About   Help   FAQ
Gene Expression Data
Assay Details
Assay
Reference: J:228563 Koscielny G, et al., The International Mouse Phenotyping Consortium Web Portal, a unified point of access for knockout mice and related phenotyping data. Nucleic Acids Res. 2014 Jan;42(Database issue):D802-9
Assay type: In situ reporter (knock in)
MGI Accession ID: MGI:6692682
Gene symbol: Bhlha9
Gene name: basic helix-loop-helix family, member a9
Reporter: lacZ
Direct Detection
Results
Specimen UC Davis_1880324: postnatal adult; Bhlha9tm1.1(KOMP)Vlcg/Bhlha9+ (more )
Structure Level Pattern Image Note
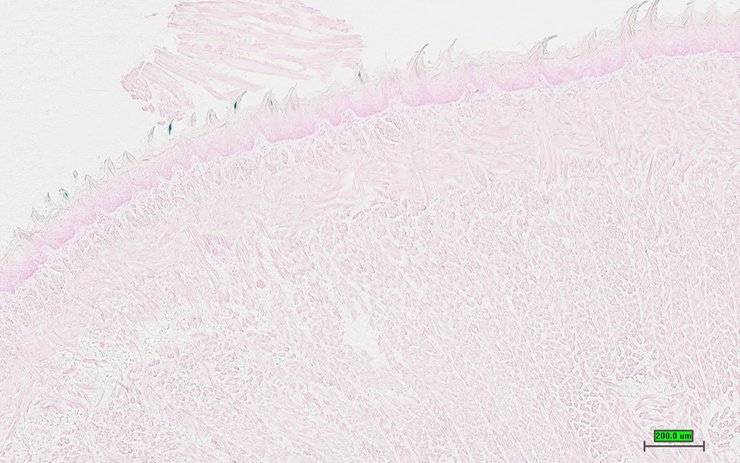
TS28: esophagus Present UC Davis_1880324

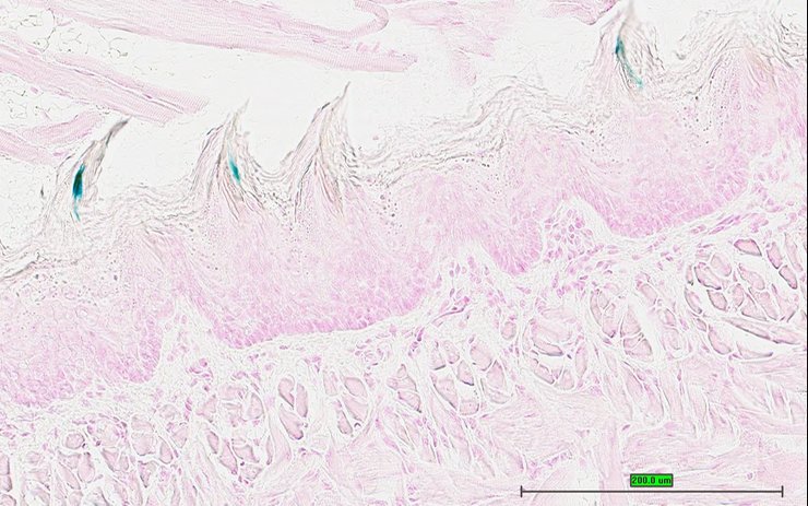
Specimen UC Davis_1880325: postnatal adult; Bhlha9tm1.1(KOMP)Vlcg/Bhlha9+ (more )
Structure Level Pattern Image Note
TS28: tongue Present UC Davis_1880325

Specimen UC Davis_1880326: postnatal adult; Bhlha9tm1.1(KOMP)Vlcg/Bhlha9+ (more )
Structure Level Pattern Image Note
TS28: tongue Present UC Davis_1880326

Specimen UC Davis_1880320: postnatal adult; Bhlha9tm1.1(KOMP)Vlcg/Bhlha9+ (more )
Structure Level Pattern Image Note
TS28: tongue Present UC Davis_1880320

Specimen UC Davis_1880321: postnatal adult; Bhlha9tm1.1(KOMP)Vlcg/Bhlha9+ (more )
Structure Level Pattern Image Note
TS28: epididymis Present UC Davis_1880321

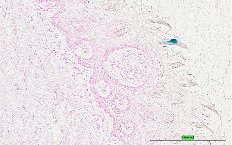
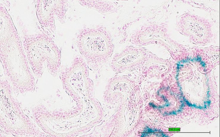
Specimen UC Davis_1880322: postnatal adult; Bhlha9tm1.1(KOMP)Vlcg/Bhlha9+ (more )
Structure Level Pattern Image Note
TS28: prostate gland Present UC Davis_1880322

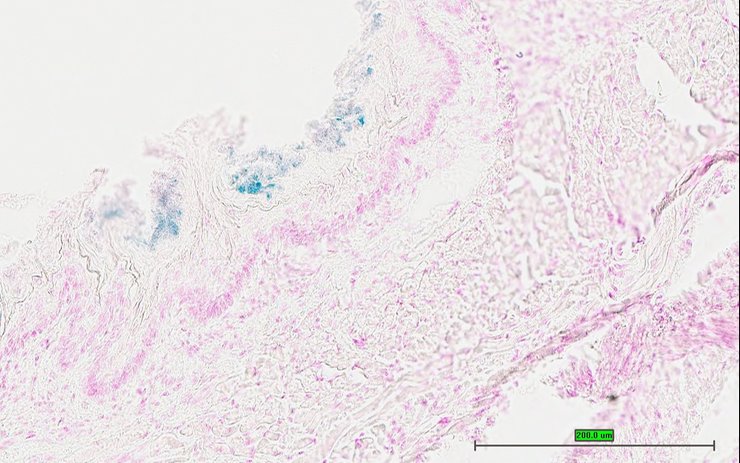
Specimen UC Davis_1880323: postnatal adult; Bhlha9tm1.1(KOMP)Vlcg/Bhlha9+ (more )
Structure Level Pattern Image Note
TS28: ductus deferens Present UC Davis_1880323 vas deferens


Contributing Projects:
Mouse Genome Database (MGD), Gene Expression Database (GXD), Mouse Models of Human Cancer database (MMHCdb) (formerly Mouse Tumor Biology (MTB)), Gene Ontology (GO)
Citing These Resources
Funding Information
Warranty Disclaimer, Privacy Notice, Licensing, & Copyright
Send questions and comments to User Support.
last database update
12/30/2025
MGI 6.24
The Jackson Laboratory