About   Help   FAQ
Gene Expression Data
Assay Details
Assay
Reference: J:228563 Koscielny G, et al., The International Mouse Phenotyping Consortium Web Portal, a unified point of access for knockout mice and related phenotyping data. Nucleic Acids Res. 2014 Jan;42(Database issue):D802-9
Assay type: In situ reporter (knock in)
MGI Accession ID: MGI:6692620
Gene symbol: Syne3
Gene name: spectrin repeat containing, nuclear envelope family member 3
Reporter: lacZ
Direct Detection
Results
Specimen UC Davis_1858391: postnatal adult; Syne3tm1b(KOMP)Wtsi/Syne3+ (more )
Structure Level Pattern Image Note
TS28: sublingual gland Present UC Davis_1858391

Specimen UC Davis_1858392: postnatal adult; Syne3tm1b(KOMP)Wtsi/Syne3+ (more )
Structure Level Pattern Image Note
TS28: aorta Present UC Davis_1858392

Specimen UC Davis_1858395: postnatal adult; Syne3tm1b(KOMP)Wtsi/Syne3+ (more )
Structure Level Pattern Image Note
TS28: stomach Present UC Davis_1858395

Specimen UC Davis_1858396: postnatal adult; Syne3tm1b(KOMP)Wtsi/Syne3+ (more )
Structure Level Pattern Image Note
TS28: ileum Present UC Davis_1858396

Specimen UC Davis_1858397: postnatal adult; Syne3tm1b(KOMP)Wtsi/Syne3+ (more )
Structure Level Pattern Image Note
TS28: spleen Present UC Davis_1858397

Specimen UC Davis_1858398: postnatal adult; Syne3tm1b(KOMP)Wtsi/Syne3+ (more )
Structure Level Pattern Image Note
TS28: spleen Present UC Davis_1858398

Specimen UC Davis_1858399: postnatal adult; Syne3tm1b(KOMP)Wtsi/Syne3+ (more )
Structure Level Pattern Image Note
TS28: metanephros Present UC Davis_1858399 kidney

Specimen UC Davis_1858400: postnatal adult; Syne3tm1b(KOMP)Wtsi/Syne3+ (more )
Structure Level Pattern Image Note
TS28: metanephros Present UC Davis_1858400 kidney

Specimen UC Davis_1858401: postnatal adult; Syne3tm1b(KOMP)Wtsi/Syne3+ (more )
Structure Level Pattern Image Note
TS28: metanephros Present UC Davis_1858401 kidney

Specimen UC Davis_1858402: postnatal adult; Syne3tm1b(KOMP)Wtsi/Syne3+ (more )
Structure Level Pattern Image Note
TS28: metanephros Present UC Davis_1858402 kidney

Specimen UC Davis_1858403: postnatal adult; Syne3tm1b(KOMP)Wtsi/Syne3+ (more )
Structure Level Pattern Image Note
TS28: metanephros Present UC Davis_1858403 kidney

Specimen UC Davis_1858404: postnatal adult; Syne3tm1b(KOMP)Wtsi/Syne3+ (more )
Structure Level Pattern Image Note
TS28: quadriceps femoris muscle Present UC Davis_1858404

Specimen UC Davis_1858405: postnatal adult; Syne3tm1b(KOMP)Wtsi/Syne3+ (more )
Structure Level Pattern Image Note
TS28: quadriceps femoris muscle Present UC Davis_1858405

Specimen UC Davis_1858406: postnatal adult; Syne3tm1b(KOMP)Wtsi/Syne3+ (more )
Structure Level Pattern Image Note
TS28: sciatic nerve Present UC Davis_1858406

Specimen UC Davis_1858407: postnatal adult; Syne3tm1b(KOMP)Wtsi/Syne3+ (more )
Structure Level Pattern Image Note
TS28: tongue Present UC Davis_1858407

Specimen UC Davis_1858408: postnatal adult; Syne3tm1b(KOMP)Wtsi/Syne3+ (more )
Structure Level Pattern Image Note
TS28: tongue Present UC Davis_1858408

Specimen UC Davis_1858409: postnatal adult; Syne3tm1b(KOMP)Wtsi/Syne3+ (more )
Structure Level Pattern Image Note
TS28: tongue Present UC Davis_1858409

Specimen UC Davis_1858410: postnatal adult; Syne3tm1b(KOMP)Wtsi/Syne3+ (more )
Structure Level Pattern Image Note
TS28: pituitary gland Present UC Davis_1858410

Specimen UC Davis_1858411: postnatal adult; Syne3tm1b(KOMP)Wtsi/Syne3+ (more )
Structure Level Pattern Image Note
TS28: spinal cord Present UC Davis_1858411

Specimen UC Davis_1858412: postnatal adult; Syne3tm1b(KOMP)Wtsi/Syne3+ (more )
Structure Level Pattern Image Note
TS28: spinal cord Present UC Davis_1858412

Specimen UC Davis_1858413: postnatal adult; Syne3tm1b(KOMP)Wtsi/Syne3+ (more )
Structure Level Pattern Image Note
TS28: gonadal fat pad Present UC Davis_1858413

Specimen UC Davis_1858414: postnatal adult; Syne3tm1b(KOMP)Wtsi/Syne3+ (more )
Structure Level Pattern Image Note
TS28: gonadal fat pad Present UC Davis_1858414

Specimen UC Davis_1858415: postnatal adult; Syne3tm1b(KOMP)Wtsi/Syne3+ (more )
Structure Level Pattern Image Note
TS28: skin Present UC Davis_1858415

Specimen UC Davis_1858416: postnatal adult; Syne3tm1b(KOMP)Wtsi/Syne3+ (more )
Structure Level Pattern Image Note
TS28: skin Present UC Davis_1858416

Specimen UC Davis_1858417: postnatal adult; Syne3tm1b(KOMP)Wtsi/Syne3+ (more )
Structure Level Pattern Image Note
TS28: skin Present UC Davis_1858417

Specimen UC Davis_1858422: postnatal adult; Syne3tm1b(KOMP)Wtsi/Syne3+ (more )
Structure Level Pattern Image Note
TS28: midbrain Present UC Davis_1858422

Specimen UC Davis_1858423: postnatal adult; Syne3tm1b(KOMP)Wtsi/Syne3+ (more )
Structure Level Pattern Image Note
TS28: midbrain Present UC Davis_1858423

Specimen UC Davis_1858424: postnatal adult; Syne3tm1b(KOMP)Wtsi/Syne3+ (more )
Structure Level Pattern Image Note
TS28: midbrain Present UC Davis_1858424

Specimen UC Davis_1858427: postnatal adult; Syne3tm1b(KOMP)Wtsi/Syne3+ (more )
Structure Level Pattern Image Note
TS28: cerebellum Present UC Davis_1858427

Specimen UC Davis_1858428: postnatal adult; Syne3tm1b(KOMP)Wtsi/Syne3+ (more )
Structure Level Pattern Image Note
TS28: cerebellum Present UC Davis_1858428

Specimen UC Davis_1858429: postnatal adult; Syne3tm1b(KOMP)Wtsi/Syne3+ (more )
Structure Level Pattern Image Note
TS28: trigeminal nerve Present UC Davis_1858429

Specimen UC Davis_1858430: postnatal adult; Syne3tm1b(KOMP)Wtsi/Syne3+ (more )
Structure Level Pattern Image Note
TS28: trigeminal nerve Present UC Davis_1858430

Specimen UC Davis_1858431: postnatal adult; Syne3tm1b(KOMP)Wtsi/Syne3+ (more )
Structure Level Pattern Image Note
TS28: uterus Present UC Davis_1858431

Specimen UC Davis_1858432: postnatal adult; Syne3tm1b(KOMP)Wtsi/Syne3+ (more )
Structure Level Pattern Image Note
TS28: uterus Present UC Davis_1858432

Specimen UC Davis_1858433: postnatal adult; Syne3tm1b(KOMP)Wtsi/Syne3+ (more )
Structure Level Pattern Image Note
TS28: vagina Present UC Davis_1858433

Specimen UC Davis_1858434: postnatal adult; Syne3tm1b(KOMP)Wtsi/Syne3+ (more )
Structure Level Pattern Image Note
TS28: bladder Present UC Davis_1858434

Specimen UC Davis_1858502: postnatal adult; Syne3tm1b(KOMP)Wtsi/Syne3+ (more )
Structure Level Pattern Image Note
TS28: metanephros Present UC Davis_1858502 kidney

Specimen UC Davis_1858503: postnatal adult; Syne3tm1b(KOMP)Wtsi/Syne3+ (more )
Structure Level Pattern Image Note
TS28: ovary Present UC Davis_1858503

Specimen UC Davis_1858504: postnatal adult; Syne3tm1b(KOMP)Wtsi/Syne3+ (more )
Structure Level Pattern Image Note
TS28: parathyroid gland Present UC Davis_1858504

Specimen UC Davis_1858435: postnatal adult; Syne3tm1b(KOMP)Wtsi/Syne3+ (more )
Structure Level Pattern Image Note
TS28: sublingual gland Present UC Davis_1858435

Specimen UC Davis_1858436: postnatal adult; Syne3tm1b(KOMP)Wtsi/Syne3+ (more )
Structure Level Pattern Image Note
TS28: trachea Present UC Davis_1858436

Specimen UC Davis_1858439: postnatal adult; Syne3tm1b(KOMP)Wtsi/Syne3+ (more )
Structure Level Pattern Image Note
TS28: parathyroid gland Present UC Davis_1858439

Specimen UC Davis_1858440: postnatal adult; Syne3tm1b(KOMP)Wtsi/Syne3+ (more )
Structure Level Pattern Image Note
TS28: aorta Present UC Davis_1858440

Specimen UC Davis_1858441: postnatal adult; Syne3tm1b(KOMP)Wtsi/Syne3+ (more )
Structure Level Pattern Image Note
TS28: lung Present UC Davis_1858441

Specimen UC Davis_1858442: postnatal adult; Syne3tm1b(KOMP)Wtsi/Syne3+ (more )
Structure Level Pattern Image Note
TS28: thymus Present UC Davis_1858442

Specimen UC Davis_1858445: postnatal adult; Syne3tm1b(KOMP)Wtsi/Syne3+ (more )
Structure Level Pattern Image Note
TS28: ileum Present UC Davis_1858445

Specimen UC Davis_1858446: postnatal adult; Syne3tm1b(KOMP)Wtsi/Syne3+ (more )
Structure Level Pattern Image Note
TS28: ileum Present UC Davis_1858446

Specimen UC Davis_1858447: postnatal adult; Syne3tm1b(KOMP)Wtsi/Syne3+ (more )
Structure Level Pattern Image Note
TS28: spleen Present UC Davis_1858447

Specimen UC Davis_1858448: postnatal adult; Syne3tm1b(KOMP)Wtsi/Syne3+ (more )
Structure Level Pattern Image Note
TS28: pancreas Present UC Davis_1858448

Specimen UC Davis_1858449: postnatal adult; Syne3tm1b(KOMP)Wtsi/Syne3+ (more )
Structure Level Pattern Image Note
TS28: metanephros Present UC Davis_1858449 kidney

Specimen UC Davis_1858450: postnatal adult; Syne3tm1b(KOMP)Wtsi/Syne3+ (more )
Structure Level Pattern Image Note
TS28: metanephros Present UC Davis_1858450 kidney

Specimen UC Davis_1858451: postnatal adult; Syne3tm1b(KOMP)Wtsi/Syne3+ (more )
Structure Level Pattern Image Note
TS28: tongue Present UC Davis_1858451

Specimen UC Davis_1858452: postnatal adult; Syne3tm1b(KOMP)Wtsi/Syne3+ (more )
Structure Level Pattern Image Note
TS28: tongue Present UC Davis_1858452

Specimen UC Davis_1858453: postnatal adult; Syne3tm1b(KOMP)Wtsi/Syne3+ (more )
Structure Level Pattern Image Note
TS28: pituitary gland Present UC Davis_1858453

Specimen UC Davis_1858454: postnatal adult; Syne3tm1b(KOMP)Wtsi/Syne3+ (more )
Structure Level Pattern Image Note
TS28: pituitary gland Present UC Davis_1858454

Specimen UC Davis_1858455: postnatal adult; Syne3tm1b(KOMP)Wtsi/Syne3+ (more )
Structure Level Pattern Image Note
TS28: spinal cord Absent UC Davis_1858455

Specimen UC Davis_1858456: postnatal adult; Syne3tm1b(KOMP)Wtsi/Syne3+ (more )
Structure Level Pattern Image Note
TS28: spinal cord Absent UC Davis_1858456

Specimen UC Davis_1858457: postnatal adult; Syne3tm1b(KOMP)Wtsi/Syne3+ (more )
Structure Level Pattern Image Note
TS28: eye Present UC Davis_1858457

Specimen UC Davis_1858458: postnatal adult; Syne3tm1b(KOMP)Wtsi/Syne3+ (more )
Structure Level Pattern Image Note
TS28: eye Present UC Davis_1858458

Specimen UC Davis_1858459: postnatal adult; Syne3tm1b(KOMP)Wtsi/Syne3+ (more )
Structure Level Pattern Image Note
TS28: eye Present UC Davis_1858459

Specimen UC Davis_1858460: postnatal adult; Syne3tm1b(KOMP)Wtsi/Syne3+ (more )
Structure Level Pattern Image Note
TS28: skin Present UC Davis_1858460

Specimen UC Davis_1858461: postnatal adult; Syne3tm1b(KOMP)Wtsi/Syne3+ (more )
Structure Level Pattern Image Note
TS28: skin Present UC Davis_1858461

Specimen UC Davis_1858462: postnatal adult; Syne3tm1b(KOMP)Wtsi/Syne3+ (more )
Structure Level Pattern Image Note
TS28: skin Present UC Davis_1858462

Specimen UC Davis_1858464: postnatal adult; Syne3tm1b(KOMP)Wtsi/Syne3+ (more )
Structure Level Pattern Image Note
TS28: midbrain Present UC Davis_1858464

Specimen UC Davis_1858466: postnatal adult; Syne3tm1b(KOMP)Wtsi/Syne3+ (more )
Structure Level Pattern Image Note
TS28: cerebellum Present UC Davis_1858466

Specimen UC Davis_1858467: postnatal adult; Syne3tm1b(KOMP)Wtsi/Syne3+ (more )
Structure Level Pattern Image Note
TS28: trigeminal nerve Present UC Davis_1858467

Specimen UC Davis_1858468: postnatal adult; Syne3tm1b(KOMP)Wtsi/Syne3+ (more )
Structure Level Pattern Image Note
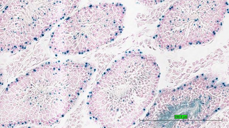
TS28: testis Present UC Davis_1858468

Specimen UC Davis_1858469: postnatal adult; Syne3tm1b(KOMP)Wtsi/Syne3+ (more )
Structure Level Pattern Image Note
TS28: testis Present UC Davis_1858469

Specimen UC Davis_1858470: postnatal adult; Syne3tm1b(KOMP)Wtsi/Syne3+ (more )
Structure Level Pattern Image Note
TS28: epididymis Present UC Davis_1858470

Specimen UC Davis_1858471: postnatal adult; Syne3tm1b(KOMP)Wtsi/Syne3+ (more )
Structure Level Pattern Image Note
TS28: prostate gland Present UC Davis_1858471

Specimen UC Davis_1858472: postnatal adult; Syne3tm1b(KOMP)Wtsi/Syne3+ (more )
Structure Level Pattern Image Note
TS28: prostate gland Present UC Davis_1858472

Specimen UC Davis_1858473: postnatal adult; Syne3tm1b(KOMP)Wtsi/Syne3+ (more )
Structure Level Pattern Image Note
TS28: penis Present UC Davis_1858473

Specimen UC Davis_1858474: postnatal adult; Syne3tm1b(KOMP)Wtsi/Syne3+ (more )
Structure Level Pattern Image Note
TS28: penis Present UC Davis_1858474

Specimen UC Davis_1858475: postnatal adult; Syne3tm1b(KOMP)Wtsi/Syne3+ (more )
Structure Level Pattern Image Note
TS28: ductus deferens Present UC Davis_1858475 vas deferens

Specimen UC Davis_1858478: postnatal adult; Syne3tm1b(KOMP)Wtsi/Syne3+ (more )
Structure Level Pattern Image Note
TS28: tongue Present UC Davis_1858478

Specimen UC Davis_1858479: postnatal adult; Syne3tm1b(KOMP)Wtsi/Syne3+ (more )
Structure Level Pattern Image Note
TS28: pancreas Present UC Davis_1858479

Specimen UC Davis_1858480: postnatal adult; Syne3tm1b(KOMP)Wtsi/Syne3+ (more )
Structure Level Pattern Image Note
TS28: olfactory lobe Present UC Davis_1858480

Specimen UC Davis_1858483: postnatal adult; Syne3tm1b(KOMP)Wtsi/Syne3+ (more )
Structure Level Pattern Image Note
TS28: midbrain Present UC Davis_1858483

Specimen UC Davis_1858485: postnatal adult; Syne3tm1b(KOMP)Wtsi/Syne3+ (more )
Structure Level Pattern Image Note
TS28: cerebellum Present UC Davis_1858485

Specimen UC Davis_1858486: postnatal adult; Syne3tm1b(KOMP)Wtsi/Syne3+ (more )
Structure Level Pattern Image Note
TS28: brain Present UC Davis_1858486

Specimen UC Davis_1858487: postnatal adult; Syne3tm1b(KOMP)Wtsi/Syne3+ (more )
Structure Level Pattern Image Note
TS28: lung Present UC Davis_1858487

Specimen UC Davis_1858488: postnatal adult; Syne3tm1b(KOMP)Wtsi/Syne3+ (more )
Structure Level Pattern Image Note
TS28: aorta Present UC Davis_1858488

Specimen UC Davis_1858490: postnatal adult; Syne3tm1b(KOMP)Wtsi/Syne3+ (more )
Structure Level Pattern Image Note
TS28: diaphragm Present UC Davis_1858490

Specimen UC Davis_1858491: postnatal adult; Syne3tm1b(KOMP)Wtsi/Syne3+ (more )
Structure Level Pattern Image Note
TS28: trachea Present UC Davis_1858491

Specimen UC Davis_1858492: postnatal adult; Syne3tm1b(KOMP)Wtsi/Syne3+ (more )
Structure Level Pattern Image Note
TS28: spinal cord Present UC Davis_1858492

Specimen UC Davis_1858493: postnatal adult; Syne3tm1b(KOMP)Wtsi/Syne3+ (more )
Structure Level Pattern Image Note
TS28: pituitary gland Present UC Davis_1858493

Specimen UC Davis_1858494: postnatal adult; Syne3tm1b(KOMP)Wtsi/Syne3+ (more )
Structure Level Pattern Image Note
TS28: eye Present UC Davis_1858494

Specimen UC Davis_1858495: postnatal adult; Syne3tm1b(KOMP)Wtsi/Syne3+ (more )
Structure Level Pattern Image Note
TS28: stomach Present UC Davis_1858495

Specimen UC Davis_1858496: postnatal adult; Syne3tm1b(KOMP)Wtsi/Syne3+ (more )
Structure Level Pattern Image Note
TS28: mesenteric adipose tissue Present UC Davis_1858496

Specimen UC Davis_1858497: postnatal adult; Syne3tm1b(KOMP)Wtsi/Syne3+ (more )
Structure Level Pattern Image Note
TS28: bladder Present UC Davis_1858497

Specimen UC Davis_1858498: postnatal adult; Syne3tm1b(KOMP)Wtsi/Syne3+ (more )
Structure Level Pattern Image Note
TS28: testis Present UC Davis_1858498

Specimen UC Davis_1858501: postnatal adult; Syne3tm1b(KOMP)Wtsi/Syne3+ (more )
Structure Level Pattern Image Note
TS28: thoracic segment skeleton Present UC Davis_1858501 chest bone


Contributing Projects:
Mouse Genome Database (MGD), Gene Expression Database (GXD), Mouse Models of Human Cancer database (MMHCdb) (formerly Mouse Tumor Biology (MTB)), Gene Ontology (GO)
Citing These Resources
Funding Information
Warranty Disclaimer, Privacy Notice, Licensing, & Copyright
Send questions and comments to User Support.
last database update
12/30/2025
MGI 6.24
The Jackson Laboratory