm1b(EUCOMM)Hmgu/Mapk15+ (more )
Structure Level Pattern Image Note
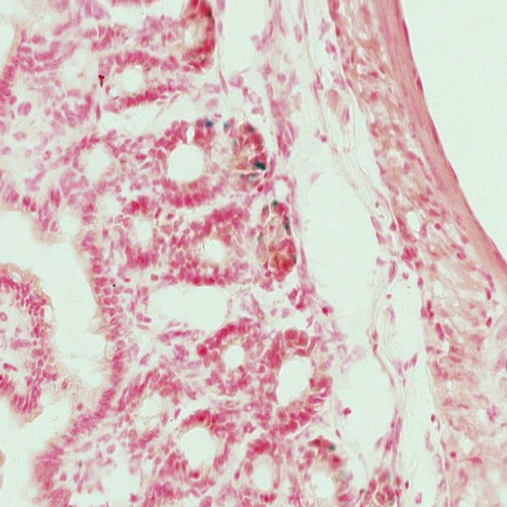
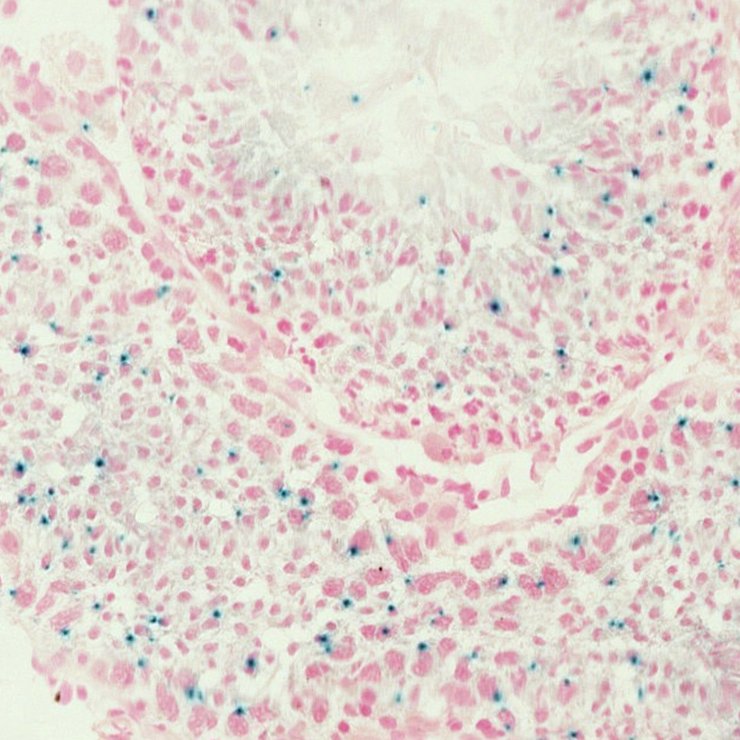
TS28: metanephros Present JAX_1622169 kidney

Specimen JAX_1622170: postnatal adult; Mapk15tm1b(EUCOMM)Hmgu/Mapk15+ (more )
Structure Level Pattern Image Note
TS28: brain Present JAX_1622170

Specimen JAX_1622171: postnatal adult; Mapk15tm1b(EUCOMM)Hmgu/Mapk15+ (more )
Structure Level Pattern Image Note
TS28: epididymis Present JAX_1622171

Specimen JAX_1622172: postnatal adult; Mapk15tm1b(EUCOMM)Hmgu/Mapk15+ (more )
Structure Level Pattern Image Note
TS28: spinal cord Present JAX_1622172

Specimen JAX_1622173: postnatal adult; Mapk15tm1b(EUCOMM)Hmgu/Mapk15+ (more )
Structure Level Pattern Image Note
TS28: large intestine Present JAX_1622173

Specimen JAX_1622174: postnatal adult; Mapk15tm1b(EUCOMM)Hmgu/Mapk15+ (more )
Structure Level Pattern Image Note
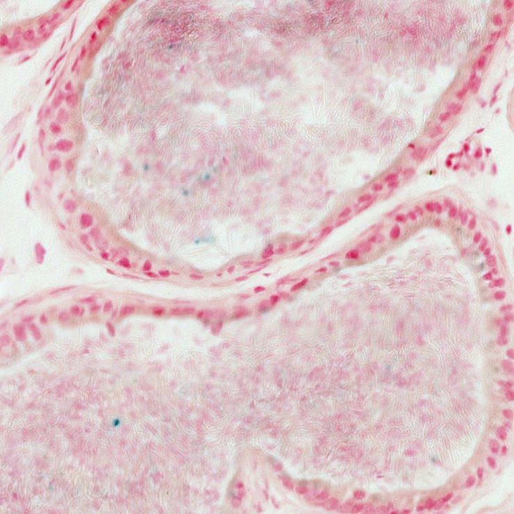
TS28: testis Present JAX_1622174


Contributing Projects:
Mouse Genome Database (MGD), Gene Expression Database (GXD), Mouse Models of Human Cancer database (MMHCdb) (formerly Mouse Tumor Biology (MTB)), Gene Ontology (GO)
Citing These Resources
Funding Information
Warranty Disclaimer, Privacy Notice, Licensing, & Copyright
Send questions and comments to User Support.
last database update
12/30/2025
MGI 6.24
The Jackson Laboratory