About   Help   FAQ
Gene Expression Data
Assay Details
Assay
Reference: J:228563 Koscielny G, et al., The International Mouse Phenotyping Consortium Web Portal, a unified point of access for knockout mice and related phenotyping data. Nucleic Acids Res. 2014 Jan;42(Database issue):D802-9
Assay type: In situ reporter (knock in)
MGI Accession ID: MGI:6692655
Gene symbol: Lrch1
Gene name: leucine-rich repeats and calponin homology (CH) domain containing 1
Reporter: lacZ
Direct Detection
Results
Specimen JAX_1470164: embryonic day 12.5; Lrch1tm1b(EUCOMM)Hmgu/Lrch1+ (more )
Structure Level Pattern Image Note
TS20: embryo Present JAX_1470164

Specimen JAX_1470165: embryonic day 12.5; Lrch1tm1b(EUCOMM)Hmgu/Lrch1+ (more )
Structure Level Pattern Image Note
TS20: embryo Present JAX_1470165

Specimen JAX_1470166: embryonic day 12.5; Lrch1tm1b(EUCOMM)Hmgu/Lrch1+ (more )
Structure Level Pattern Image Note
TS20: embryo Present JAX_1470166

Specimen JAX_1470167: embryonic day 12.5; Lrch1tm1b(EUCOMM)Hmgu/Lrch1+ (more )
Structure Level Pattern Image Note
TS20: embryo Present JAX_1470167

Specimen JAX_927815: embryonic day 12.5; Lrch1tm1b(EUCOMM)Hmgu/Lrch1+ (more )
Structure Level Pattern Image Note
TS20: embryo Present JAX_927815

Specimen JAX_927817: embryonic day 12.5; Lrch1tm1b(EUCOMM)Hmgu/Lrch1+ (more )
Structure Level Pattern Image Note
TS20: embryo Present JAX_927817

Specimen JAX_927819: embryonic day 12.5; Lrch1tm1b(EUCOMM)Hmgu/Lrch1+ (more )
Structure Level Pattern Image Note
TS20: embryo Present JAX_927819

Specimen JAX_927821: embryonic day 12.5; Lrch1tm1b(EUCOMM)Hmgu/Lrch1+ (more )
Structure Level Pattern Image Note
TS20: embryo Present JAX_927821

Specimen JAX_1370998: postnatal adult; Lrch1tm1b(EUCOMM)Hmgu/Lrch1+ (more )
Structure Level Pattern Image Note
TS28: bladder Present JAX_1370998

Specimen JAX_1370999: postnatal adult; Lrch1tm1b(EUCOMM)Hmgu/Lrch1+ (more )
Structure Level Pattern Image Note
TS28: cerebellum Present JAX_1370999

Specimen JAX_1371000: postnatal adult; Lrch1tm1b(EUCOMM)Hmgu/Lrch1+ (more )
Structure Level Pattern Image Note
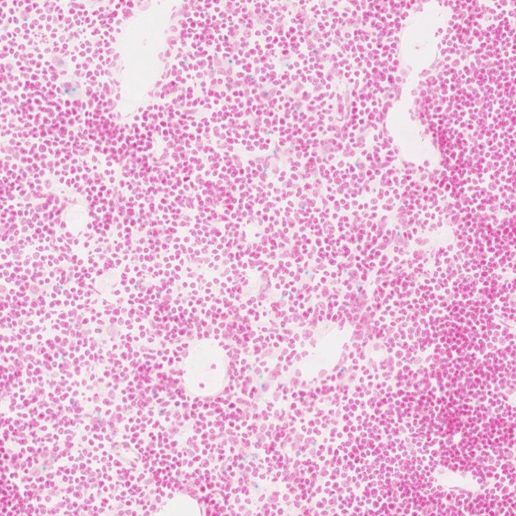
TS28: spleen Present JAX_1371000

Specimen JAX_1371001: postnatal adult; Lrch1tm1b(EUCOMM)Hmgu/Lrch1+ (more )
Structure Level Pattern Image Note
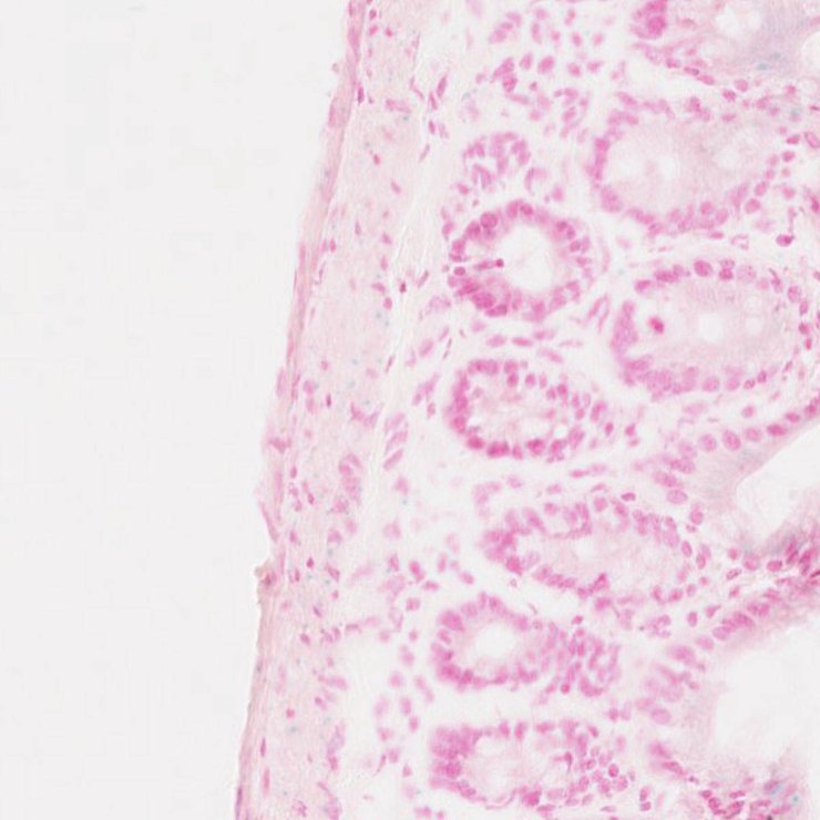
TS28: small intestine Present JAX_1371001

Specimen JAX_1371002: postnatal adult; Lrch1tm1b(EUCOMM)Hmgu/Lrch1+ (more )
Structure Level Pattern Image Note
TS28: spinal cord Present JAX_1371002

Specimen JAX_1371003: postnatal adult; Lrch1tm1b(EUCOMM)Hmgu/Lrch1+ (more )
Structure Level Pattern Image Note
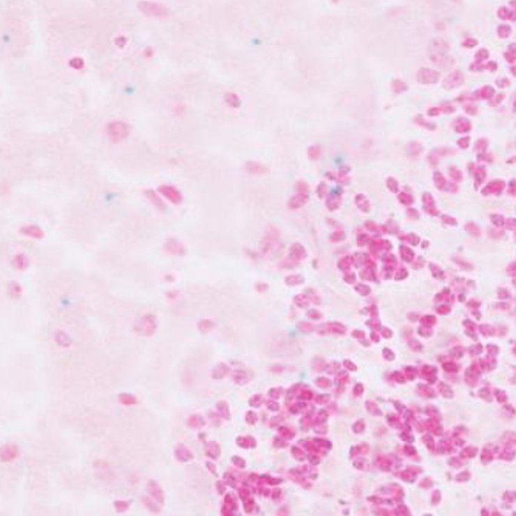
TS28: large intestine Present JAX_1371003

Specimen JAX_1371004: postnatal adult; Lrch1tm1b(EUCOMM)Hmgu/Lrch1+ (more )
Structure Level Pattern Image Note
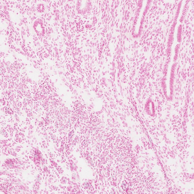
TS28: uterus Present JAX_1371004

Specimen JAX_1371005: postnatal adult; Lrch1tm1b(EUCOMM)Hmgu/Lrch1+ (more )
Structure Level Pattern Image Note
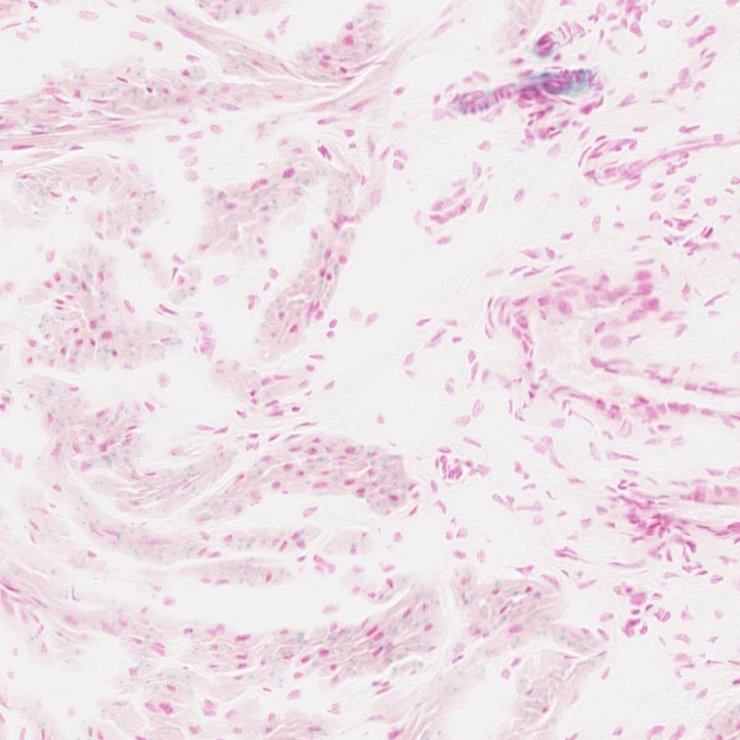
TS28: stomach Present JAX_1371005

Specimen JAX_1371006: postnatal adult; Lrch1tm1b(EUCOMM)Hmgu/Lrch1+ (more )
Structure Level Pattern Image Note
TS28: oviduct Present JAX_1371006

Specimen JAX_1371007: postnatal adult; Lrch1tm1b(EUCOMM)Hmgu/Lrch1+ (more )
Structure Level Pattern Image Note
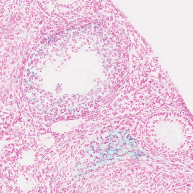
TS28: ovary Present JAX_1371007

Specimen JAX_1371008: postnatal adult; Lrch1tm1b(EUCOMM)Hmgu/Lrch1+ (more )
Structure Level Pattern Image Note
TS28: metanephros Present JAX_1371008 kidney

Specimen JAX_1370988: postnatal adult; Lrch1tm1b(EUCOMM)Hmgu/Lrch1+ (more )
Structure Level Pattern Image Note
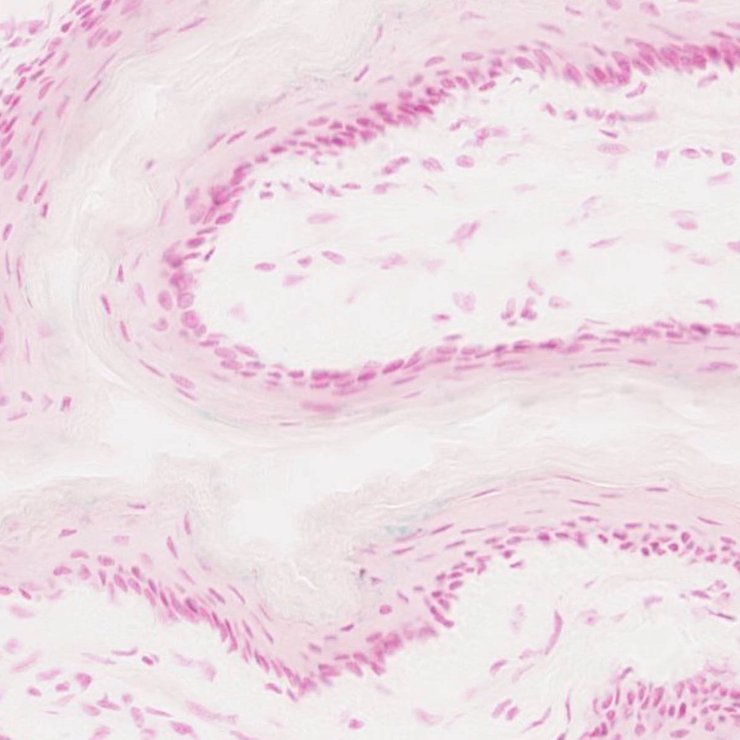
TS28: vascular system Present JAX_1370988

Specimen JAX_1370989: postnatal adult; Lrch1tm1b(EUCOMM)Hmgu/Lrch1+ (more )
Structure Level Pattern Image Note
TS28: epididymis Present JAX_1370989

Specimen JAX_1370990: postnatal adult; Lrch1tm1b(EUCOMM)Hmgu/Lrch1+ (more )
Structure Level Pattern Image Note
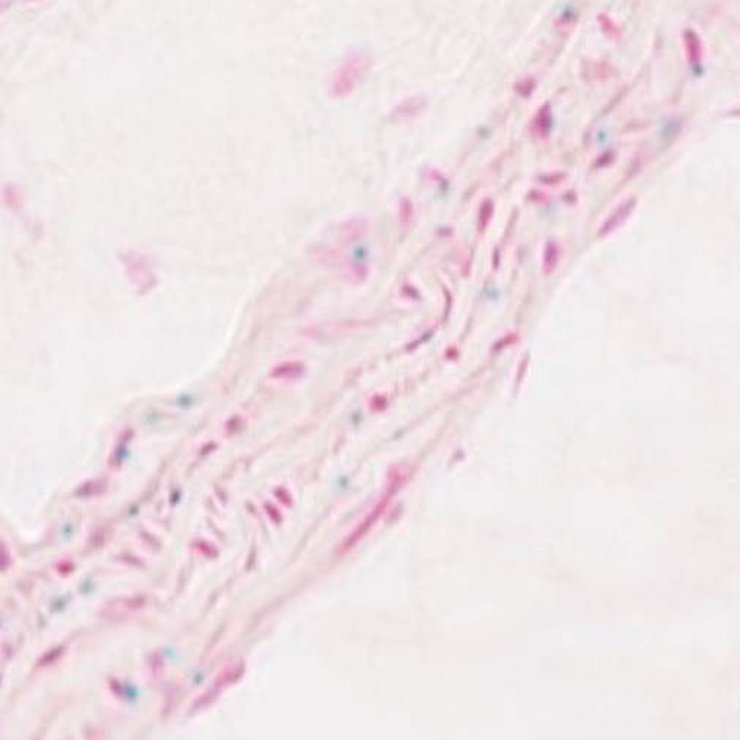
TS28: aorta Present JAX_1370990

Specimen JAX_1370991: postnatal adult; Lrch1tm1b(EUCOMM)Hmgu/Lrch1+ (more )
Structure Level Pattern Image Note
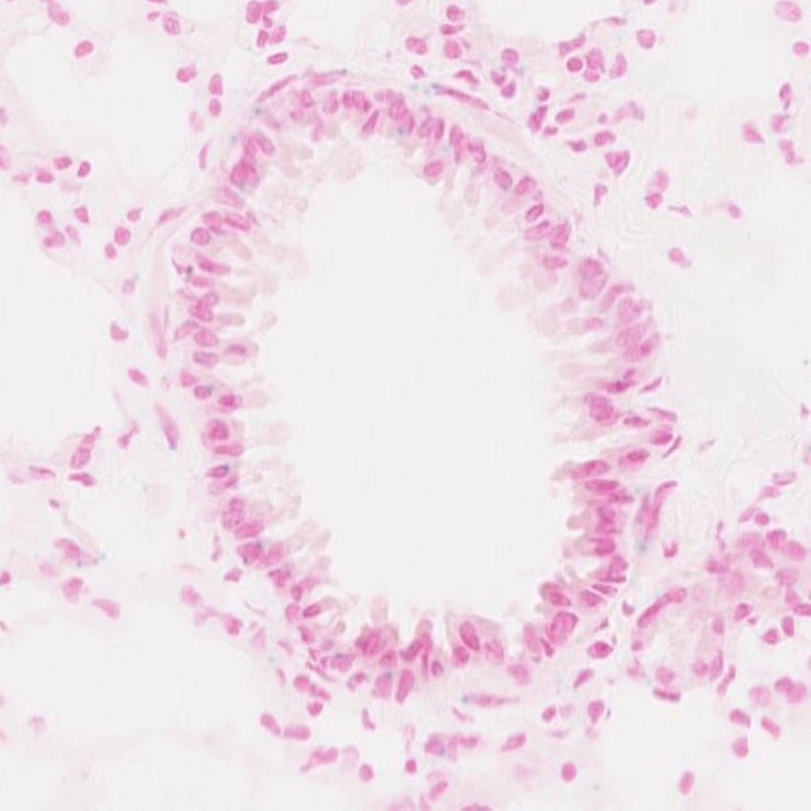
TS28: lung Present JAX_1370991

Specimen JAX_1370992: postnatal adult; Lrch1tm1b(EUCOMM)Hmgu/Lrch1+ (more )
Structure Level Pattern Image Note
TS28: esophagus Present JAX_1370992

Specimen JAX_1370993: postnatal adult; Lrch1tm1b(EUCOMM)Hmgu/Lrch1+ (more )
Structure Level Pattern Image Note
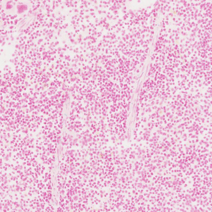
TS28: thymus Present JAX_1370993

Specimen JAX_1370994: postnatal adult; Lrch1tm1b(EUCOMM)Hmgu/Lrch1+ (more )
Structure Level Pattern Image Note
TS28: testis Present JAX_1370994

Specimen JAX_1370995: postnatal adult; Lrch1tm1b(EUCOMM)Hmgu/Lrch1+ (more )
Structure Level Pattern Image Note
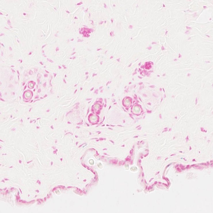
TS28: skin Present JAX_1370995

Specimen JAX_1370996: postnatal adult; Lrch1tm1b(EUCOMM)Hmgu/Lrch1+ (more )
Structure Level Pattern Image Note
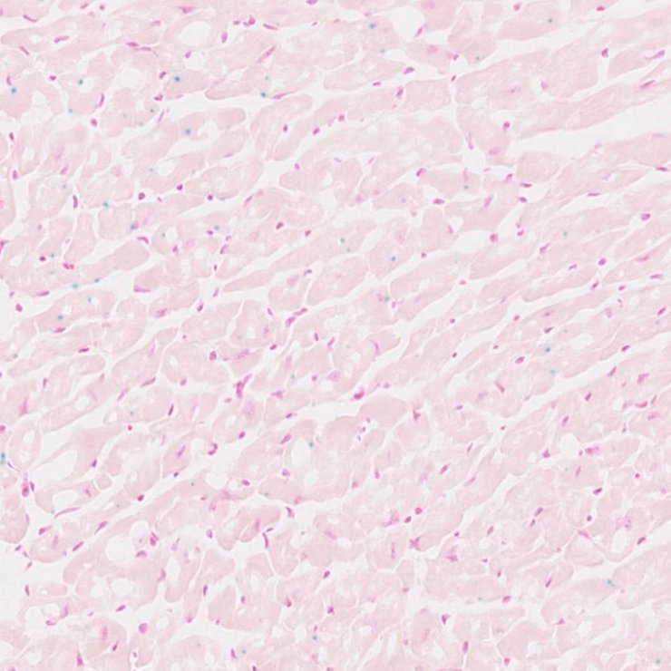
TS28: heart Present JAX_1370996

Specimen JAX_1370997: postnatal adult; Lrch1tm1b(EUCOMM)Hmgu/Lrch1+ (more )
Structure Level Pattern Image Note
TS28: eye Present JAX_1370997


Contributing Projects:
Mouse Genome Database (MGD), Gene Expression Database (GXD), Mouse Models of Human Cancer database (MMHCdb) (formerly Mouse Tumor Biology (MTB)), Gene Ontology (GO)
Citing These Resources
Funding Information
Warranty Disclaimer, Privacy Notice, Licensing, & Copyright
Send questions and comments to User Support.
last database update
12/30/2025
MGI 6.24
The Jackson Laboratory