About   Help   FAQ
Gene Expression Data
Assay Details
Assay
Reference: J:228563 Koscielny G, et al., The International Mouse Phenotyping Consortium Web Portal, a unified point of access for knockout mice and related phenotyping data. Nucleic Acids Res. 2014 Jan;42(Database issue):D802-9
Assay type: In situ reporter (knock in)
MGI Accession ID: MGI:6692609
Gene symbol: Tmem30b
Gene name: transmembrane protein 30B
Reporter: lacZ
Direct Detection
Results
Specimen UC Davis_1879581: postnatal adult; Tmem30btm1b(EUCOMM)Wtsi/Tmem30b+ (more )
Structure Level Pattern Image Note
TS28: submandibular gland Present UC Davis_1879581

Specimen UC Davis_1879582: postnatal adult; Tmem30btm1b(EUCOMM)Wtsi/Tmem30b+ (more )
Structure Level Pattern Image Note
TS28: submandibular gland Present UC Davis_1879582

Specimen UC Davis_1879583: postnatal adult; Tmem30btm1b(EUCOMM)Wtsi/Tmem30b+ (more )
Structure Level Pattern Image Note
TS28: submandibular gland Present UC Davis_1879583

Specimen UC Davis_1879584: postnatal adult; Tmem30btm1b(EUCOMM)Wtsi/Tmem30b+ (more )
Structure Level Pattern Image Note
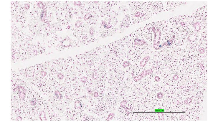
TS28: metanephros Present UC Davis_1879584 kidney

Specimen UC Davis_1879585: postnatal adult; Tmem30btm1b(EUCOMM)Wtsi/Tmem30b+ (more )
Structure Level Pattern Image Note
TS28: metanephros Present UC Davis_1879585 kidney

Specimen UC Davis_1879586: postnatal adult; Tmem30btm1b(EUCOMM)Wtsi/Tmem30b+ (more )
Structure Level Pattern Image Note
TS28: metanephros Present UC Davis_1879586 kidney

Specimen UC Davis_1879571: postnatal adult; Tmem30btm1b(EUCOMM)Wtsi/Tmem30b+ (more )
Structure Level Pattern Image Note
TS28: parathyroid gland Present UC Davis_1879571

Specimen UC Davis_1879572: postnatal adult; Tmem30btm1b(EUCOMM)Wtsi/Tmem30b+ (more )
Structure Level Pattern Image Note
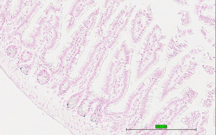
TS28: ileum Present UC Davis_1879572

Specimen UC Davis_1879573: postnatal adult; Tmem30btm1b(EUCOMM)Wtsi/Tmem30b+ (more )
Structure Level Pattern Image Note
TS28: metanephros Present UC Davis_1879573 kidney

Specimen UC Davis_1879574: postnatal adult; Tmem30btm1b(EUCOMM)Wtsi/Tmem30b+ (more )
Structure Level Pattern Image Note
TS28: testis Present UC Davis_1879574

Specimen UC Davis_1879575: postnatal adult; Tmem30btm1b(EUCOMM)Wtsi/Tmem30b+ (more )
Structure Level Pattern Image Note
TS28: testis Present UC Davis_1879575

Specimen UC Davis_1879576: postnatal adult; Tmem30btm1b(EUCOMM)Wtsi/Tmem30b+ (more )
Structure Level Pattern Image Note
TS28: testis Present UC Davis_1879576

Specimen UC Davis_1879577: postnatal adult; Tmem30btm1b(EUCOMM)Wtsi/Tmem30b+ (more )
Structure Level Pattern Image Note
TS28: epididymis Present UC Davis_1879577

Specimen UC Davis_1879578: postnatal adult; Tmem30btm1b(EUCOMM)Wtsi/Tmem30b+ (more )
Structure Level Pattern Image Note
TS28: penis Present UC Davis_1879578

Specimen UC Davis_1879579: postnatal adult; Tmem30btm1b(EUCOMM)Wtsi/Tmem30b+ (more )
Structure Level Pattern Image Note
TS28: ductus deferens Present UC Davis_1879579 vas deferens

Specimen UC Davis_1879587: postnatal adult; Tmem30btm1b(EUCOMM)Wtsi/Tmem30b+ (more )
Structure Level Pattern Image Note
TS28: metanephros Present UC Davis_1879587 kidney

Specimen UC Davis_1879588: postnatal adult; Tmem30btm1b(EUCOMM)Wtsi/Tmem30b+ (more )
Structure Level Pattern Image Note
TS28: liver Present UC Davis_1879588

Specimen UC Davis_1879589: postnatal adult; Tmem30btm1b(EUCOMM)Wtsi/Tmem30b+ (more )
Structure Level Pattern Image Note
TS28: thyroid gland Present UC Davis_1879589

Specimen UC Davis_1879590: postnatal adult; Tmem30btm1b(EUCOMM)Wtsi/Tmem30b+ (more )
Structure Level Pattern Image Note
TS28: pituitary gland Present UC Davis_1879590


Contributing Projects:
Mouse Genome Database (MGD), Gene Expression Database (GXD), Mouse Models of Human Cancer database (MMHCdb) (formerly Mouse Tumor Biology (MTB)), Gene Ontology (GO)
Citing These Resources
Funding Information
Warranty Disclaimer, Privacy Notice, Licensing, & Copyright
Send questions and comments to User Support.
last database update
12/30/2025
MGI 6.24
The Jackson Laboratory