About   Help   FAQ
Gene Expression Data
Assay Details
Assay
Reference: J:228563 Koscielny G, et al., The International Mouse Phenotyping Consortium Web Portal, a unified point of access for knockout mice and related phenotyping data. Nucleic Acids Res. 2014 Jan;42(Database issue):D802-9
Assay type: In situ reporter (knock in)
MGI Accession ID: MGI:6692588
Gene symbol: Emilin3
Gene name: elastin microfibril interfacer 3
Reporter: lacZ
Direct Detection
Results
Specimen JAX_1279729: embryonic day 12.5; Emilin3tm1.1(KOMP)Vlcg/Emilin3+ (more )
Structure Level Pattern Image Note
TS20: embryo Present JAX_1279729

Specimen JAX_1279731: embryonic day 12.5; Emilin3tm1.1(KOMP)Vlcg/Emilin3+ (more )
Structure Level Pattern Image Note
TS20: embryo Present JAX_1279731

Specimen JAX_1279733: embryonic day 12.5; Emilin3tm1.1(KOMP)Vlcg/Emilin3+ (more )
Structure Level Pattern Image Note
TS20: embryo Present JAX_1279733

Specimen JAX_1279735: embryonic day 12.5; Emilin3tm1.1(KOMP)Vlcg/Emilin3+ (more )
Structure Level Pattern Image Note
TS20: embryo Present JAX_1279735

Specimen JAX_1279737: embryonic day 12.5; Emilin3tm1.1(KOMP)Vlcg/Emilin3+ (more )
Structure Level Pattern Image Note
TS20: embryo Present JAX_1279737

Specimen JAX_1279739: embryonic day 12.5; Emilin3tm1.1(KOMP)Vlcg/Emilin3+ (more )
Structure Level Pattern Image Note
TS20: embryo Present JAX_1279739

Specimen JAX_1279741: embryonic day 12.5; Emilin3tm1.1(KOMP)Vlcg/Emilin3+ (more )
Structure Level Pattern Image Note
TS20: embryo Present JAX_1279741

Specimen JAX_1279743: embryonic day 12.5; Emilin3tm1.1(KOMP)Vlcg/Emilin3+ (more )
Structure Level Pattern Image Note
TS20: embryo Present JAX_1279743

Specimen JAX_1623593: postnatal adult; Emilin3tm1.1(KOMP)Vlcg/Emilin3+ (more )
Structure Level Pattern Image Note
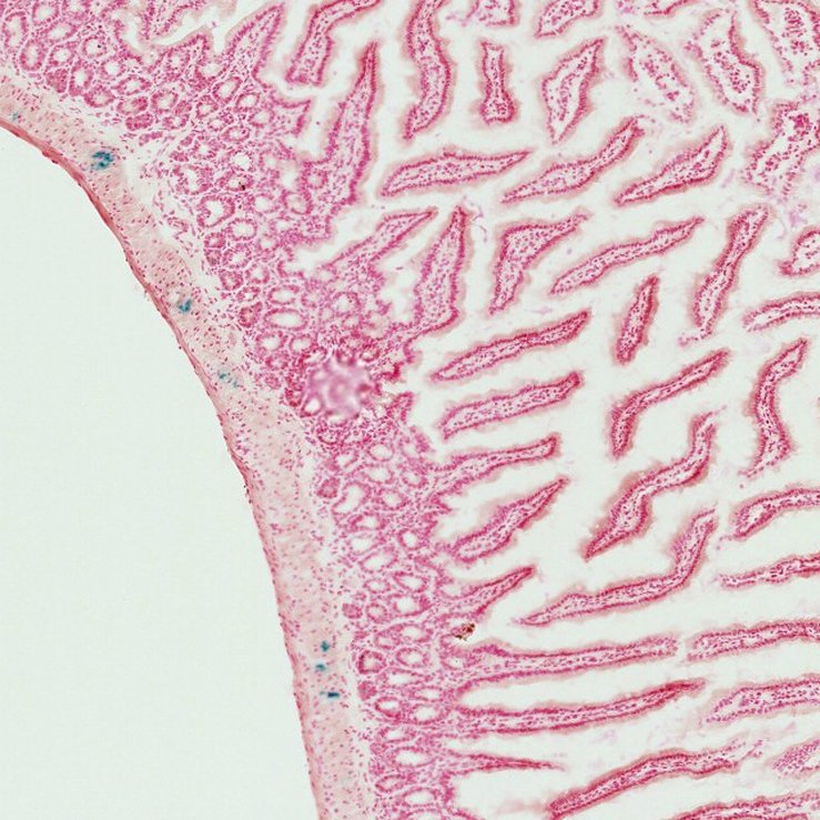
TS28: small intestine Present JAX_1623593

Specimen JAX_1623594: postnatal adult; Emilin3tm1.1(KOMP)Vlcg/Emilin3+ (more )
Structure Level Pattern Image Note
TS28: large intestine Present JAX_1623594

Specimen JAX_1623595: postnatal adult; Emilin3tm1.1(KOMP)Vlcg/Emilin3+ (more )
Structure Level Pattern Image Note
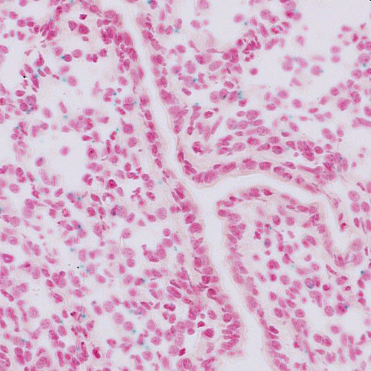
TS28: uterus Present JAX_1623595

Specimen JAX_1623596: postnatal adult; Emilin3tm1.1(KOMP)Vlcg/Emilin3+ (more )
Structure Level Pattern Image Note
TS28: oviduct Present JAX_1623596

Specimen JAX_1623597: postnatal adult; Emilin3tm1.1(KOMP)Vlcg/Emilin3+ (more )
Structure Level Pattern Image Note
TS28: epididymis Present JAX_1623597

Specimen JAX_1623598: postnatal adult; Emilin3tm1.1(KOMP)Vlcg/Emilin3+ (more )
Structure Level Pattern Image Note
TS28: submandibular gland Present JAX_1623598

Specimen JAX_1623599: postnatal adult; Emilin3tm1.1(KOMP)Vlcg/Emilin3+ (more )
Structure Level Pattern Image Note
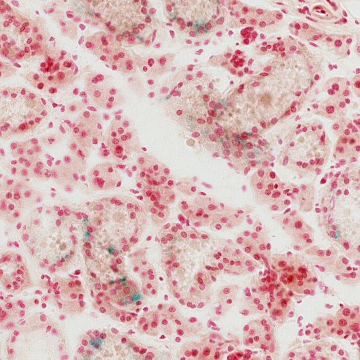
TS28: testis Present JAX_1623599

Specimen JAX_1623600: postnatal adult; Emilin3tm1.1(KOMP)Vlcg/Emilin3+ (more )
Structure Level Pattern Image Note
TS28: stomach Present JAX_1623600

Specimen JAX_1623601: postnatal adult; Emilin3tm1.1(KOMP)Vlcg/Emilin3+ (more )
Structure Level Pattern Image Note
TS28: skin Present JAX_1623601


Contributing Projects:
Mouse Genome Database (MGD), Gene Expression Database (GXD), Mouse Models of Human Cancer database (MMHCdb) (formerly Mouse Tumor Biology (MTB)), Gene Ontology (GO)
Citing These Resources
Funding Information
Warranty Disclaimer, Privacy Notice, Licensing, & Copyright
Send questions and comments to User Support.
last database update
01/28/2026
MGI 6.24
The Jackson Laboratory