About   Help   FAQ
Gene Expression Data
Assay Details
Assay
Reference: J:228563 Koscielny G, et al., The International Mouse Phenotyping Consortium Web Portal, a unified point of access for knockout mice and related phenotyping data. Nucleic Acids Res. 2014 Jan;42(Database issue):D802-9
Assay type: In situ reporter (knock in)
MGI Accession ID: MGI:6692685
Gene symbol: Tmem104
Gene name: transmembrane protein 104
Reporter: lacZ
Direct Detection
Results
Specimen JAX_1470932: postnatal adult; Tmem104tm1.1(KOMP)Vlcg/Tmem104+ (more )
Structure Level Pattern Image Note
TS28: small intestine Present JAX_1470932

Specimen JAX_1470933: postnatal adult; Tmem104tm1.1(KOMP)Vlcg/Tmem104+ (more )
Structure Level Pattern Image Note
TS28: uterus Present JAX_1470933

Specimen JAX_1470935: postnatal adult; Tmem104tm1.1(KOMP)Vlcg/Tmem104+ (more )
Structure Level Pattern Image Note
TS28: oviduct Present JAX_1470935

Specimen JAX_1470936: postnatal adult; Tmem104tm1.1(KOMP)Vlcg/Tmem104+ (more )
Structure Level Pattern Image Note
TS28: ovary Present JAX_1470936

Specimen JAX_1470937: postnatal adult; Tmem104tm1.1(KOMP)Vlcg/Tmem104+ (more )
Structure Level Pattern Image Note
TS28: epididymis Present JAX_1470937

Specimen JAX_1470938: postnatal adult; Tmem104tm1.1(KOMP)Vlcg/Tmem104+ (more )
Structure Level Pattern Image Note
TS28: submandibular gland Present JAX_1470938

Specimen JAX_1470939: postnatal adult; Tmem104tm1.1(KOMP)Vlcg/Tmem104+ (more )
Structure Level Pattern Image Note
TS28: brainstem Present JAX_1470939

Specimen JAX_1470940: postnatal adult; Tmem104tm1.1(KOMP)Vlcg/Tmem104+ (more )
Structure Level Pattern Image Note
TS28: spleen Present JAX_1470940

Specimen JAX_1470941: postnatal adult; Tmem104tm1.1(KOMP)Vlcg/Tmem104+ (more )
Structure Level Pattern Image Note
TS28: thyroid gland Present JAX_1470941

Specimen JAX_1470942: postnatal adult; Tmem104tm1.1(KOMP)Vlcg/Tmem104+ (more )
Structure Level Pattern Image Note
TS28: large intestine Present JAX_1470942

Specimen JAX_1470943: postnatal adult; Tmem104tm1.1(KOMP)Vlcg/Tmem104+ (more )
Structure Level Pattern Image Note
TS28: trachea Present JAX_1470943

Specimen JAX_1470944: postnatal adult; Tmem104tm1.1(KOMP)Vlcg/Tmem104+ (more )
Structure Level Pattern Image Note
TS28: testis Present JAX_1470944

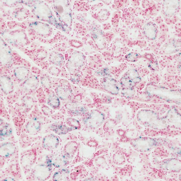
Specimen JAX_1470945: postnatal adult; Tmem104tm1.1(KOMP)Vlcg/Tmem104+ (more )
Structure Level Pattern Image Note
TS28: metanephros Present JAX_1470945 kidney


Contributing Projects:
Mouse Genome Database (MGD), Gene Expression Database (GXD), Mouse Models of Human Cancer database (MMHCdb) (formerly Mouse Tumor Biology (MTB)), Gene Ontology (GO)
Citing These Resources
Funding Information
Warranty Disclaimer, Privacy Notice, Licensing, & Copyright
Send questions and comments to User Support.
last database update
12/30/2025
MGI 6.24
The Jackson Laboratory