About   Help   FAQ
Gene Expression Data
Assay Details
Assay
Reference: J:228563 Koscielny G, et al., The International Mouse Phenotyping Consortium Web Portal, a unified point of access for knockout mice and related phenotyping data. Nucleic Acids Res. 2014 Jan;42(Database issue):D802-9
Assay type: In situ reporter (knock in)
MGI Accession ID: MGI:6692613
Gene symbol: N4bp3
Gene name: NEDD4 binding protein 3
Reporter: lacZ
Direct Detection
Results
Specimen UC Davis_1854956: postnatal adult; N4bp3tm1b(KOMP)Mbp/N4bp3+ (more )
Structure Level Pattern Image Note
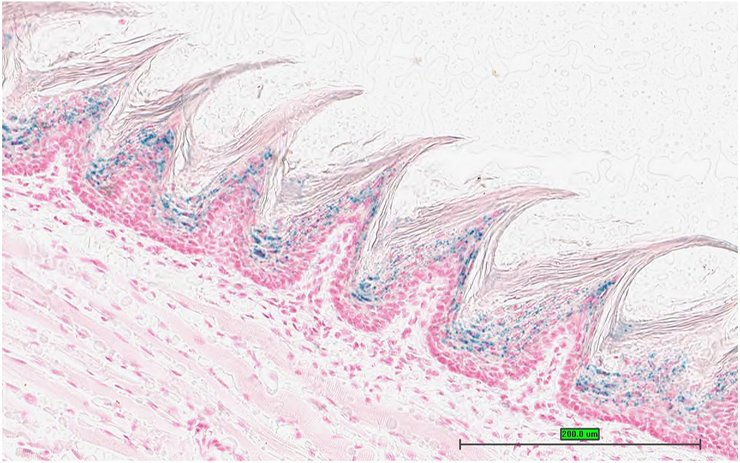
TS28: esophagus Present UC Davis_1854956

Specimen UC Davis_1854957: postnatal adult; N4bp3tm1b(KOMP)Mbp/N4bp3+ (more )
Structure Level Pattern Image Note
TS28: esophagus Present UC Davis_1854957

Specimen UC Davis_1854958: postnatal adult; N4bp3tm1b(KOMP)Mbp/N4bp3+ (more )
Structure Level Pattern Image Note
TS28: esophagus Present UC Davis_1854958

Specimen UC Davis_1854959: postnatal adult; N4bp3tm1b(KOMP)Mbp/N4bp3+ (more )
Structure Level Pattern Image Note
TS28: parathyroid gland Present UC Davis_1854959

Specimen UC Davis_1854960: postnatal adult; N4bp3tm1b(KOMP)Mbp/N4bp3+ (more )
Structure Level Pattern Image Note
TS28: stomach Present UC Davis_1854960

Specimen UC Davis_1854961: postnatal adult; N4bp3tm1b(KOMP)Mbp/N4bp3+ (more )
Structure Level Pattern Image Note
TS28: stomach Present UC Davis_1854961

Specimen UC Davis_1854962: postnatal adult; N4bp3tm1b(KOMP)Mbp/N4bp3+ (more )
Structure Level Pattern Image Note
TS28: stomach Present UC Davis_1854962

Specimen UC Davis_1854963: postnatal adult; N4bp3tm1b(KOMP)Mbp/N4bp3+ (more )
Structure Level Pattern Image Note
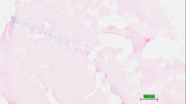
TS28: metanephros Present UC Davis_1854963 kidney

Specimen UC Davis_1854964: postnatal adult; N4bp3tm1b(KOMP)Mbp/N4bp3+ (more )
Structure Level Pattern Image Note
TS28: metanephros Present UC Davis_1854964 kidney

Specimen UC Davis_1854965: postnatal adult; N4bp3tm1b(KOMP)Mbp/N4bp3+ (more )
Structure Level Pattern Image Note
TS28: metanephros Present UC Davis_1854965 kidney

Specimen UC Davis_1854966: postnatal adult; N4bp3tm1b(KOMP)Mbp/N4bp3+ (more )
Structure Level Pattern Image Note
TS28: metanephros Present UC Davis_1854966 kidney

Specimen UC Davis_1854967: postnatal adult; N4bp3tm1b(KOMP)Mbp/N4bp3+ (more )
Structure Level Pattern Image Note
TS28: metanephros Present UC Davis_1854967 kidney

Specimen UC Davis_1854968: postnatal adult; N4bp3tm1b(KOMP)Mbp/N4bp3+ (more )
Structure Level Pattern Image Note
TS28: metanephros Present UC Davis_1854968 kidney

Specimen UC Davis_1854969: postnatal adult; N4bp3tm1b(KOMP)Mbp/N4bp3+ (more )
Structure Level Pattern Image Note
TS28: tongue Present UC Davis_1854969

Specimen UC Davis_1854970: postnatal adult; N4bp3tm1b(KOMP)Mbp/N4bp3+ (more )
Structure Level Pattern Image Note
TS28: tongue Present UC Davis_1854970

Specimen UC Davis_1854971: postnatal adult; N4bp3tm1b(KOMP)Mbp/N4bp3+ (more )
Structure Level Pattern Image Note
TS28: tongue Present UC Davis_1854971

Specimen UC Davis_1854972: postnatal adult; N4bp3tm1b(KOMP)Mbp/N4bp3+ (more )
Structure Level Pattern Image Note
TS28: spinal cord Present UC Davis_1854972

Specimen UC Davis_1854973: postnatal adult; N4bp3tm1b(KOMP)Mbp/N4bp3+ (more )
Structure Level Pattern Image Note
TS28: spinal cord Present UC Davis_1854973

Specimen UC Davis_1854974: postnatal adult; N4bp3tm1b(KOMP)Mbp/N4bp3+ (more )
Structure Level Pattern Image Note
TS28: spinal cord Present UC Davis_1854974

Specimen UC Davis_1854975: postnatal adult; N4bp3tm1b(KOMP)Mbp/N4bp3+ (more )
Structure Level Pattern Image Note
TS28: eye Present UC Davis_1854975

Specimen UC Davis_1854976: postnatal adult; N4bp3tm1b(KOMP)Mbp/N4bp3+ (more )
Structure Level Pattern Image Note
TS28: eye Present UC Davis_1854976

Specimen UC Davis_1854977: postnatal adult; N4bp3tm1b(KOMP)Mbp/N4bp3+ (more )
Structure Level Pattern Image Note
TS28: eye Present UC Davis_1854977

Specimen UC Davis_1854978: postnatal adult; N4bp3tm1b(KOMP)Mbp/N4bp3+ (more )
Structure Level Pattern Image Note
TS28: Harderian gland Present UC Davis_1854978

Specimen UC Davis_1854979: postnatal adult; N4bp3tm1b(KOMP)Mbp/N4bp3+ (more )
Structure Level Pattern Image Note
TS28: Harderian gland Present UC Davis_1854979

Specimen UC Davis_1854980: postnatal adult; N4bp3tm1b(KOMP)Mbp/N4bp3+ (more )
Structure Level Pattern Image Note
TS28: Harderian gland Present UC Davis_1854980

Specimen UC Davis_1854981: postnatal adult; N4bp3tm1b(KOMP)Mbp/N4bp3+ (more )
Structure Level Pattern Image Note
TS28: skin Present UC Davis_1854981

Specimen UC Davis_1854982: postnatal adult; N4bp3tm1b(KOMP)Mbp/N4bp3+ (more )
Structure Level Pattern Image Note
TS28: skin Present UC Davis_1854982

Specimen UC Davis_1854983: postnatal adult; N4bp3tm1b(KOMP)Mbp/N4bp3+ (more )
Structure Level Pattern Image Note
TS28: skin Present UC Davis_1854983

Specimen UC Davis_1854984: postnatal adult; N4bp3tm1b(KOMP)Mbp/N4bp3+ (more )
Structure Level Pattern Image Note
TS28: skin Present UC Davis_1854984

Specimen UC Davis_1854985: postnatal adult; N4bp3tm1b(KOMP)Mbp/N4bp3+ (more )
Structure Level Pattern Image Note
TS28: skin Present UC Davis_1854985

Specimen UC Davis_1854988: postnatal adult; N4bp3tm1b(KOMP)Mbp/N4bp3+ (more )
Structure Level Pattern Image Note
TS28: midbrain Present UC Davis_1854988

Specimen UC Davis_1854989: postnatal adult; N4bp3tm1b(KOMP)Mbp/N4bp3+ (more )
Structure Level Pattern Image Note
TS28: midbrain Present UC Davis_1854989

Specimen UC Davis_1854990: postnatal adult; N4bp3tm1b(KOMP)Mbp/N4bp3+ (more )
Structure Level Pattern Image Note
TS28: midbrain Present UC Davis_1854990

Specimen UC Davis_1854991: postnatal adult; N4bp3tm1b(KOMP)Mbp/N4bp3+ (more )
Structure Level Pattern Image Note
TS28: vagina Present UC Davis_1854991

Specimen UC Davis_1855043: postnatal adult; N4bp3tm1b(KOMP)Mbp/N4bp3+ (more )
Structure Level Pattern Image Note
TS28: eye Present UC Davis_1855043

Specimen UC Davis_1855044: postnatal adult; N4bp3tm1b(KOMP)Mbp/N4bp3+ (more )
Structure Level Pattern Image Note
TS28: Harderian gland Present UC Davis_1855044

Specimen UC Davis_1855045: postnatal adult; N4bp3tm1b(KOMP)Mbp/N4bp3+ (more )
Structure Level Pattern Image Note
TS28: oviduct Present UC Davis_1855045

Specimen UC Davis_1855046: postnatal adult; N4bp3tm1b(KOMP)Mbp/N4bp3+ (more )
Structure Level Pattern Image Note
TS28: vagina Present UC Davis_1855046

Specimen UC Davis_1854992: postnatal adult; N4bp3tm1b(KOMP)Mbp/N4bp3+ (more )
Structure Level Pattern Image Note
TS28: esophagus Present UC Davis_1854992

Specimen UC Davis_1854993: postnatal adult; N4bp3tm1b(KOMP)Mbp/N4bp3+ (more )
Structure Level Pattern Image Note
TS28: esophagus Present UC Davis_1854993

Specimen UC Davis_1854994: postnatal adult; N4bp3tm1b(KOMP)Mbp/N4bp3+ (more )
Structure Level Pattern Image Note
TS28: esophagus Present UC Davis_1854994

Specimen UC Davis_1854995: postnatal adult; N4bp3tm1b(KOMP)Mbp/N4bp3+ (more )
Structure Level Pattern Image Note
TS28: esophagus Present UC Davis_1854995

Specimen UC Davis_1854996: postnatal adult; N4bp3tm1b(KOMP)Mbp/N4bp3+ (more )
Structure Level Pattern Image Note
TS28: esophagus Present UC Davis_1854996

Specimen UC Davis_1854998: postnatal adult; N4bp3tm1b(KOMP)Mbp/N4bp3+ (more )
Structure Level Pattern Image Note
TS28: metanephros Present UC Davis_1854998 kidney

Specimen UC Davis_1854999: postnatal adult; N4bp3tm1b(KOMP)Mbp/N4bp3+ (more )
Structure Level Pattern Image Note
TS28: metanephros Present UC Davis_1854999 kidney

Specimen UC Davis_1855000: postnatal adult; N4bp3tm1b(KOMP)Mbp/N4bp3+ (more )
Structure Level Pattern Image Note
TS28: metanephros Present UC Davis_1855000 kidney

Specimen UC Davis_1855001: postnatal adult; N4bp3tm1b(KOMP)Mbp/N4bp3+ (more )
Structure Level Pattern Image Note
TS28: tongue Present UC Davis_1855001

Specimen UC Davis_1855002: postnatal adult; N4bp3tm1b(KOMP)Mbp/N4bp3+ (more )
Structure Level Pattern Image Note
TS28: tongue Present UC Davis_1855002

Specimen UC Davis_1855003: postnatal adult; N4bp3tm1b(KOMP)Mbp/N4bp3+ (more )
Structure Level Pattern Image Note
TS28: tongue Present UC Davis_1855003

Specimen UC Davis_1855004: postnatal adult; N4bp3tm1b(KOMP)Mbp/N4bp3+ (more )
Structure Level Pattern Image Note
TS28: skin Present UC Davis_1855004

Specimen UC Davis_1855005: postnatal adult; N4bp3tm1b(KOMP)Mbp/N4bp3+ (more )
Structure Level Pattern Image Note
TS28: skin Present UC Davis_1855005

Specimen UC Davis_1855006: postnatal adult; N4bp3tm1b(KOMP)Mbp/N4bp3+ (more )
Structure Level Pattern Image Note
TS28: midbrain Present UC Davis_1855006

Specimen UC Davis_1855008: postnatal adult; N4bp3tm1b(KOMP)Mbp/N4bp3+ (more )
Structure Level Pattern Image Note
TS28: testis Present UC Davis_1855008

Specimen UC Davis_1855009: postnatal adult; N4bp3tm1b(KOMP)Mbp/N4bp3+ (more )
Structure Level Pattern Image Note
TS28: testis Present UC Davis_1855009

Specimen UC Davis_1855010: postnatal adult; N4bp3tm1b(KOMP)Mbp/N4bp3+ (more )
Structure Level Pattern Image Note
TS28: epididymis Present UC Davis_1855010

Specimen UC Davis_1855011: postnatal adult; N4bp3tm1b(KOMP)Mbp/N4bp3+ (more )
Structure Level Pattern Image Note
TS28: epididymis Present UC Davis_1855011

Specimen UC Davis_1855012: postnatal adult; N4bp3tm1b(KOMP)Mbp/N4bp3+ (more )
Structure Level Pattern Image Note
TS28: epididymis Present UC Davis_1855012

Specimen UC Davis_1855013: postnatal adult; N4bp3tm1b(KOMP)Mbp/N4bp3+ (more )
Structure Level Pattern Image Note
TS28: penis Absent UC Davis_1855013

Specimen UC Davis_1855014: postnatal adult; N4bp3tm1b(KOMP)Mbp/N4bp3+ (more )
Structure Level Pattern Image Note
TS28: penis Absent UC Davis_1855014

Specimen UC Davis_1855015: postnatal adult; N4bp3tm1b(KOMP)Mbp/N4bp3+ (more )
Structure Level Pattern Image Note
TS28: ductus deferens Present UC Davis_1855015 vas deferens

Specimen UC Davis_1855016: postnatal adult; N4bp3tm1b(KOMP)Mbp/N4bp3+ (more )
Structure Level Pattern Image Note
TS28: ductus deferens Present UC Davis_1855016 vas deferens

Specimen UC Davis_1855017: postnatal adult; N4bp3tm1b(KOMP)Mbp/N4bp3+ (more )
Structure Level Pattern Image Note
TS28: ductus deferens Present UC Davis_1855017 vas deferens

Specimen UC Davis_1855021: postnatal adult; N4bp3tm1b(KOMP)Mbp/N4bp3+ (more )
Structure Level Pattern Image Note
TS28: tongue Present UC Davis_1855021

Specimen UC Davis_1855022: postnatal adult; N4bp3tm1b(KOMP)Mbp/N4bp3+ (more )
Structure Level Pattern Image Note
TS28: olfactory lobe Present UC Davis_1855022

Specimen UC Davis_1855024: postnatal adult; N4bp3tm1b(KOMP)Mbp/N4bp3+ (more )
Structure Level Pattern Image Note
TS28: midbrain Present UC Davis_1855024

Specimen UC Davis_1855026: postnatal adult; N4bp3tm1b(KOMP)Mbp/N4bp3+ (more )
Structure Level Pattern Image Note
TS28: cerebellum Present UC Davis_1855026

Specimen UC Davis_1855027: postnatal adult; N4bp3tm1b(KOMP)Mbp/N4bp3+ (more )
Structure Level Pattern Image Note
TS28: brain Present UC Davis_1855027

Specimen UC Davis_1855028: postnatal adult; N4bp3tm1b(KOMP)Mbp/N4bp3+ (more )
Structure Level Pattern Image Note
TS28: lung Present UC Davis_1855028

Specimen UC Davis_1855029: postnatal adult; N4bp3tm1b(KOMP)Mbp/N4bp3+ (more )
Structure Level Pattern Image Note
TS28: metanephros Present UC Davis_1855029 kidney

Specimen UC Davis_1855030: postnatal adult; N4bp3tm1b(KOMP)Mbp/N4bp3+ (more )
Structure Level Pattern Image Note
TS28: skin Present UC Davis_1855030

Specimen UC Davis_1855032: postnatal adult; N4bp3tm1b(KOMP)Mbp/N4bp3+ (more )
Structure Level Pattern Image Note
TS28: esophagus Present UC Davis_1855032

Specimen UC Davis_1855033: postnatal adult; N4bp3tm1b(KOMP)Mbp/N4bp3+ (more )
Structure Level Pattern Image Note
TS28: spinal cord Present UC Davis_1855033

Specimen UC Davis_1855034: postnatal adult; N4bp3tm1b(KOMP)Mbp/N4bp3+ (more )
Structure Level Pattern Image Note
TS28: stomach Present UC Davis_1855034

Specimen UC Davis_1855035: postnatal adult; N4bp3tm1b(KOMP)Mbp/N4bp3+ (more )
Structure Level Pattern Image Note
TS28: testis Present UC Davis_1855035

Specimen UC Davis_1855036: postnatal adult; N4bp3tm1b(KOMP)Mbp/N4bp3+ (more )
Structure Level Pattern Image Note
TS28: seminal vesicle Present UC Davis_1855036 vesicular gland

Specimen UC Davis_1855037: postnatal adult; N4bp3tm1b(KOMP)Mbp/N4bp3+ (more )
Structure Level Pattern Image Note
TS28: penis Present UC Davis_1855037

Specimen UC Davis_1855038: postnatal adult; N4bp3tm1b(KOMP)Mbp/N4bp3+ (more )
Structure Level Pattern Image Note
TS28: epididymis Present UC Davis_1855038


Contributing Projects:
Mouse Genome Database (MGD), Gene Expression Database (GXD), Mouse Models of Human Cancer database (MMHCdb) (formerly Mouse Tumor Biology (MTB)), Gene Ontology (GO)
Citing These Resources
Funding Information
Warranty Disclaimer, Privacy Notice, Licensing, & Copyright
Send questions and comments to User Support.
last database update
01/20/2026
MGI 6.24
The Jackson Laboratory