About   Help   FAQ
Gene Expression Data
Assay Details
Assay
Reference: J:228563 Koscielny G, et al., The International Mouse Phenotyping Consortium Web Portal, a unified point of access for knockout mice and related phenotyping data. Nucleic Acids Res. 2014 Jan;42(Database issue):D802-9
Assay type: In situ reporter (knock in)
MGI Accession ID: MGI:6692643
Gene symbol: Gramd1c
Gene name: GRAM domain containing 1C
Reporter: lacZ
Direct Detection
Results
Specimen JAX_1621760: postnatal adult; Gramd1ctm1b(KOMP)Wtsi/Gramd1c+ (more )
Structure Level Pattern Image Note
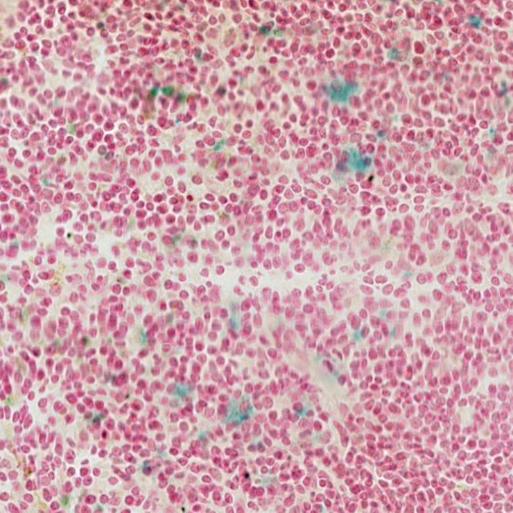
TS28: spleen Present JAX_1621760

Specimen JAX_1621761: postnatal adult; Gramd1ctm1b(KOMP)Wtsi/Gramd1c+ (more )
Structure Level Pattern Image Note
TS28: uterus Present JAX_1621761

Specimen JAX_1621762: postnatal adult; Gramd1ctm1b(KOMP)Wtsi/Gramd1c+ (more )
Structure Level Pattern Image Note
TS28: trachea Present JAX_1621762

Specimen JAX_1621763: postnatal adult; Gramd1ctm1b(KOMP)Wtsi/Gramd1c+ (more )
Structure Level Pattern Image Note
TS28: stomach Present JAX_1621763

Specimen JAX_1621764: postnatal adult; Gramd1ctm1b(KOMP)Wtsi/Gramd1c+ (more )
Structure Level Pattern Image Note
TS28: oviduct Present JAX_1621764

Specimen JAX_1621765: postnatal adult; Gramd1ctm1b(KOMP)Wtsi/Gramd1c+ (more )
Structure Level Pattern Image Note
TS28: ovary Present JAX_1621765

Specimen JAX_1621766: postnatal adult; Gramd1ctm1b(KOMP)Wtsi/Gramd1c+ (more )
Structure Level Pattern Image Note
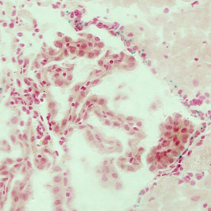
TS28: metanephros Present JAX_1621766 kidney

Specimen JAX_1621767: postnatal adult; Gramd1ctm1b(KOMP)Wtsi/Gramd1c+ (more )
Structure Level Pattern Image Note
TS28: brain Present JAX_1621767

Specimen JAX_1621752: postnatal adult; Gramd1ctm1b(KOMP)Wtsi/Gramd1c+ (more )
Structure Level Pattern Image Note
TS28: epididymis Present JAX_1621752

Specimen JAX_1621753: postnatal adult; Gramd1ctm1b(KOMP)Wtsi/Gramd1c+ (more )
Structure Level Pattern Image Note
TS28: submandibular gland Present JAX_1621753

Specimen JAX_1621754: postnatal adult; Gramd1ctm1b(KOMP)Wtsi/Gramd1c+ (more )
Structure Level Pattern Image Note
TS28: lung Present JAX_1621754

Specimen JAX_1621755: postnatal adult; Gramd1ctm1b(KOMP)Wtsi/Gramd1c+ (more )
Structure Level Pattern Image Note
TS28: small intestine Present JAX_1621755

Specimen JAX_1621756: postnatal adult; Gramd1ctm1b(KOMP)Wtsi/Gramd1c+ (more )
Structure Level Pattern Image Note
TS28: thyroid gland Present JAX_1621756

Specimen JAX_1621757: postnatal adult; Gramd1ctm1b(KOMP)Wtsi/Gramd1c+ (more )
Structure Level Pattern Image Note
TS28: large intestine Present JAX_1621757

Specimen JAX_1621758: postnatal adult; Gramd1ctm1b(KOMP)Wtsi/Gramd1c+ (more )
Structure Level Pattern Image Note
TS28: testis Present JAX_1621758

Specimen JAX_1621759: postnatal adult; Gramd1ctm1b(KOMP)Wtsi/Gramd1c+ (more )
Structure Level Pattern Image Note
TS28: skin Present JAX_1621759


Contributing Projects:
Mouse Genome Database (MGD), Gene Expression Database (GXD), Mouse Models of Human Cancer database (MMHCdb) (formerly Mouse Tumor Biology (MTB)), Gene Ontology (GO)
Citing These Resources
Funding Information
Warranty Disclaimer, Privacy Notice, Licensing, & Copyright
Send questions and comments to User Support.
last database update
01/20/2026
MGI 6.24
The Jackson Laboratory