About   Help   FAQ
Gene Expression Data
Assay Details
Assay
Reference: J:228563 Koscielny G, et al., The International Mouse Phenotyping Consortium Web Portal, a unified point of access for knockout mice and related phenotyping data. Nucleic Acids Res. 2014 Jan;42(Database issue):D802-9
Assay type: In situ reporter (knock in)
MGI Accession ID: MGI:6692653
Gene symbol: Slc38a11
Gene name: solute carrier family 38, member 11
Reporter: lacZ
Direct Detection
Results
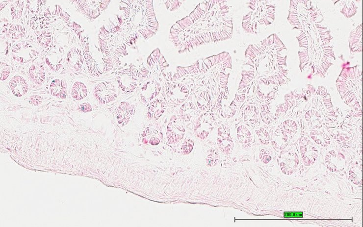
Specimen UC Davis_1889640: postnatal adult; Slc38a11tm2b(KOMP)Mbp/Slc38a11+ (more )
Structure Level Pattern Image Note
TS28: ileum Present UC Davis_1889640

Specimen UC Davis_1889641: postnatal adult; Slc38a11tm2b(KOMP)Mbp/Slc38a11+ (more )
Structure Level Pattern Image Note
TS28: tongue Absent UC Davis_1889641

Specimen UC Davis_1889646: postnatal adult; Slc38a11tm2b(KOMP)Mbp/Slc38a11+ (more )
Structure Level Pattern Image Note
TS28: midbrain Present UC Davis_1889646

Specimen UC Davis_1889647: postnatal adult; Slc38a11tm2b(KOMP)Mbp/Slc38a11+ (more )
Structure Level Pattern Image Note
TS28: midbrain Present UC Davis_1889647

Specimen UC Davis_1889648: postnatal adult; Slc38a11tm2b(KOMP)Mbp/Slc38a11+ (more )
Structure Level Pattern Image Note
TS28: cerebellum Present UC Davis_1889648

Specimen UC Davis_1889649: postnatal adult; Slc38a11tm2b(KOMP)Mbp/Slc38a11+ (more )
Structure Level Pattern Image Note
TS28: epididymis Present UC Davis_1889649

Specimen UC Davis_1889650: postnatal adult; Slc38a11tm2b(KOMP)Mbp/Slc38a11+ (more )
Structure Level Pattern Image Note
TS28: ductus deferens Present UC Davis_1889650 vas deferens


Contributing Projects:
Mouse Genome Database (MGD), Gene Expression Database (GXD), Mouse Models of Human Cancer database (MMHCdb) (formerly Mouse Tumor Biology (MTB)), Gene Ontology (GO)
Citing These Resources
Funding Information
Warranty Disclaimer, Privacy Notice, Licensing, & Copyright
Send questions and comments to User Support.
last database update
03/24/2026
MGI 6.24
The Jackson Laboratory