About   Help   FAQ
Gene Expression Data
Assay Details
Assay
Reference: J:228563 Koscielny G, et al., The International Mouse Phenotyping Consortium Web Portal, a unified point of access for knockout mice and related phenotyping data. Nucleic Acids Res. 2014 Jan;42(Database issue):D802-9
Assay type: In situ reporter (knock in)
MGI Accession ID: MGI:6692622
Gene symbol: Podxl2
Gene name: podocalyxin-like 2
Reporter: lacZ
Direct Detection
Results
Specimen UC Davis_1874579: postnatal adult; Podxl2tm1.1(KOMP)Vlcg/Podxl2+ (more )
Structure Level Pattern Image Note
TS28: ileum Present UC Davis_1874579

Specimen UC Davis_1874580: postnatal adult; Podxl2tm1.1(KOMP)Vlcg/Podxl2+ (more )
Structure Level Pattern Image Note
TS28: spinal cord Present UC Davis_1874580

Specimen UC Davis_1874581: postnatal adult; Podxl2tm1.1(KOMP)Vlcg/Podxl2+ (more )
Structure Level Pattern Image Note
TS28: eye Present UC Davis_1874581

Specimen UC Davis_1874582: postnatal adult; Podxl2tm1.1(KOMP)Vlcg/Podxl2+ (more )
Structure Level Pattern Image Note
TS28: olfactory lobe Present UC Davis_1874582

Specimen UC Davis_1874584: postnatal adult; Podxl2tm1.1(KOMP)Vlcg/Podxl2+ (more )
Structure Level Pattern Image Note
TS28: midbrain Present UC Davis_1874584

Specimen UC Davis_1874563: postnatal adult; Podxl2tm1.1(KOMP)Vlcg/Podxl2+ (more )
Structure Level Pattern Image Note
TS28: esophagus Present UC Davis_1874563

Specimen UC Davis_1874565: postnatal adult; Podxl2tm1.1(KOMP)Vlcg/Podxl2+ (more )
Structure Level Pattern Image Note
TS28: ileum Present UC Davis_1874565

Specimen UC Davis_1874566: postnatal adult; Podxl2tm1.1(KOMP)Vlcg/Podxl2+ (more )
Structure Level Pattern Image Note
TS28: spinal cord Present UC Davis_1874566

Specimen UC Davis_1874567: postnatal adult; Podxl2tm1.1(KOMP)Vlcg/Podxl2+ (more )
Structure Level Pattern Image Note
TS28: spinal cord Present UC Davis_1874567

Specimen UC Davis_1874568: postnatal adult; Podxl2tm1.1(KOMP)Vlcg/Podxl2+ (more )
Structure Level Pattern Image Note
TS28: eye Present UC Davis_1874568

Specimen UC Davis_1874569: postnatal adult; Podxl2tm1.1(KOMP)Vlcg/Podxl2+ (more )
Structure Level Pattern Image Note
TS28: eye Present UC Davis_1874569

Specimen UC Davis_1874570: postnatal adult; Podxl2tm1.1(KOMP)Vlcg/Podxl2+ (more )
Structure Level Pattern Image Note
TS28: olfactory lobe Present UC Davis_1874570

Specimen UC Davis_1874573: postnatal adult; Podxl2tm1.1(KOMP)Vlcg/Podxl2+ (more )
Structure Level Pattern Image Note
TS28: midbrain Present UC Davis_1874573

Specimen UC Davis_1874575: postnatal adult; Podxl2tm1.1(KOMP)Vlcg/Podxl2+ (more )
Structure Level Pattern Image Note
TS28: cerebellum Present UC Davis_1874575

Specimen UC Davis_1874576: postnatal adult; Podxl2tm1.1(KOMP)Vlcg/Podxl2+ (more )
Structure Level Pattern Image Note
TS28: epididymis Present UC Davis_1874576

Specimen UC Davis_1874577: postnatal adult; Podxl2tm1.1(KOMP)Vlcg/Podxl2+ (more )
Structure Level Pattern Image Note
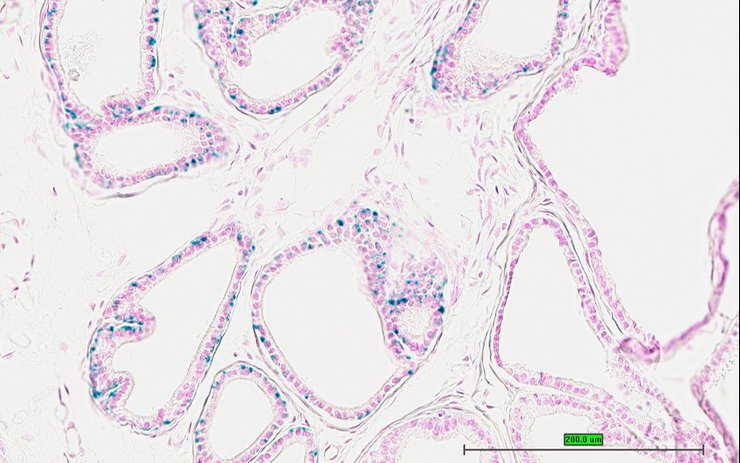
TS28: prostate gland Present UC Davis_1874577

Specimen UC Davis_1874578: postnatal adult; Podxl2tm1.1(KOMP)Vlcg/Podxl2+ (more )
Structure Level Pattern Image Note
TS28: ductus deferens Present UC Davis_1874578 vas deferens


Contributing Projects:
Mouse Genome Database (MGD), Gene Expression Database (GXD), Mouse Models of Human Cancer database (MMHCdb) (formerly Mouse Tumor Biology (MTB)), Gene Ontology (GO)
Citing These Resources
Funding Information
Warranty Disclaimer, Privacy Notice, Licensing, & Copyright
Send questions and comments to User Support.
last database update
01/20/2026
MGI 6.24
The Jackson Laboratory