About   Help   FAQ
Gene Expression Data
Assay Details
Assay
Reference: J:228563 Koscielny G, et al., The International Mouse Phenotyping Consortium Web Portal, a unified point of access for knockout mice and related phenotyping data. Nucleic Acids Res. 2014 Jan;42(Database issue):D802-9
Assay type: In situ reporter (knock in)
MGI Accession ID: MGI:6692665
Gene symbol: Etfbkmt
Gene name: electron transfer flavoprotein beta subunit lysine methyltransferase
Reporter: lacZ
Direct Detection
Results
Specimen UC Davis_1853060: postnatal adult; Etfbkmttm1.1(KOMP)Vlcg/Etfbkmt+ (more )
Structure Level Pattern Image Note
TS28: metanephros Present UC Davis_1853060 kidney

Specimen UC Davis_1853061: postnatal adult; Etfbkmttm1.1(KOMP)Vlcg/Etfbkmt+ (more )
Structure Level Pattern Image Note
TS28: metanephros Present UC Davis_1853061 kidney

Specimen UC Davis_1853062: postnatal adult; Etfbkmttm1.1(KOMP)Vlcg/Etfbkmt+ (more )
Structure Level Pattern Image Note
TS28: metanephros Present UC Davis_1853062 kidney

Specimen UC Davis_1853065: postnatal adult; Etfbkmttm1.1(KOMP)Vlcg/Etfbkmt+ (more )
Structure Level Pattern Image Note
TS28: testis Present UC Davis_1853065

Specimen UC Davis_1853066: postnatal adult; Etfbkmttm1.1(KOMP)Vlcg/Etfbkmt+ (more )
Structure Level Pattern Image Note
TS28: testis Present UC Davis_1853066

Specimen UC Davis_1853067: postnatal adult; Etfbkmttm1.1(KOMP)Vlcg/Etfbkmt+ (more )
Structure Level Pattern Image Note
TS28: testis Present UC Davis_1853067

Specimen UC Davis_1853068: postnatal adult; Etfbkmttm1.1(KOMP)Vlcg/Etfbkmt+ (more )
Structure Level Pattern Image Note
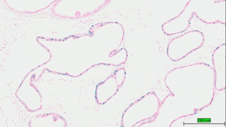
TS28: epididymis Present UC Davis_1853068

Specimen UC Davis_1853069: postnatal adult; Etfbkmttm1.1(KOMP)Vlcg/Etfbkmt+ (more )
Structure Level Pattern Image Note
TS28: epididymis Present UC Davis_1853069

Specimen UC Davis_1853070: postnatal adult; Etfbkmttm1.1(KOMP)Vlcg/Etfbkmt+ (more )
Structure Level Pattern Image Note
TS28: epididymis Present UC Davis_1853070

Specimen UC Davis_1853071: postnatal adult; Etfbkmttm1.1(KOMP)Vlcg/Etfbkmt+ (more )
Structure Level Pattern Image Note
TS28: prostate gland Present UC Davis_1853071

Specimen UC Davis_1853072: postnatal adult; Etfbkmttm1.1(KOMP)Vlcg/Etfbkmt+ (more )
Structure Level Pattern Image Note
TS28: prostate gland Present UC Davis_1853072

Specimen UC Davis_1853073: postnatal adult; Etfbkmttm1.1(KOMP)Vlcg/Etfbkmt+ (more )
Structure Level Pattern Image Note
TS28: prostate gland Present UC Davis_1853073

Specimen UC Davis_1853074: postnatal adult; Etfbkmttm1.1(KOMP)Vlcg/Etfbkmt+ (more )
Structure Level Pattern Image Note
TS28: ductus deferens Present UC Davis_1853074 vas deferens

Specimen UC Davis_1853075: postnatal adult; Etfbkmttm1.1(KOMP)Vlcg/Etfbkmt+ (more )
Structure Level Pattern Image Note
TS28: ductus deferens Present UC Davis_1853075 vas deferens

Specimen UC Davis_1853076: postnatal adult; Etfbkmttm1.1(KOMP)Vlcg/Etfbkmt+ (more )
Structure Level Pattern Image Note
TS28: ductus deferens Present UC Davis_1853076 vas deferens

Specimen UC Davis_1853077: postnatal adult; Etfbkmttm1.1(KOMP)Vlcg/Etfbkmt+ (more )
Structure Level Pattern Image Note
TS28: tongue Present UC Davis_1853077

Specimen UC Davis_1853078: postnatal adult; Etfbkmttm1.1(KOMP)Vlcg/Etfbkmt+ (more )
Structure Level Pattern Image Note
TS28: olfactory lobe Present UC Davis_1853078

Specimen UC Davis_1853081: postnatal adult; Etfbkmttm1.1(KOMP)Vlcg/Etfbkmt+ (more )
Structure Level Pattern Image Note
TS28: midbrain Present UC Davis_1853081

Specimen UC Davis_1853083: postnatal adult; Etfbkmttm1.1(KOMP)Vlcg/Etfbkmt+ (more )
Structure Level Pattern Image Note
TS28: brain Present UC Davis_1853083

Specimen UC Davis_1853085: postnatal adult; Etfbkmttm1.1(KOMP)Vlcg/Etfbkmt+ (more )
Structure Level Pattern Image Note
TS28: lung Present UC Davis_1853085

Specimen UC Davis_1853086: postnatal adult; Etfbkmttm1.1(KOMP)Vlcg/Etfbkmt+ (more )
Structure Level Pattern Image Note
TS28: lung Present UC Davis_1853086

Specimen UC Davis_1853088: postnatal adult; Etfbkmttm1.1(KOMP)Vlcg/Etfbkmt+ (more )
Structure Level Pattern Image Note
TS28: thymus Present UC Davis_1853088

Specimen UC Davis_1853089: postnatal adult; Etfbkmttm1.1(KOMP)Vlcg/Etfbkmt+ (more )
Structure Level Pattern Image Note
TS28: metanephros Present UC Davis_1853089 kidney

Specimen UC Davis_1853090: postnatal adult; Etfbkmttm1.1(KOMP)Vlcg/Etfbkmt+ (more )
Structure Level Pattern Image Note
TS28: liver Present UC Davis_1853090

Specimen UC Davis_1853091: postnatal adult; Etfbkmttm1.1(KOMP)Vlcg/Etfbkmt+ (more )
Structure Level Pattern Image Note
TS28: liver Present UC Davis_1853091

Specimen UC Davis_1853092: postnatal adult; Etfbkmttm1.1(KOMP)Vlcg/Etfbkmt+ (more )
Structure Level Pattern Image Note
TS28: trachea Present UC Davis_1853092

Specimen UC Davis_1853093: postnatal adult; Etfbkmttm1.1(KOMP)Vlcg/Etfbkmt+ (more )
Structure Level Pattern Image Note
TS28: spinal cord Present UC Davis_1853093

Specimen UC Davis_1853094: postnatal adult; Etfbkmttm1.1(KOMP)Vlcg/Etfbkmt+ (more )
Structure Level Pattern Image Note
TS28: pituitary gland Present UC Davis_1853094

Specimen UC Davis_1853095: postnatal adult; Etfbkmttm1.1(KOMP)Vlcg/Etfbkmt+ (more )
Structure Level Pattern Image Note
TS28: mesenteric lymph node Present UC Davis_1853095

Specimen UC Davis_1853096: postnatal adult; Etfbkmttm1.1(KOMP)Vlcg/Etfbkmt+ (more )
Structure Level Pattern Image Note
TS28: testis Present UC Davis_1853096

Specimen UC Davis_1853097: postnatal adult; Etfbkmttm1.1(KOMP)Vlcg/Etfbkmt+ (more )
Structure Level Pattern Image Note
TS28: epididymis Present UC Davis_1853097

Specimen UC Davis_1853100: postnatal adult; Etfbkmttm1.1(KOMP)Vlcg/Etfbkmt+ (more )
Structure Level Pattern Image Note
TS28: parathyroid gland Present UC Davis_1853100


Contributing Projects:
Mouse Genome Database (MGD), Gene Expression Database (GXD), Mouse Models of Human Cancer database (MMHCdb) (formerly Mouse Tumor Biology (MTB)), Gene Ontology (GO)
Citing These Resources
Funding Information
Warranty Disclaimer, Privacy Notice, Licensing, & Copyright
Send questions and comments to User Support.
last database update
01/20/2026
MGI 6.24
The Jackson Laboratory