About   Help   FAQ
Gene Expression Data
Assay Details
Assay
Reference: J:228563 Koscielny G, et al., The International Mouse Phenotyping Consortium Web Portal, a unified point of access for knockout mice and related phenotyping data. Nucleic Acids Res. 2014 Jan;42(Database issue):D802-9
Assay type: In situ reporter (knock in)
MGI Accession ID: MGI:6692719
Gene symbol: Rfx6
Gene name: regulatory factor X, 6
Reporter: lacZ
Direct Detection
Results
Specimen TCP_2460298: postnatal adult; Rfx6tm1.1(KOMP)Vlcg/Rfx6+ (more )
Structure Level Pattern Image Note
TS28: metanephros Present TCP_2460298 kidney

Specimen UC Davis_1872018: postnatal adult; Rfx6tm1.1(KOMP)Vlcg/Rfx6+ (more )
Structure Level Pattern Image Note
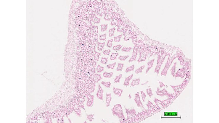
TS28: stomach Present UC Davis_1872018

Specimen TCP_2460297: postnatal adult; Rfx6tm1.1(KOMP)Vlcg/Rfx6+ (more )
Structure Level Pattern Image Note
TS28: prostate gland Present TCP_2460297

Specimen UC Davis_1872020: postnatal adult; Rfx6tm1.1(KOMP)Vlcg/Rfx6+ (more )
Structure Level Pattern Image Note
TS28: ileum Present UC Davis_1872020

Specimen UC Davis_1872021: postnatal adult; Rfx6tm1.1(KOMP)Vlcg/Rfx6+ (more )
Structure Level Pattern Image Note
TS28: ileum Present UC Davis_1872021

Specimen UC Davis_1872022: postnatal adult; Rfx6tm1.1(KOMP)Vlcg/Rfx6+ (more )
Structure Level Pattern Image Note
TS28: epididymis Present UC Davis_1872022


Contributing Projects:
Mouse Genome Database (MGD), Gene Expression Database (GXD), Mouse Models of Human Cancer database (MMHCdb) (formerly Mouse Tumor Biology (MTB)), Gene Ontology (GO)
Citing These Resources
Funding Information
Warranty Disclaimer, Privacy Notice, Licensing, & Copyright
Send questions and comments to User Support.
last database update
12/30/2025
MGI 6.24
The Jackson Laboratory