About   Help   FAQ
Gene Expression Data
Assay Details
Assay
Reference: J:228563 Koscielny G, et al., The International Mouse Phenotyping Consortium Web Portal, a unified point of access for knockout mice and related phenotyping data. Nucleic Acids Res. 2014 Jan;42(Database issue):D802-9
Assay type: In situ reporter (knock in)
MGI Accession ID: MGI:6692730
Gene symbol: Kif26b
Gene name: kinesin family member 26B
Reporter: lacZ
Direct Detection
Results
Specimen JAX_705195: embryonic day 12.5; Kif26btm2b(KOMP)Wtsi/Kif26btm2b(KOMP)Wtsi (more )
Structure Level Pattern Image Note
TS20: embryo Present JAX_705195

Specimen JAX_705197: embryonic day 12.5; Kif26btm2b(KOMP)Wtsi/Kif26btm2b(KOMP)Wtsi (more )
Structure Level Pattern Image Note
TS20: embryo Present JAX_705197

Specimen JAX_705199: embryonic day 12.5; Kif26btm2b(KOMP)Wtsi/Kif26btm2b(KOMP)Wtsi (more )
Structure Level Pattern Image Note
TS20: embryo Present JAX_705199

Specimen JAX_705201: embryonic day 12.5; Kif26btm2b(KOMP)Wtsi/Kif26btm2b(KOMP)Wtsi (more )
Structure Level Pattern Image Note
TS20: embryo Present JAX_705201

Specimen JAX_1314088: embryonic day 12.5; Kif26btm2b(KOMP)Wtsi/Kif26b+ (more )
Structure Level Pattern Image Note
TS20: embryo Present JAX_1314088

Specimen JAX_1314089: embryonic day 12.5; Kif26btm2b(KOMP)Wtsi/Kif26b+ (more )
Structure Level Pattern Image Note
TS20: embryo Present JAX_1314089

Specimen JAX_1314090: embryonic day 12.5; Kif26btm2b(KOMP)Wtsi/Kif26b+ (more )
Structure Level Pattern Image Note
TS20: embryo Present JAX_1314090

Specimen JAX_1314091: embryonic day 12.5; Kif26btm2b(KOMP)Wtsi/Kif26b+ (more )
Structure Level Pattern Image Note
TS20: embryo Present JAX_1314091

Specimen JAX_900403: embryonic day 12.5; Kif26btm2b(KOMP)Wtsi/Kif26b+ (more )
Structure Level Pattern Image Note
TS20: embryo Present JAX_900403

Specimen JAX_900405: embryonic day 12.5; Kif26btm2b(KOMP)Wtsi/Kif26b+ (more )
Structure Level Pattern Image Note
TS20: embryo Present JAX_900405

Specimen JAX_900407: embryonic day 12.5; Kif26btm2b(KOMP)Wtsi/Kif26b+ (more )
Structure Level Pattern Image Note
TS20: embryo Present JAX_900407

Specimen JAX_900409: embryonic day 12.5; Kif26btm2b(KOMP)Wtsi/Kif26b+ (more )
Structure Level Pattern Image Note
TS20: embryo Present JAX_900409

Specimen JAX_1799242: postnatal adult; Kif26btm2b(KOMP)Wtsi/Kif26b+ (more )
Structure Level Pattern Image Note
TS28: vascular system Present JAX_1799242

Specimen JAX_1799243: postnatal adult; Kif26btm2b(KOMP)Wtsi/Kif26b+ (more )
Structure Level Pattern Image Note
TS28: submandibular gland Present JAX_1799243

Specimen JAX_1799244: postnatal adult; Kif26btm2b(KOMP)Wtsi/Kif26b+ (more )
Structure Level Pattern Image Note
TS28: cartilage Present JAX_1799244

Specimen JAX_1799245: postnatal adult; Kif26btm2b(KOMP)Wtsi/Kif26b+ (more )
Structure Level Pattern Image Note
TS28: aorta Present JAX_1799245

Specimen JAX_1799246: postnatal adult; Kif26btm2b(KOMP)Wtsi/Kif26b+ (more )
Structure Level Pattern Image Note
TS28: uterus Present JAX_1799246

Specimen JAX_1799247: postnatal adult; Kif26btm2b(KOMP)Wtsi/Kif26b+ (more )
Structure Level Pattern Image Note
TS28: trachea Present JAX_1799247

Specimen JAX_1799248: postnatal adult; Kif26btm2b(KOMP)Wtsi/Kif26b+ (more )
Structure Level Pattern Image Note
TS28: skin Present JAX_1799248

Specimen JAX_1799249: postnatal adult; Kif26btm2b(KOMP)Wtsi/Kif26b+ (more )
Structure Level Pattern Image Note
TS28: oviduct Present JAX_1799249

Specimen JAX_1799250: postnatal adult; Kif26btm2b(KOMP)Wtsi/Kif26b+ (more )
Structure Level Pattern Image Note
TS28: ovary Present JAX_1799250

Specimen JAX_1799251: postnatal adult; Kif26btm2b(KOMP)Wtsi/Kif26b+ (more )
Structure Level Pattern Image Note
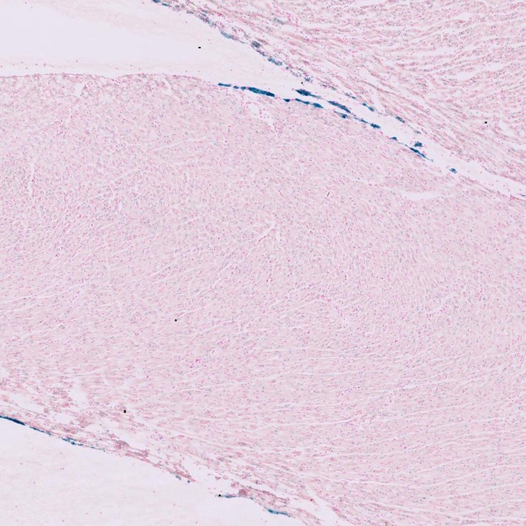
TS28: heart Present JAX_1799251

Specimen JAX_1799224: postnatal adult; Kif26btm2b(KOMP)Wtsi/Kif26b+ (more )
Structure Level Pattern Image Note
TS28: midbrain Present JAX_1799224

Specimen JAX_1799225: postnatal adult; Kif26btm2b(KOMP)Wtsi/Kif26b+ (more )
Structure Level Pattern Image Note
TS28: epididymis Present JAX_1799225

Specimen JAX_1799226: postnatal adult; Kif26btm2b(KOMP)Wtsi/Kif26b+ (more )
Structure Level Pattern Image Note
TS28: bladder Present JAX_1799226

Specimen JAX_1799227: postnatal adult; Kif26btm2b(KOMP)Wtsi/Kif26b+ (more )
Structure Level Pattern Image Note
TS28: peripheral nervous system Present JAX_1799227

Specimen JAX_1799228: postnatal adult; Kif26btm2b(KOMP)Wtsi/Kif26b+ (more )
Structure Level Pattern Image Note
TS28: olfactory lobe Present JAX_1799228

Specimen JAX_1799229: postnatal adult; Kif26btm2b(KOMP)Wtsi/Kif26b+ (more )
Structure Level Pattern Image Note
TS28: hypothalamus Present JAX_1799229

Specimen JAX_1799230: postnatal adult; Kif26btm2b(KOMP)Wtsi/Kif26b+ (more )
Structure Level Pattern Image Note
TS28: hippocampus Present JAX_1799230

Specimen JAX_1799231: postnatal adult; Kif26btm2b(KOMP)Wtsi/Kif26b+ (more )
Structure Level Pattern Image Note
TS28: cerebellum Present JAX_1799231

Specimen JAX_1799232: postnatal adult; Kif26btm2b(KOMP)Wtsi/Kif26b+ (more )
Structure Level Pattern Image Note
TS28: cerebral cortex Present JAX_1799232

Specimen JAX_1799233: postnatal adult; Kif26btm2b(KOMP)Wtsi/Kif26b+ (more )
Structure Level Pattern Image Note
TS28: brainstem Present JAX_1799233

Specimen JAX_1799234: postnatal adult; Kif26btm2b(KOMP)Wtsi/Kif26b+ (more )
Structure Level Pattern Image Note
TS28: small intestine Present JAX_1799234

Specimen JAX_1799235: postnatal adult; Kif26btm2b(KOMP)Wtsi/Kif26b+ (more )
Structure Level Pattern Image Note
TS28: spinal cord Present JAX_1799235

Specimen JAX_1799236: postnatal adult; Kif26btm2b(KOMP)Wtsi/Kif26b+ (more )
Structure Level Pattern Image Note
TS28: large intestine Present JAX_1799236

Specimen JAX_1799237: postnatal adult; Kif26btm2b(KOMP)Wtsi/Kif26b+ (more )
Structure Level Pattern Image Note
TS28: testis Present JAX_1799237

Specimen JAX_1799238: postnatal adult; Kif26btm2b(KOMP)Wtsi/Kif26b+ (more )
Structure Level Pattern Image Note
TS28: stomach Present JAX_1799238

Specimen JAX_1799239: postnatal adult; Kif26btm2b(KOMP)Wtsi/Kif26b+ (more )
Structure Level Pattern Image Note
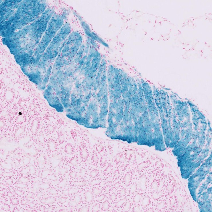
TS28: metanephros Present JAX_1799239 kidney

Specimen JAX_1799240: postnatal adult; Kif26btm2b(KOMP)Wtsi/Kif26b+ (more )
Structure Level Pattern Image Note
TS28: eye Present JAX_1799240

Specimen JAX_1799241: postnatal adult; Kif26btm2b(KOMP)Wtsi/Kif26b+ (more )
Structure Level Pattern Image Note
TS28: brain Present JAX_1799241


Contributing Projects:
Mouse Genome Database (MGD), Gene Expression Database (GXD), Mouse Models of Human Cancer database (MMHCdb) (formerly Mouse Tumor Biology (MTB)), Gene Ontology (GO)
Citing These Resources
Funding Information
Warranty Disclaimer, Privacy Notice, Licensing, & Copyright
Send questions and comments to User Support.
last database update
12/30/2025
MGI 6.24
The Jackson Laboratory