About   Help   FAQ
Gene Expression Data
Assay Details
Assay
Reference: J:228563 Koscielny G, et al., The International Mouse Phenotyping Consortium Web Portal, a unified point of access for knockout mice and related phenotyping data. Nucleic Acids Res. 2014 Jan;42(Database issue):D802-9
Assay type: In situ reporter (knock in)
MGI Accession ID: MGI:6692687
Gene symbol: Ube2o
Gene name: ubiquitin-conjugating enzyme E2O
Reporter: lacZ
Direct Detection
Results
Specimen JAX_1370143: embryonic day 12.5; Ube2otm1.1(KOMP)Mbp/Ube2o+ (more )
Structure Level Pattern Image Note
TS20: embryo Present JAX_1370143

Specimen JAX_1370144: embryonic day 12.5; Ube2otm1.1(KOMP)Mbp/Ube2o+ (more )
Structure Level Pattern Image Note
TS20: embryo Present JAX_1370144

Specimen JAX_1370145: embryonic day 12.5; Ube2otm1.1(KOMP)Mbp/Ube2o+ (more )
Structure Level Pattern Image Note
TS20: embryo Present JAX_1370145

Specimen JAX_1370146: embryonic day 12.5; Ube2otm1.1(KOMP)Mbp/Ube2o+ (more )
Structure Level Pattern Image Note
TS20: embryo Present JAX_1370146

Specimen JAX_1618448: embryonic day 12.5; Ube2otm1.1(KOMP)Mbp/Ube2o+ (more )
Structure Level Pattern Image Note
TS20: embryo Present JAX_1618448

Specimen JAX_1618449: embryonic day 12.5; Ube2otm1.1(KOMP)Mbp/Ube2o+ (more )
Structure Level Pattern Image Note
TS20: embryo Present JAX_1618449

Specimen JAX_1618450: embryonic day 12.5; Ube2otm1.1(KOMP)Mbp/Ube2o+ (more )
Structure Level Pattern Image Note
TS20: embryo Present JAX_1618450

Specimen JAX_1618451: embryonic day 12.5; Ube2otm1.1(KOMP)Mbp/Ube2o+ (more )
Structure Level Pattern Image Note
TS20: embryo Present JAX_1618451

Specimen JAX_1799831: postnatal adult; Ube2otm1.1(KOMP)Mbp/Ube2o+ (more )
Structure Level Pattern Image Note
TS28: ovary Present JAX_1799831

Specimen JAX_1799832: postnatal adult; Ube2otm1.1(KOMP)Mbp/Ube2o+ (more )
Structure Level Pattern Image Note
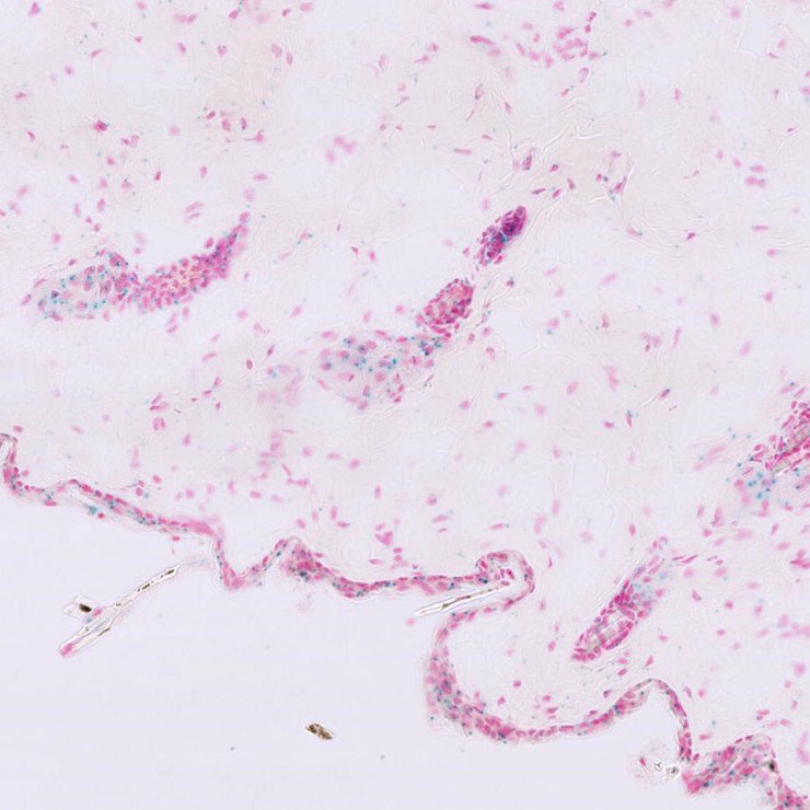
TS28: uterus Present JAX_1799832

Specimen JAX_1799833: postnatal adult; Ube2otm1.1(KOMP)Mbp/Ube2o+ (more )
Structure Level Pattern Image Note
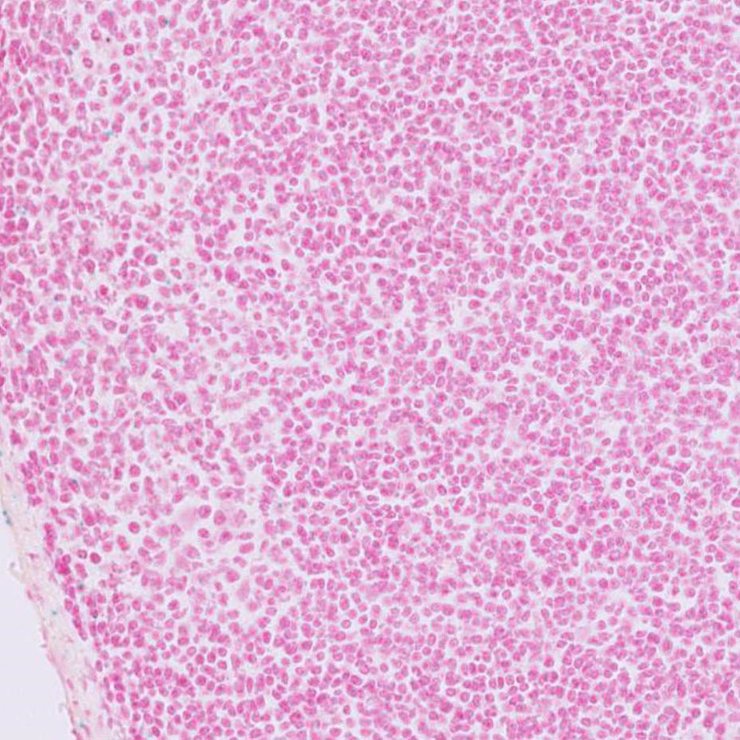
TS28: lymph node Present JAX_1799833

Specimen JAX_1799834: postnatal adult; Ube2otm1.1(KOMP)Mbp/Ube2o+ (more )
Structure Level Pattern Image Note
TS28: small intestine Present JAX_1799834

Specimen JAX_1799835: postnatal adult; Ube2otm1.1(KOMP)Mbp/Ube2o+ (more )
Structure Level Pattern Image Note
TS28: stomach Present JAX_1799835

Specimen JAX_1799836: postnatal adult; Ube2otm1.1(KOMP)Mbp/Ube2o+ (more )
Structure Level Pattern Image Note
TS28: oviduct Present JAX_1799836

Specimen JAX_1799837: postnatal adult; Ube2otm1.1(KOMP)Mbp/Ube2o+ (more )
Structure Level Pattern Image Note
TS28: testis Present JAX_1799837

Specimen JAX_1799838: postnatal adult; Ube2otm1.1(KOMP)Mbp/Ube2o+ (more )
Structure Level Pattern Image Note
TS28: epididymis Present JAX_1799838

Specimen JAX_1799839: postnatal adult; Ube2otm1.1(KOMP)Mbp/Ube2o+ (more )
Structure Level Pattern Image Note
TS28: metanephros Present JAX_1799839 kidney

Specimen JAX_1799840: postnatal adult; Ube2otm1.1(KOMP)Mbp/Ube2o+ (more )
Structure Level Pattern Image Note
TS28: bladder Present JAX_1799840

Specimen JAX_1799841: postnatal adult; Ube2otm1.1(KOMP)Mbp/Ube2o+ (more )
Structure Level Pattern Image Note
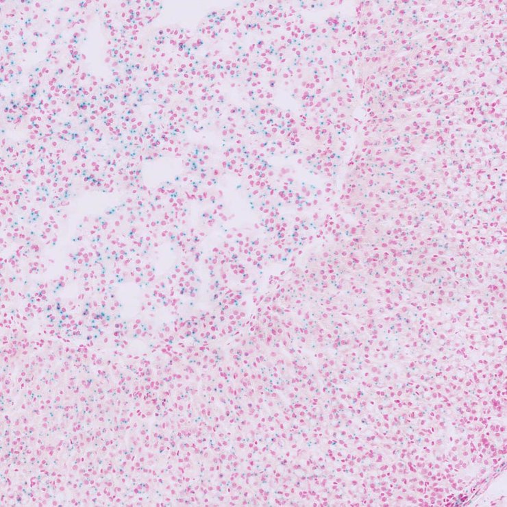
TS28: adrenal gland Present JAX_1799841

Specimen JAX_1799842: postnatal adult; Ube2otm1.1(KOMP)Mbp/Ube2o+ (more )
Structure Level Pattern Image Note
TS28: pancreas Present JAX_1799842

Specimen JAX_1799843: postnatal adult; Ube2otm1.1(KOMP)Mbp/Ube2o+ (more )
Structure Level Pattern Image Note
TS28: spleen Present JAX_1799843

Specimen JAX_1799844: postnatal adult; Ube2otm1.1(KOMP)Mbp/Ube2o+ (more )
Structure Level Pattern Image Note
TS28: thymus Present JAX_1799844

Specimen JAX_1799845: postnatal adult; Ube2otm1.1(KOMP)Mbp/Ube2o+ (more )
Structure Level Pattern Image Note
TS28: large intestine Present JAX_1799845

Specimen JAX_1799846: postnatal adult; Ube2otm1.1(KOMP)Mbp/Ube2o+ (more )
Structure Level Pattern Image Note
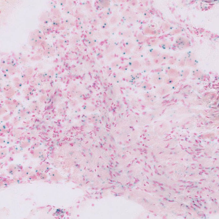
TS28: liver Present JAX_1799846

Specimen JAX_1799847: postnatal adult; Ube2otm1.1(KOMP)Mbp/Ube2o+ (more )
Structure Level Pattern Image Note
TS28: lung Present JAX_1799847

Specimen JAX_1799848: postnatal adult; Ube2otm1.1(KOMP)Mbp/Ube2o+ (more )
Structure Level Pattern Image Note
TS28: heart Present JAX_1799848

Specimen JAX_1799849: postnatal adult; Ube2otm1.1(KOMP)Mbp/Ube2o+ (more )
Structure Level Pattern Image Note
TS28: aorta Present JAX_1799849

Specimen JAX_1799850: postnatal adult; Ube2otm1.1(KOMP)Mbp/Ube2o+ (more )
Structure Level Pattern Image Note
TS28: bone marrow Present JAX_1799850

Specimen JAX_1799851: postnatal adult; Ube2otm1.1(KOMP)Mbp/Ube2o+ (more )
Structure Level Pattern Image Note
TS28: skin Present JAX_1799851

Specimen JAX_1799852: postnatal adult; Ube2otm1.1(KOMP)Mbp/Ube2o+ (more )
Structure Level Pattern Image Note
TS28: white fat Present JAX_1799852

Specimen JAX_1799853: postnatal adult; Ube2otm1.1(KOMP)Mbp/Ube2o+ (more )
Structure Level Pattern Image Note
TS28: brown fat Present JAX_1799853

Specimen JAX_1799854: postnatal adult; Ube2otm1.1(KOMP)Mbp/Ube2o+ (more )
Structure Level Pattern Image Note
TS28: brain Present JAX_1799854

Specimen JAX_1799855: postnatal adult; Ube2otm1.1(KOMP)Mbp/Ube2o+ (more )
Structure Level Pattern Image Note
TS28: brainstem Present JAX_1799855

Specimen JAX_1799856: postnatal adult; Ube2otm1.1(KOMP)Mbp/Ube2o+ (more )
Structure Level Pattern Image Note
TS28: cerebral cortex Present JAX_1799856

Specimen JAX_1799857: postnatal adult; Ube2otm1.1(KOMP)Mbp/Ube2o+ (more )
Structure Level Pattern Image Note
TS28: cerebellum Present JAX_1799857

Specimen JAX_1799858: postnatal adult; Ube2otm1.1(KOMP)Mbp/Ube2o+ (more )
Structure Level Pattern Image Note
TS28: hippocampus Present JAX_1799858

Specimen JAX_1799859: postnatal adult; Ube2otm1.1(KOMP)Mbp/Ube2o+ (more )
Structure Level Pattern Image Note
TS28: thalamus Present JAX_1799859

Specimen JAX_1799860: postnatal adult; Ube2otm1.1(KOMP)Mbp/Ube2o+ (more )
Structure Level Pattern Image Note
TS28: midbrain Present JAX_1799860

Specimen JAX_1799861: postnatal adult; Ube2otm1.1(KOMP)Mbp/Ube2o+ (more )
Structure Level Pattern Image Note
TS28: hypothalamus Present JAX_1799861

Specimen JAX_1799862: postnatal adult; Ube2otm1.1(KOMP)Mbp/Ube2o+ (more )
Structure Level Pattern Image Note
TS28: olfactory lobe Present JAX_1799862

Specimen JAX_1799863: postnatal adult; Ube2otm1.1(KOMP)Mbp/Ube2o+ (more )
Structure Level Pattern Image Note
TS28: spinal cord Present JAX_1799863

Specimen JAX_1799864: postnatal adult; Ube2otm1.1(KOMP)Mbp/Ube2o+ (more )
Structure Level Pattern Image Note
TS28: peripheral nervous system Present JAX_1799864

Specimen JAX_1799865: postnatal adult; Ube2otm1.1(KOMP)Mbp/Ube2o+ (more )
Structure Level Pattern Image Note
TS28: eye Present JAX_1799865

Specimen JAX_1799866: postnatal adult; Ube2otm1.1(KOMP)Mbp/Ube2o+ (more )
Structure Level Pattern Image Note
TS28: trachea Present JAX_1799866

Specimen JAX_1799867: postnatal adult; Ube2otm1.1(KOMP)Mbp/Ube2o+ (more )
Structure Level Pattern Image Note
TS28: submandibular gland Present JAX_1799867

Specimen JAX_1799868: postnatal adult; Ube2otm1.1(KOMP)Mbp/Ube2o+ (more )
Structure Level Pattern Image Note
TS28: thyroid gland Present JAX_1799868

Specimen JAX_1799869: postnatal adult; Ube2otm1.1(KOMP)Mbp/Ube2o+ (more )
Structure Level Pattern Image Note
TS28: pituitary gland Present JAX_1799869

Specimen JAX_1799870: postnatal adult; Ube2otm1.1(KOMP)Mbp/Ube2o+ (more )
Structure Level Pattern Image Note
TS28: esophagus Present JAX_1799870

Specimen JAX_1799871: postnatal adult; Ube2otm1.1(KOMP)Mbp/Ube2o+ (more )
Structure Level Pattern Image Note
TS28: cartilage Present JAX_1799871


Contributing Projects:
Mouse Genome Database (MGD), Gene Expression Database (GXD), Mouse Models of Human Cancer database (MMHCdb) (formerly Mouse Tumor Biology (MTB)), Gene Ontology (GO)
Citing These Resources
Funding Information
Warranty Disclaimer, Privacy Notice, Licensing, & Copyright
Send questions and comments to User Support.
last database update
01/20/2026
MGI 6.24
The Jackson Laboratory