About   Help   FAQ
Gene Expression Data
Assay Details
Assay
Reference: J:228563 Koscielny G, et al., The International Mouse Phenotyping Consortium Web Portal, a unified point of access for knockout mice and related phenotyping data. Nucleic Acids Res. 2014 Jan;42(Database issue):D802-9
Assay type: In situ reporter (knock in)
MGI Accession ID: MGI:6692596
Gene symbol: Gpr158
Gene name: G protein-coupled receptor 158
Reporter: lacZ
Direct Detection
Results
Specimen UC Davis_1861556: postnatal adult; Gpr158tm1.1(KOMP)Vlcg/Gpr158+ (more )
Structure Level Pattern Image Note
TS28: eye Present UC Davis_1861556

Specimen UC Davis_1861557: postnatal adult; Gpr158tm1.1(KOMP)Vlcg/Gpr158+ (more )
Structure Level Pattern Image Note
TS28: olfactory lobe Present UC Davis_1861557

Specimen UC Davis_1861559: postnatal adult; Gpr158tm1.1(KOMP)Vlcg/Gpr158+ (more )
Structure Level Pattern Image Note
TS28: midbrain Present UC Davis_1861559

Specimen UC Davis_1861561: postnatal adult; Gpr158tm1.1(KOMP)Vlcg/Gpr158+ (more )
Structure Level Pattern Image Note
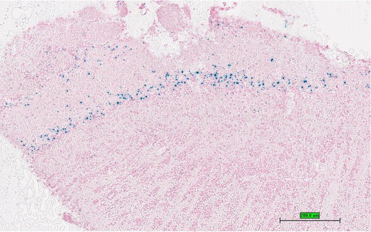
TS28: cerebellum Present UC Davis_1861561

Specimen UC Davis_1861562: postnatal adult; Gpr158tm1.1(KOMP)Vlcg/Gpr158+ (more )
Structure Level Pattern Image Note
TS28: cerebellum Present UC Davis_1861562

Specimen UC Davis_1861563: postnatal adult; Gpr158tm1.1(KOMP)Vlcg/Gpr158+ (more )
Structure Level Pattern Image Note
TS28: trigeminal nerve Present UC Davis_1861563

Specimen UC Davis_1861539: postnatal adult; Gpr158tm1.1(KOMP)Vlcg/Gpr158+ (more )
Structure Level Pattern Image Note
TS28: jejunum Present UC Davis_1861539

Specimen UC Davis_1861540: postnatal adult; Gpr158tm1.1(KOMP)Vlcg/Gpr158+ (more )
Structure Level Pattern Image Note
TS28: ileum Present UC Davis_1861540

Specimen UC Davis_1861541: postnatal adult; Gpr158tm1.1(KOMP)Vlcg/Gpr158+ (more )
Structure Level Pattern Image Note
TS28: spinal cord Present UC Davis_1861541

Specimen UC Davis_1861542: postnatal adult; Gpr158tm1.1(KOMP)Vlcg/Gpr158+ (more )
Structure Level Pattern Image Note
TS28: spinal cord Present UC Davis_1861542

Specimen UC Davis_1861543: postnatal adult; Gpr158tm1.1(KOMP)Vlcg/Gpr158+ (more )
Structure Level Pattern Image Note
TS28: spinal cord Present UC Davis_1861543

Specimen UC Davis_1861544: postnatal adult; Gpr158tm1.1(KOMP)Vlcg/Gpr158+ (more )
Structure Level Pattern Image Note
TS28: eye Present UC Davis_1861544

Specimen UC Davis_1861545: postnatal adult; Gpr158tm1.1(KOMP)Vlcg/Gpr158+ (more )
Structure Level Pattern Image Note
TS28: olfactory lobe Present UC Davis_1861545

Specimen UC Davis_1861546: postnatal adult; Gpr158tm1.1(KOMP)Vlcg/Gpr158+ (more )
Structure Level Pattern Image Note
TS28: olfactory lobe Present UC Davis_1861546

Specimen UC Davis_1861549: postnatal adult; Gpr158tm1.1(KOMP)Vlcg/Gpr158+ (more )
Structure Level Pattern Image Note
TS28: midbrain Present UC Davis_1861549

Specimen UC Davis_1861551: postnatal adult; Gpr158tm1.1(KOMP)Vlcg/Gpr158+ (more )
Structure Level Pattern Image Note
TS28: cerebellum Present UC Davis_1861551

Specimen UC Davis_1861552: postnatal adult; Gpr158tm1.1(KOMP)Vlcg/Gpr158+ (more )
Structure Level Pattern Image Note
TS28: trigeminal nerve Present UC Davis_1861552

Specimen UC Davis_1861553: postnatal adult; Gpr158tm1.1(KOMP)Vlcg/Gpr158+ (more )
Structure Level Pattern Image Note
TS28: epididymis Present UC Davis_1861553

Specimen UC Davis_1861554: postnatal adult; Gpr158tm1.1(KOMP)Vlcg/Gpr158+ (more )
Structure Level Pattern Image Note
TS28: prostate gland Present UC Davis_1861554

Specimen UC Davis_1861555: postnatal adult; Gpr158tm1.1(KOMP)Vlcg/Gpr158+ (more )
Structure Level Pattern Image Note
TS28: ductus deferens Present UC Davis_1861555 vas deferens

Specimen UC Davis_1861564: postnatal adult; Gpr158tm1.1(KOMP)Vlcg/Gpr158+ (more )
Structure Level Pattern Image Note
TS28: olfactory lobe Present UC Davis_1861564

Specimen UC Davis_1861567: postnatal adult; Gpr158tm1.1(KOMP)Vlcg/Gpr158+ (more )
Structure Level Pattern Image Note
TS28: midbrain Present UC Davis_1861567

Specimen UC Davis_1861569: postnatal adult; Gpr158tm1.1(KOMP)Vlcg/Gpr158+ (more )
Structure Level Pattern Image Note
TS28: cerebellum Present UC Davis_1861569

Specimen UC Davis_1861570: postnatal adult; Gpr158tm1.1(KOMP)Vlcg/Gpr158+ (more )
Structure Level Pattern Image Note
TS28: brain Present UC Davis_1861570

Specimen UC Davis_1861571: postnatal adult; Gpr158tm1.1(KOMP)Vlcg/Gpr158+ (more )
Structure Level Pattern Image Note
TS28: spinal cord Present UC Davis_1861571


Contributing Projects:
Mouse Genome Database (MGD), Gene Expression Database (GXD), Mouse Models of Human Cancer database (MMHCdb) (formerly Mouse Tumor Biology (MTB)), Gene Ontology (GO)
Citing These Resources
Funding Information
Warranty Disclaimer, Privacy Notice, Licensing, & Copyright
Send questions and comments to User Support.
last database update
01/20/2026
MGI 6.24
The Jackson Laboratory