About   Help   FAQ
Gene Expression Data
Assay Details
Assay
Reference: J:228563 Koscielny G, et al., The International Mouse Phenotyping Consortium Web Portal, a unified point of access for knockout mice and related phenotyping data. Nucleic Acids Res. 2014 Jan;42(Database issue):D802-9
Assay type: In situ reporter (knock in)
MGI Accession ID: MGI:6692608
Gene symbol: Gpr183
Gene name: G protein-coupled receptor 183
Reporter: lacZ
Direct Detection
Results
Specimen JAX_1124737: embryonic day 12.5; Gpr183tm1.1(KOMP)Vlcg/Gpr183+ (more )
Structure Level Pattern Image Note
TS20: embryo Present JAX_1124737

Specimen JAX_1124739: embryonic day 12.5; Gpr183tm1.1(KOMP)Vlcg/Gpr183+ (more )
Structure Level Pattern Image Note
TS20: embryo Present JAX_1124739

Specimen JAX_1124741: embryonic day 12.5; Gpr183tm1.1(KOMP)Vlcg/Gpr183+ (more )
Structure Level Pattern Image Note
TS20: embryo Present JAX_1124741

Specimen JAX_1124743: embryonic day 12.5; Gpr183tm1.1(KOMP)Vlcg/Gpr183+ (more )
Structure Level Pattern Image Note
TS20: embryo Present JAX_1124743

Specimen JAX_1124745: embryonic day 12.5; Gpr183tm1.1(KOMP)Vlcg/Gpr183+ (more )
Structure Level Pattern Image Note
TS20: embryo Present JAX_1124745

Specimen JAX_1124747: embryonic day 12.5; Gpr183tm1.1(KOMP)Vlcg/Gpr183+ (more )
Structure Level Pattern Image Note
TS20: embryo Present JAX_1124747

Specimen JAX_1124749: embryonic day 12.5; Gpr183tm1.1(KOMP)Vlcg/Gpr183+ (more )
Structure Level Pattern Image Note
TS20: embryo Present JAX_1124749

Specimen JAX_1124751: embryonic day 12.5; Gpr183tm1.1(KOMP)Vlcg/Gpr183+ (more )
Structure Level Pattern Image Note
TS20: embryo Present JAX_1124751

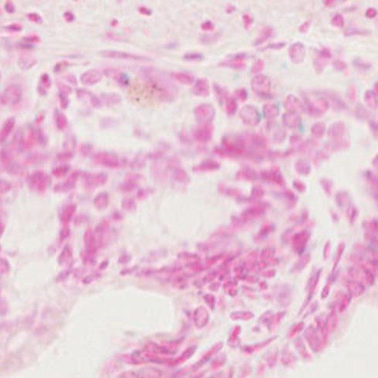
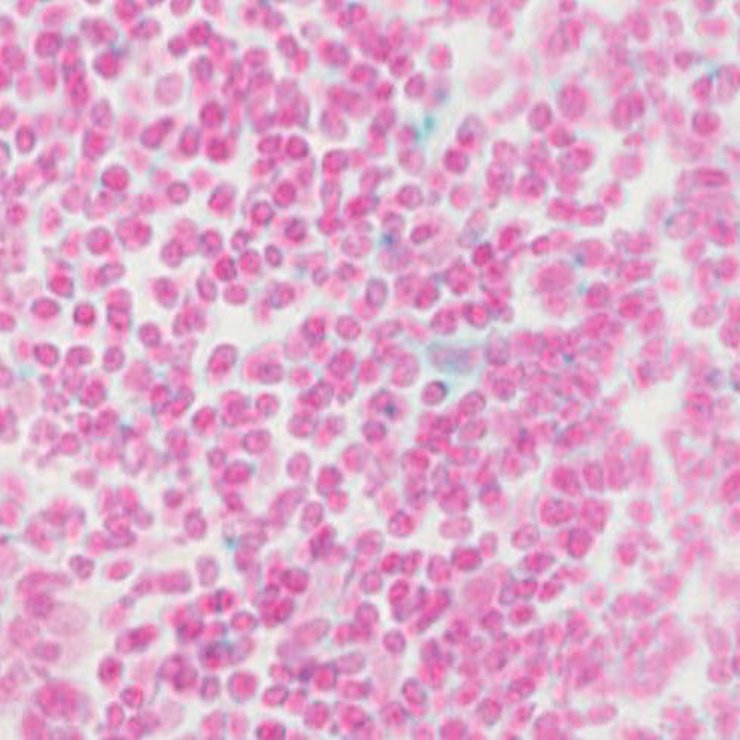
Specimen JAX_1370899: postnatal adult; Gpr183tm1.1(KOMP)Vlcg/Gpr183+ (more )
Structure Level Pattern Image Note
TS28: Peyer's patch Present JAX_1370899

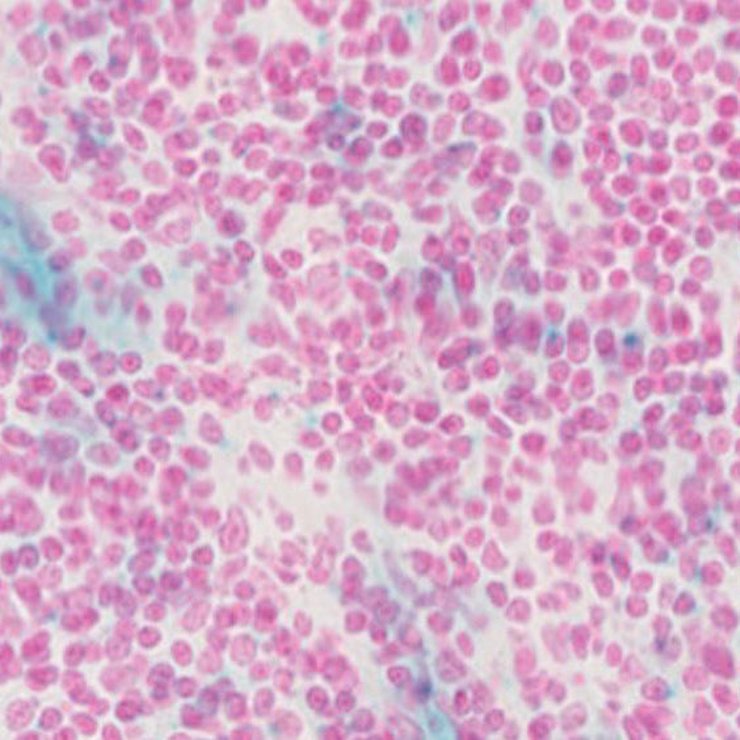
Specimen JAX_1370900: postnatal adult; Gpr183tm1.1(KOMP)Vlcg/Gpr183+ (more )
Structure Level Pattern Image Note
TS28: small intestine Present JAX_1370900

Specimen JAX_1370901: postnatal adult; Gpr183tm1.1(KOMP)Vlcg/Gpr183+ (more )
Structure Level Pattern Image Note
TS28: large intestine Present JAX_1370901

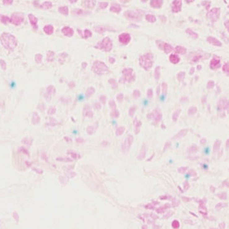
Specimen JAX_1370902: postnatal adult; Gpr183tm1.1(KOMP)Vlcg/Gpr183+ (more )
Structure Level Pattern Image Note
TS28: olfactory lobe Present JAX_1370902

Specimen JAX_1370903: postnatal adult; Gpr183tm1.1(KOMP)Vlcg/Gpr183+ (more )
Structure Level Pattern Image Note
TS28: hypothalamus Present JAX_1370903

Specimen JAX_1370904: postnatal adult; Gpr183tm1.1(KOMP)Vlcg/Gpr183+ (more )
Structure Level Pattern Image Note
TS28: cerebral cortex Present JAX_1370904

Specimen JAX_1370905: postnatal adult; Gpr183tm1.1(KOMP)Vlcg/Gpr183+ (more )
Structure Level Pattern Image Note
TS28: brainstem Present JAX_1370905

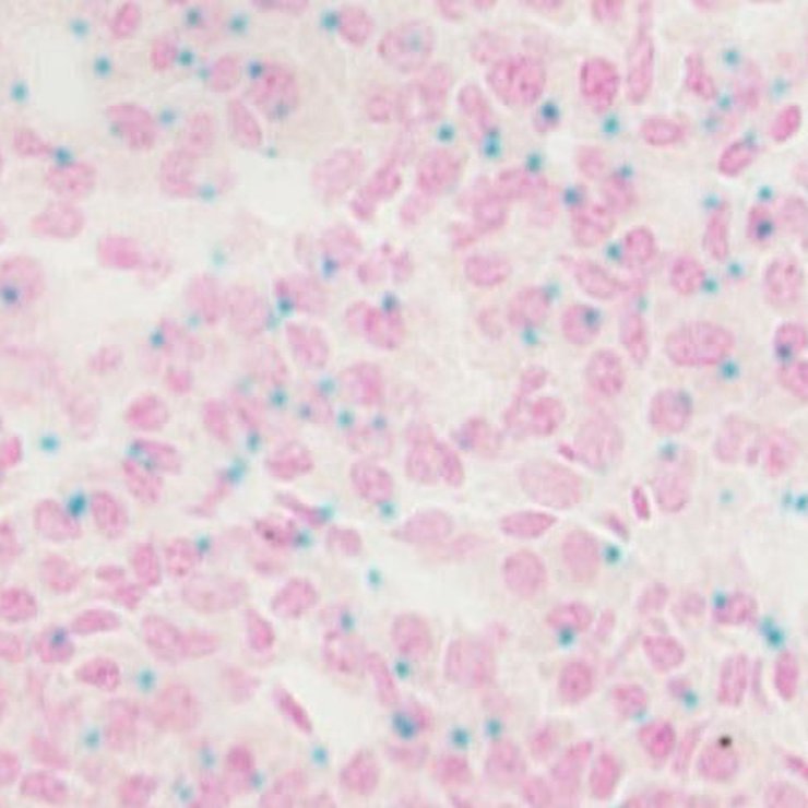
Specimen JAX_1370906: postnatal adult; Gpr183tm1.1(KOMP)Vlcg/Gpr183+ (more )
Structure Level Pattern Image Note
TS28: spleen Present JAX_1370906

Specimen JAX_1370907: postnatal adult; Gpr183tm1.1(KOMP)Vlcg/Gpr183+ (more )
Structure Level Pattern Image Note
TS28: pituitary gland Present JAX_1370907

Specimen JAX_1370908: postnatal adult; Gpr183tm1.1(KOMP)Vlcg/Gpr183+ (more )
Structure Level Pattern Image Note
TS28: testis Present JAX_1370908

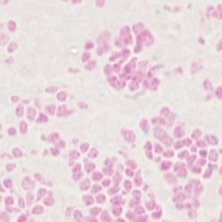
Specimen JAX_1370909: postnatal adult; Gpr183tm1.1(KOMP)Vlcg/Gpr183+ (more )
Structure Level Pattern Image Note
TS28: lymph node Present JAX_1370909

Specimen JAX_1370910: postnatal adult; Gpr183tm1.1(KOMP)Vlcg/Gpr183+ (more )
Structure Level Pattern Image Note
TS28: brain Present JAX_1370910


Contributing Projects:
Mouse Genome Database (MGD), Gene Expression Database (GXD), Mouse Models of Human Cancer database (MMHCdb) (formerly Mouse Tumor Biology (MTB)), Gene Ontology (GO)
Citing These Resources
Funding Information
Warranty Disclaimer, Privacy Notice, Licensing, & Copyright
Send questions and comments to User Support.
last database update
12/30/2025
MGI 6.24
The Jackson Laboratory