About   Help   FAQ
Gene Expression Data
Assay Details
Assay
Reference: J:228563 Koscielny G, et al., The International Mouse Phenotyping Consortium Web Portal, a unified point of access for knockout mice and related phenotyping data. Nucleic Acids Res. 2014 Jan;42(Database issue):D802-9
Assay type: In situ reporter (knock in)
MGI Accession ID: MGI:6692623
Gene symbol: Lrfn3
Gene name: leucine rich repeat and fibronectin type III domain containing 3
Reporter: lacZ
Direct Detection
Results
Specimen UC Davis_1872524: postnatal adult; Lrfn3tm1.1(KOMP)Vlcg/Lrfn3+ (more )
Structure Level Pattern Image Note
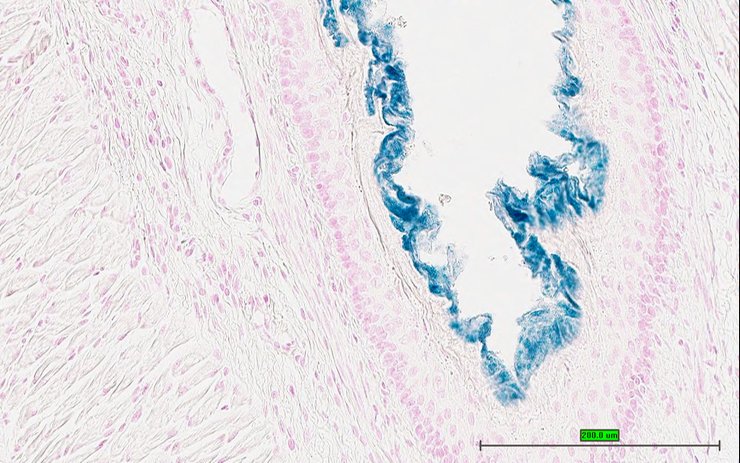
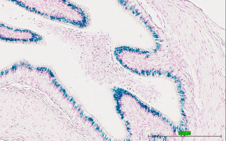
TS28: esophagus Present UC Davis_1872524

Specimen UC Davis_1872525: postnatal adult; Lrfn3tm1.1(KOMP)Vlcg/Lrfn3+ (more )
Structure Level Pattern Image Note
TS28: ileum Present UC Davis_1872525

Specimen UC Davis_1872526: postnatal adult; Lrfn3tm1.1(KOMP)Vlcg/Lrfn3+ (more )
Structure Level Pattern Image Note
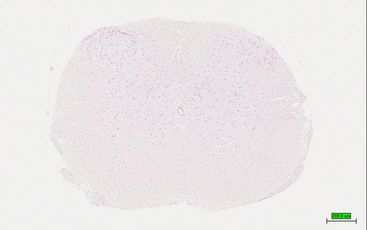
TS28: spinal cord Present UC Davis_1872526

Specimen UC Davis_1872527: postnatal adult; Lrfn3tm1.1(KOMP)Vlcg/Lrfn3+ (more )
Structure Level Pattern Image Note
TS28: spinal cord Present UC Davis_1872527

Specimen UC Davis_1872528: postnatal adult; Lrfn3tm1.1(KOMP)Vlcg/Lrfn3+ (more )
Structure Level Pattern Image Note
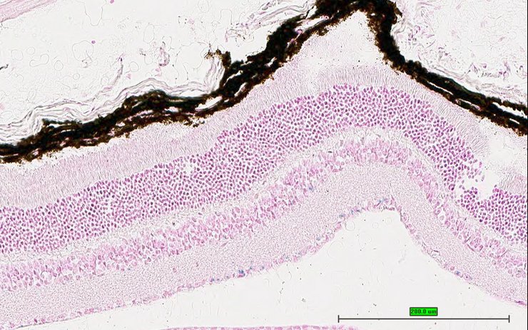
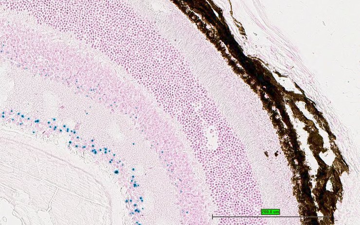
TS28: eye Present UC Davis_1872528

Specimen UC Davis_1872529: postnatal adult; Lrfn3tm1.1(KOMP)Vlcg/Lrfn3+ (more )
Structure Level Pattern Image Note
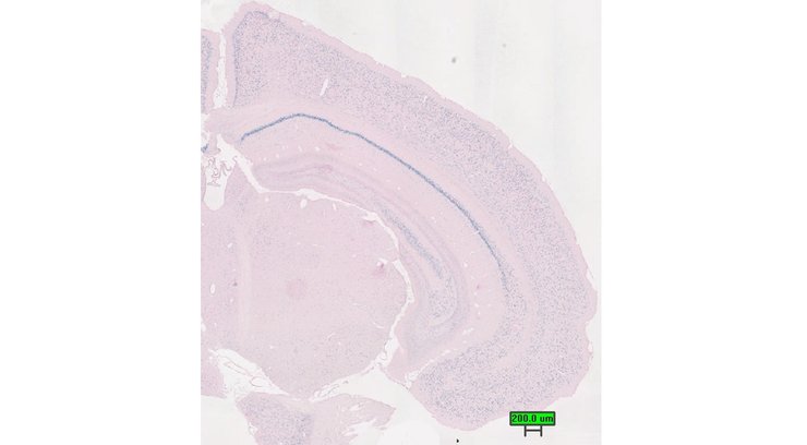
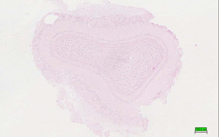
TS28: olfactory lobe Present UC Davis_1872529

Specimen UC Davis_1872532: postnatal adult; Lrfn3tm1.1(KOMP)Vlcg/Lrfn3+ (more )
Structure Level Pattern Image Note
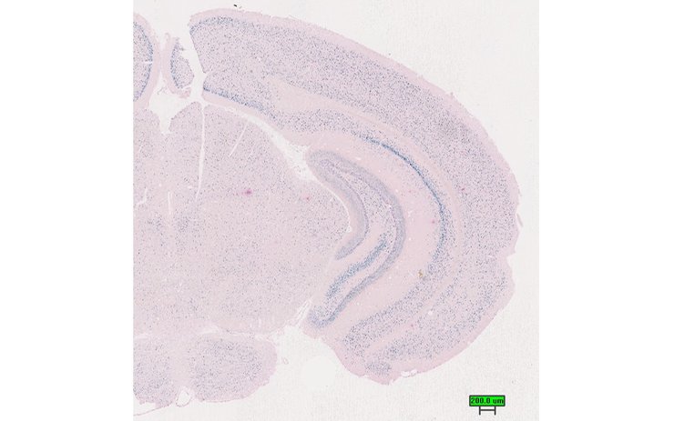
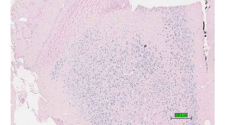
TS28: midbrain Present UC Davis_1872532

Specimen UC Davis_1872534: postnatal adult; Lrfn3tm1.1(KOMP)Vlcg/Lrfn3+ (more )
Structure Level Pattern Image Note
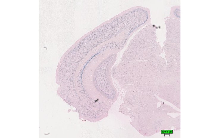
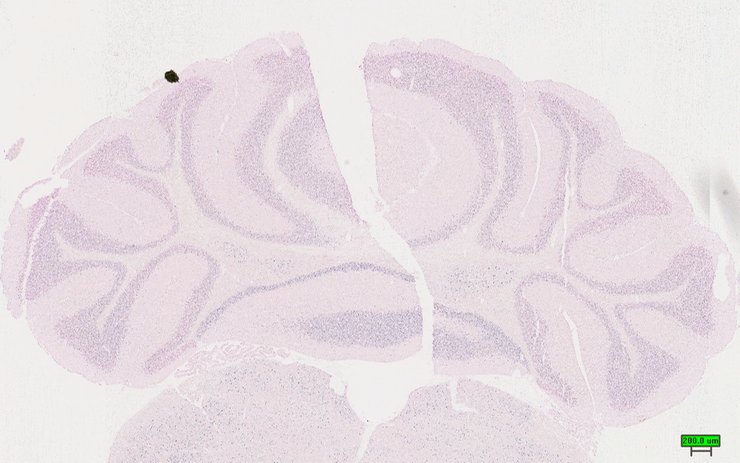
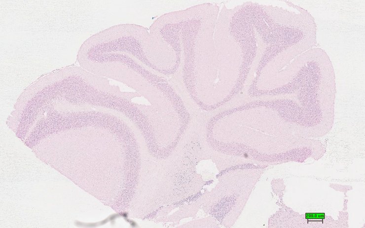
TS28: cerebellum Present UC Davis_1872534

Specimen UC Davis_1872535: postnatal adult; Lrfn3tm1.1(KOMP)Vlcg/Lrfn3+ (more )
Structure Level Pattern Image Note
TS28: trigeminal nerve Present UC Davis_1872535

Specimen UC Davis_1872493: postnatal adult; Lrfn3tm1.1(KOMP)Vlcg/Lrfn3+ (more )
Structure Level Pattern Image Note
TS28: spinal cord Present UC Davis_1872493

Specimen UC Davis_1872494: postnatal adult; Lrfn3tm1.1(KOMP)Vlcg/Lrfn3+ (more )
Structure Level Pattern Image Note
TS28: spinal cord Present UC Davis_1872494

Specimen UC Davis_1872495: postnatal adult; Lrfn3tm1.1(KOMP)Vlcg/Lrfn3+ (more )
Structure Level Pattern Image Note
TS28: eye Present UC Davis_1872495

Specimen UC Davis_1872496: postnatal adult; Lrfn3tm1.1(KOMP)Vlcg/Lrfn3+ (more )
Structure Level Pattern Image Note
TS28: olfactory lobe Present UC Davis_1872496

Specimen UC Davis_1872498: postnatal adult; Lrfn3tm1.1(KOMP)Vlcg/Lrfn3+ (more )
Structure Level Pattern Image Note
TS28: midbrain Present UC Davis_1872498

Specimen UC Davis_1872500: postnatal adult; Lrfn3tm1.1(KOMP)Vlcg/Lrfn3+ (more )
Structure Level Pattern Image Note
TS28: cerebellum Present UC Davis_1872500

Specimen UC Davis_1872501: postnatal adult; Lrfn3tm1.1(KOMP)Vlcg/Lrfn3+ (more )
Structure Level Pattern Image Note
TS28: trigeminal nerve Absent UC Davis_1872501

Specimen UC Davis_1872502: postnatal adult; Lrfn3tm1.1(KOMP)Vlcg/Lrfn3+ (more )
Structure Level Pattern Image Note
TS28: trigeminal nerve Absent UC Davis_1872502

Specimen UC Davis_1872503: postnatal adult; Lrfn3tm1.1(KOMP)Vlcg/Lrfn3+ (more )
Structure Level Pattern Image Note
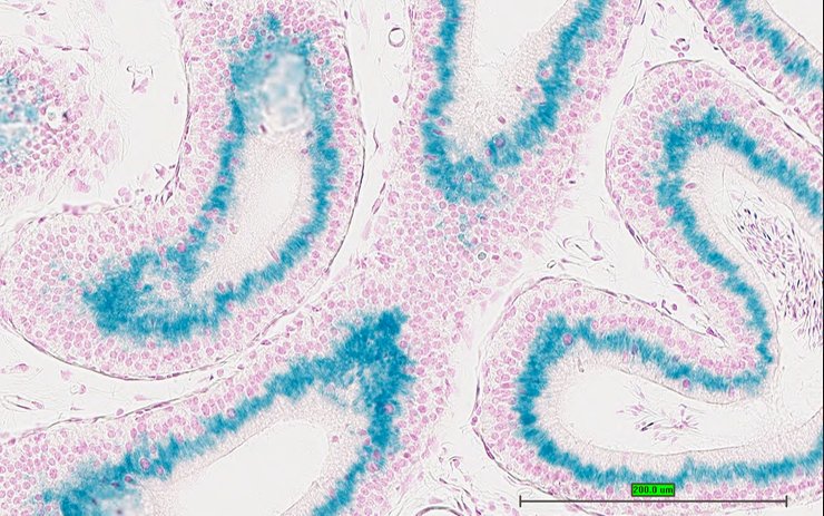
TS28: testis Present UC Davis_1872503

Specimen UC Davis_1872504: postnatal adult; Lrfn3tm1.1(KOMP)Vlcg/Lrfn3+ (more )
Structure Level Pattern Image Note
TS28: epididymis Present UC Davis_1872504

Specimen UC Davis_1872505: postnatal adult; Lrfn3tm1.1(KOMP)Vlcg/Lrfn3+ (more )
Structure Level Pattern Image Note
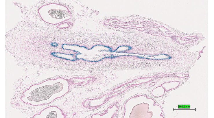
TS28: ductus deferens Present UC Davis_1872505 vas deferens

Specimen UC Davis_1872506: postnatal adult; Lrfn3tm1.1(KOMP)Vlcg/Lrfn3+ (more )
Structure Level Pattern Image Note
TS28: ductus deferens Present UC Davis_1872506 vas deferens

Specimen UC Davis_1872507: postnatal adult; Lrfn3tm1.1(KOMP)Vlcg/Lrfn3+ (more )
Structure Level Pattern Image Note
TS28: esophagus Present UC Davis_1872507

Specimen UC Davis_1872509: postnatal adult; Lrfn3tm1.1(KOMP)Vlcg/Lrfn3+ (more )
Structure Level Pattern Image Note
TS28: ileum Present UC Davis_1872509

Specimen UC Davis_1872510: postnatal adult; Lrfn3tm1.1(KOMP)Vlcg/Lrfn3+ (more )
Structure Level Pattern Image Note
TS28: spinal cord Present UC Davis_1872510

Specimen UC Davis_1872511: postnatal adult; Lrfn3tm1.1(KOMP)Vlcg/Lrfn3+ (more )
Structure Level Pattern Image Note
TS28: spinal cord Present UC Davis_1872511

Specimen UC Davis_1872512: postnatal adult; Lrfn3tm1.1(KOMP)Vlcg/Lrfn3+ (more )
Structure Level Pattern Image Note
TS28: eye Present UC Davis_1872512

Specimen UC Davis_1872513: postnatal adult; Lrfn3tm1.1(KOMP)Vlcg/Lrfn3+ (more )
Structure Level Pattern Image Note
TS28: olfactory lobe Present UC Davis_1872513

Specimen UC Davis_1872517: postnatal adult; Lrfn3tm1.1(KOMP)Vlcg/Lrfn3+ (more )
Structure Level Pattern Image Note
TS28: midbrain Present UC Davis_1872517

Specimen UC Davis_1872519: postnatal adult; Lrfn3tm1.1(KOMP)Vlcg/Lrfn3+ (more )
Structure Level Pattern Image Note
TS28: cerebellum Present UC Davis_1872519

Specimen UC Davis_1872520: postnatal adult; Lrfn3tm1.1(KOMP)Vlcg/Lrfn3+ (more )
Structure Level Pattern Image Note
TS28: trigeminal nerve Present UC Davis_1872520

Specimen UC Davis_1872521: postnatal adult; Lrfn3tm1.1(KOMP)Vlcg/Lrfn3+ (more )
Structure Level Pattern Image Note
TS28: testis Present UC Davis_1872521

Specimen UC Davis_1872522: postnatal adult; Lrfn3tm1.1(KOMP)Vlcg/Lrfn3+ (more )
Structure Level Pattern Image Note
TS28: epididymis Present UC Davis_1872522

Specimen UC Davis_1872523: postnatal adult; Lrfn3tm1.1(KOMP)Vlcg/Lrfn3+ (more )
Structure Level Pattern Image Note
TS28: ductus deferens Present UC Davis_1872523 vas deferens


Contributing Projects:
Mouse Genome Database (MGD), Gene Expression Database (GXD), Mouse Models of Human Cancer database (MMHCdb) (formerly Mouse Tumor Biology (MTB)), Gene Ontology (GO)
Citing These Resources
Funding Information
Warranty Disclaimer, Privacy Notice, Licensing, & Copyright
Send questions and comments to User Support.
last database update
01/20/2026
MGI 6.24
The Jackson Laboratory