About   Help   FAQ
Gene Expression Data
Assay Details
Assay
Reference: J:228563 Koscielny G, et al., The International Mouse Phenotyping Consortium Web Portal, a unified point of access for knockout mice and related phenotyping data. Nucleic Acids Res. 2014 Jan;42(Database issue):D802-9
Assay type: In situ reporter (knock in)
MGI Accession ID: MGI:6692708
Gene symbol: Amigo3
Gene name: adhesion molecule with Ig like domain 3
Reporter: lacZ
Direct Detection
Results
Specimen UC Davis_1858349: postnatal adult; Amigo3tm1.1(KOMP)Vlcg/Amigo3+ (more )
Structure Level Pattern Image Note
TS28: esophagus Present UC Davis_1858349

Specimen UC Davis_1858350: postnatal adult; Amigo3tm1.1(KOMP)Vlcg/Amigo3+ (more )
Structure Level Pattern Image Note
TS28: thymus Present UC Davis_1858350

Specimen UC Davis_1858351: postnatal adult; Amigo3tm1.1(KOMP)Vlcg/Amigo3+ (more )
Structure Level Pattern Image Note
TS28: thymus Present UC Davis_1858351

Specimen UC Davis_1858352: postnatal adult; Amigo3tm1.1(KOMP)Vlcg/Amigo3+ (more )
Structure Level Pattern Image Note
TS28: stomach Present UC Davis_1858352

Specimen UC Davis_1858353: postnatal adult; Amigo3tm1.1(KOMP)Vlcg/Amigo3+ (more )
Structure Level Pattern Image Note
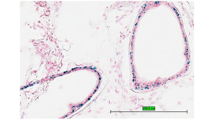
TS28: ileum Present UC Davis_1858353

Specimen UC Davis_1858354: postnatal adult; Amigo3tm1.1(KOMP)Vlcg/Amigo3+ (more )
Structure Level Pattern Image Note
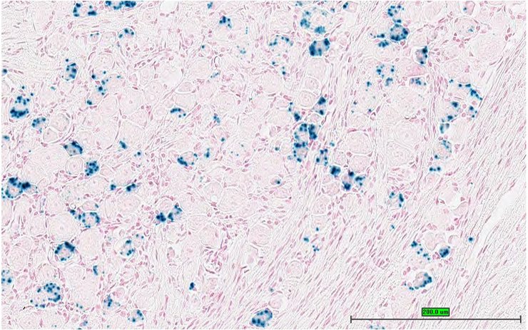
TS28: metanephros Present UC Davis_1858354 kidney

Specimen UC Davis_1858355: postnatal adult; Amigo3tm1.1(KOMP)Vlcg/Amigo3+ (more )
Structure Level Pattern Image Note
TS28: metanephros Present UC Davis_1858355 kidney

Specimen UC Davis_1858356: postnatal adult; Amigo3tm1.1(KOMP)Vlcg/Amigo3+ (more )
Structure Level Pattern Image Note
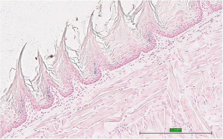
TS28: tongue Present UC Davis_1858356

Specimen UC Davis_1858357: postnatal adult; Amigo3tm1.1(KOMP)Vlcg/Amigo3+ (more )
Structure Level Pattern Image Note
TS28: tongue Present UC Davis_1858357

Specimen UC Davis_1858358: postnatal adult; Amigo3tm1.1(KOMP)Vlcg/Amigo3+ (more )
Structure Level Pattern Image Note
TS28: adrenal gland Present UC Davis_1858358

Specimen UC Davis_1858359: postnatal adult; Amigo3tm1.1(KOMP)Vlcg/Amigo3+ (more )
Structure Level Pattern Image Note
TS28: pituitary gland Present UC Davis_1858359

Specimen UC Davis_1858360: postnatal adult; Amigo3tm1.1(KOMP)Vlcg/Amigo3+ (more )
Structure Level Pattern Image Note
TS28: skin Present UC Davis_1858360

Specimen UC Davis_1858361: postnatal adult; Amigo3tm1.1(KOMP)Vlcg/Amigo3+ (more )
Structure Level Pattern Image Note
TS28: midbrain Present UC Davis_1858361

Specimen UC Davis_1858362: postnatal adult; Amigo3tm1.1(KOMP)Vlcg/Amigo3+ (more )
Structure Level Pattern Image Note
TS28: trigeminal nerve Present UC Davis_1858362

Specimen UC Davis_1858363: postnatal adult; Amigo3tm1.1(KOMP)Vlcg/Amigo3+ (more )
Structure Level Pattern Image Note
TS28: trigeminal nerve Present UC Davis_1858363

Specimen UC Davis_1858364: postnatal adult; Amigo3tm1.1(KOMP)Vlcg/Amigo3+ (more )
Structure Level Pattern Image Note
TS28: uterus Present UC Davis_1858364

Specimen UC Davis_1858365: postnatal adult; Amigo3tm1.1(KOMP)Vlcg/Amigo3+ (more )
Structure Level Pattern Image Note
TS28: uterus Present UC Davis_1858365

Specimen UC Davis_1858368: postnatal adult; Amigo3tm1.1(KOMP)Vlcg/Amigo3+ (more )
Structure Level Pattern Image Note
TS28: stomach Present UC Davis_1858368

Specimen UC Davis_1858369: postnatal adult; Amigo3tm1.1(KOMP)Vlcg/Amigo3+ (more )
Structure Level Pattern Image Note
TS28: ileum Present UC Davis_1858369

Specimen UC Davis_1858370: postnatal adult; Amigo3tm1.1(KOMP)Vlcg/Amigo3+ (more )
Structure Level Pattern Image Note
TS28: ileum Present UC Davis_1858370

Specimen UC Davis_1858371: postnatal adult; Amigo3tm1.1(KOMP)Vlcg/Amigo3+ (more )
Structure Level Pattern Image Note
TS28: metanephros Absent UC Davis_1858371 kidney

Specimen UC Davis_1858372: postnatal adult; Amigo3tm1.1(KOMP)Vlcg/Amigo3+ (more )
Structure Level Pattern Image Note
TS28: metanephros Absent UC Davis_1858372 kidney

Specimen UC Davis_1858373: postnatal adult; Amigo3tm1.1(KOMP)Vlcg/Amigo3+ (more )
Structure Level Pattern Image Note
TS28: tongue Present UC Davis_1858373

Specimen UC Davis_1858374: postnatal adult; Amigo3tm1.1(KOMP)Vlcg/Amigo3+ (more )
Structure Level Pattern Image Note
TS28: tongue Present UC Davis_1858374

Specimen UC Davis_1858375: postnatal adult; Amigo3tm1.1(KOMP)Vlcg/Amigo3+ (more )
Structure Level Pattern Image Note
TS28: skin Present UC Davis_1858375

Specimen UC Davis_1858376: postnatal adult; Amigo3tm1.1(KOMP)Vlcg/Amigo3+ (more )
Structure Level Pattern Image Note
TS28: skin Present UC Davis_1858376

Specimen UC Davis_1858377: postnatal adult; Amigo3tm1.1(KOMP)Vlcg/Amigo3+ (more )
Structure Level Pattern Image Note
TS28: midbrain Present UC Davis_1858377

Specimen UC Davis_1858378: postnatal adult; Amigo3tm1.1(KOMP)Vlcg/Amigo3+ (more )
Structure Level Pattern Image Note
TS28: trigeminal nerve Present UC Davis_1858378

Specimen UC Davis_1858379: postnatal adult; Amigo3tm1.1(KOMP)Vlcg/Amigo3+ (more )
Structure Level Pattern Image Note
TS28: trigeminal nerve Present UC Davis_1858379

Specimen UC Davis_1858380: postnatal adult; Amigo3tm1.1(KOMP)Vlcg/Amigo3+ (more )
Structure Level Pattern Image Note
TS28: testis Present UC Davis_1858380

Specimen UC Davis_1858381: postnatal adult; Amigo3tm1.1(KOMP)Vlcg/Amigo3+ (more )
Structure Level Pattern Image Note
TS28: epididymis Present UC Davis_1858381

Specimen UC Davis_1858382: postnatal adult; Amigo3tm1.1(KOMP)Vlcg/Amigo3+ (more )
Structure Level Pattern Image Note
TS28: epididymis Present UC Davis_1858382

Specimen UC Davis_1858383: postnatal adult; Amigo3tm1.1(KOMP)Vlcg/Amigo3+ (more )
Structure Level Pattern Image Note
TS28: prostate gland Present UC Davis_1858383

Specimen UC Davis_1858384: postnatal adult; Amigo3tm1.1(KOMP)Vlcg/Amigo3+ (more )
Structure Level Pattern Image Note
TS28: ductus deferens Present UC Davis_1858384 vas deferens

Specimen UC Davis_1858385: postnatal adult; Amigo3tm1.1(KOMP)Vlcg/Amigo3+ (more )
Structure Level Pattern Image Note
TS28: ductus deferens Present UC Davis_1858385 vas deferens

Specimen UC Davis_1858386: postnatal adult; Amigo3tm1.1(KOMP)Vlcg/Amigo3+ (more )
Structure Level Pattern Image Note
TS28: tongue Present UC Davis_1858386

Specimen UC Davis_1858387: postnatal adult; Amigo3tm1.1(KOMP)Vlcg/Amigo3+ (more )
Structure Level Pattern Image Note
TS28: metanephros Present UC Davis_1858387 kidney

Specimen UC Davis_1858388: postnatal adult; Amigo3tm1.1(KOMP)Vlcg/Amigo3+ (more )
Structure Level Pattern Image Note
TS28: mesenteric lymph node Present UC Davis_1858388

Specimen UC Davis_1858389: postnatal adult; Amigo3tm1.1(KOMP)Vlcg/Amigo3+ (more )
Structure Level Pattern Image Note
TS28: thoracic segment skeleton Present UC Davis_1858389 chest bone


Contributing Projects:
Mouse Genome Database (MGD), Gene Expression Database (GXD), Mouse Models of Human Cancer database (MMHCdb) (formerly Mouse Tumor Biology (MTB)), Gene Ontology (GO)
Citing These Resources
Funding Information
Warranty Disclaimer, Privacy Notice, Licensing, & Copyright
Send questions and comments to User Support.
last database update
12/30/2025
MGI 6.24
The Jackson Laboratory