About   Help   FAQ
Gene Expression Data
Assay Details
Assay
Reference: J:228563 Koscielny G, et al., The International Mouse Phenotyping Consortium Web Portal, a unified point of access for knockout mice and related phenotyping data. Nucleic Acids Res. 2014 Jan;42(Database issue):D802-9
Assay type: In situ reporter (knock in)
MGI Accession ID: MGI:6692733
Gene symbol: Dleu7
Gene name: deleted in lymphocytic leukemia, 7
Reporter: lacZ
Direct Detection
Results
Specimen UC Davis_1875639: postnatal adult; Dleu7tm1.1(KOMP)Vlcg/Dleu7+ (more )
Structure Level Pattern Image Note
TS28: olfactory lobe Present UC Davis_1875639

Specimen UC Davis_1875640: postnatal adult; Dleu7tm1.1(KOMP)Vlcg/Dleu7+ (more )
Structure Level Pattern Image Note
TS28: olfactory lobe Present UC Davis_1875640

Specimen UC Davis_1875641: postnatal adult; Dleu7tm1.1(KOMP)Vlcg/Dleu7+ (more )
Structure Level Pattern Image Note
TS28: olfactory lobe Present UC Davis_1875641

Specimen UC Davis_1875642: postnatal adult; Dleu7tm1.1(KOMP)Vlcg/Dleu7+ (more )
Structure Level Pattern Image Note
TS28: olfactory lobe Present UC Davis_1875642

Specimen UC Davis_1875645: postnatal adult; Dleu7tm1.1(KOMP)Vlcg/Dleu7+ (more )
Structure Level Pattern Image Note
TS28: olfactory lobe Present UC Davis_1875645

Specimen UC Davis_1875646: postnatal adult; Dleu7tm1.1(KOMP)Vlcg/Dleu7+ (more )
Structure Level Pattern Image Note
TS28: olfactory lobe Present UC Davis_1875646

Specimen UC Davis_1875650: postnatal adult; Dleu7tm1.1(KOMP)Vlcg/Dleu7+ (more )
Structure Level Pattern Image Note
TS28: midbrain Present UC Davis_1875650

Specimen UC Davis_1875651: postnatal adult; Dleu7tm1.1(KOMP)Vlcg/Dleu7+ (more )
Structure Level Pattern Image Note
TS28: testis Present UC Davis_1875651

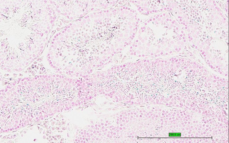
Specimen UC Davis_1875652: postnatal adult; Dleu7tm1.1(KOMP)Vlcg/Dleu7+ (more )
Structure Level Pattern Image Note
TS28: testis Present UC Davis_1875652

Specimen UC Davis_1875653: postnatal adult; Dleu7tm1.1(KOMP)Vlcg/Dleu7+ (more )
Structure Level Pattern Image Note
TS28: epididymis Present UC Davis_1875653

Specimen UC Davis_1875654: postnatal adult; Dleu7tm1.1(KOMP)Vlcg/Dleu7+ (more )
Structure Level Pattern Image Note
TS28: prostate gland Present UC Davis_1875654

Specimen UC Davis_1875655: postnatal adult; Dleu7tm1.1(KOMP)Vlcg/Dleu7+ (more )
Structure Level Pattern Image Note
TS28: ductus deferens Present UC Davis_1875655 vas deferens


Contributing Projects:
Mouse Genome Database (MGD), Gene Expression Database (GXD), Mouse Models of Human Cancer database (MMHCdb) (formerly Mouse Tumor Biology (MTB)), Gene Ontology (GO)
Citing These Resources
Funding Information
Warranty Disclaimer, Privacy Notice, Licensing, & Copyright
Send questions and comments to User Support.
last database update
01/20/2026
MGI 6.24
The Jackson Laboratory