About   Help   FAQ
Gene Expression Data
Assay Details
Assay
Reference: J:228563 Koscielny G, et al., The International Mouse Phenotyping Consortium Web Portal, a unified point of access for knockout mice and related phenotyping data. Nucleic Acids Res. 2014 Jan;42(Database issue):D802-9
Assay type: In situ reporter (knock in)
MGI Accession ID: MGI:6692578
Gene symbol: Clrn1
Gene name: clarin 1
Reporter: lacZ
Direct Detection
Results
Specimen UC Davis_1876553: postnatal adult; Clrn1tm1.1(KOMP)Vlcg/Clrn1+ (more )
Structure Level Pattern Image Note
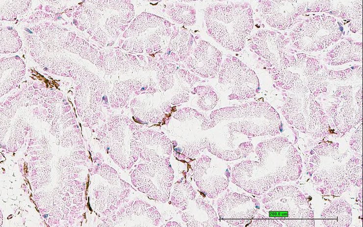
TS28: ileum Present UC Davis_1876553

Specimen UC Davis_1876554: postnatal adult; Clrn1tm1.1(KOMP)Vlcg/Clrn1+ (more )
Structure Level Pattern Image Note
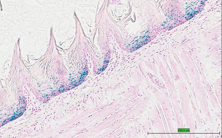
TS28: tongue Present UC Davis_1876554

Specimen UC Davis_1876555: postnatal adult; Clrn1tm1.1(KOMP)Vlcg/Clrn1+ (more )
Structure Level Pattern Image Note
TS28: tongue Present UC Davis_1876555

Specimen UC Davis_1876556: postnatal adult; Clrn1tm1.1(KOMP)Vlcg/Clrn1+ (more )
Structure Level Pattern Image Note
TS28: tongue Present UC Davis_1876556

Specimen UC Davis_1876557: postnatal adult; Clrn1tm1.1(KOMP)Vlcg/Clrn1+ (more )
Structure Level Pattern Image Note
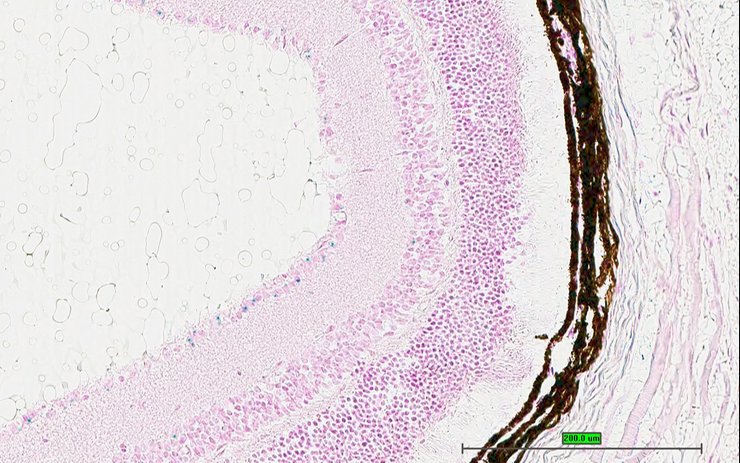
TS28: eye Present UC Davis_1876557

Specimen UC Davis_1876558: postnatal adult; Clrn1tm1.1(KOMP)Vlcg/Clrn1+ (more )
Structure Level Pattern Image Note
TS28: eye Present UC Davis_1876558

Specimen UC Davis_1876560: postnatal adult; Clrn1tm1.1(KOMP)Vlcg/Clrn1+ (more )
Structure Level Pattern Image Note
TS28: Harderian gland Present UC Davis_1876560

Specimen UC Davis_1876561: postnatal adult; Clrn1tm1.1(KOMP)Vlcg/Clrn1+ (more )
Structure Level Pattern Image Note
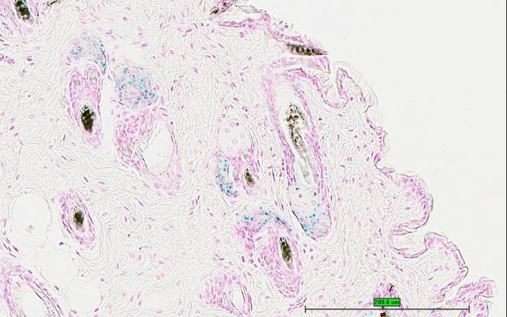
TS28: skin Present UC Davis_1876561

Specimen UC Davis_1876562: postnatal adult; Clrn1tm1.1(KOMP)Vlcg/Clrn1+ (more )
Structure Level Pattern Image Note
TS28: skin Present UC Davis_1876562

Specimen UC Davis_1876563: postnatal adult; Clrn1tm1.1(KOMP)Vlcg/Clrn1+ (more )
Structure Level Pattern Image Note
TS28: skin Present UC Davis_1876563

Specimen UC Davis_1876567: postnatal adult; Clrn1tm1.1(KOMP)Vlcg/Clrn1+ (more )
Structure Level Pattern Image Note
TS28: midbrain Present UC Davis_1876567

Specimen UC Davis_1876569: postnatal adult; Clrn1tm1.1(KOMP)Vlcg/Clrn1+ (more )
Structure Level Pattern Image Note
TS28: trigeminal nerve Present UC Davis_1876569

Specimen UC Davis_1876572: postnatal adult; Clrn1tm1.1(KOMP)Vlcg/Clrn1+ (more )
Structure Level Pattern Image Note
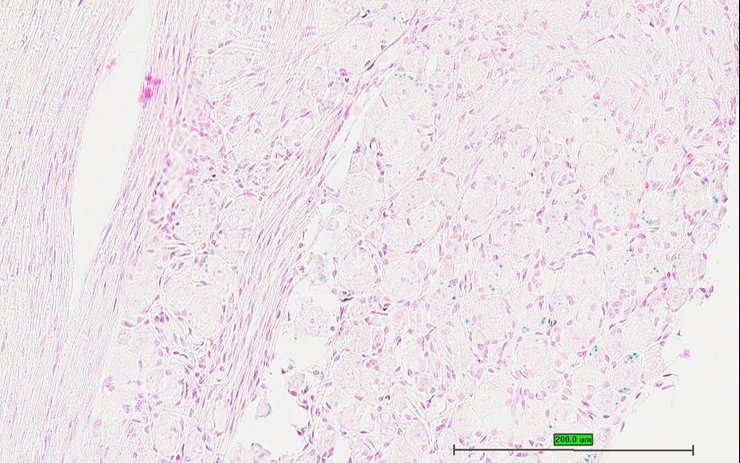
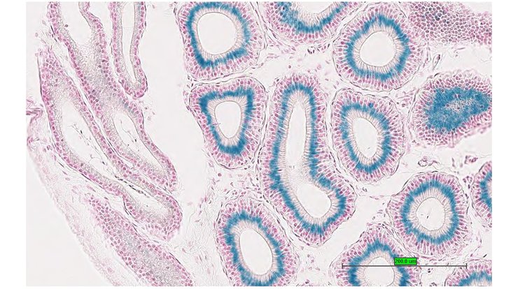
TS28: epididymis Present UC Davis_1876572

Specimen UC Davis_1876573: postnatal adult; Clrn1tm1.1(KOMP)Vlcg/Clrn1+ (more )
Structure Level Pattern Image Note
TS28: prostate gland Present UC Davis_1876573

Specimen UC Davis_1876574: postnatal adult; Clrn1tm1.1(KOMP)Vlcg/Clrn1+ (more )
Structure Level Pattern Image Note
TS28: prostate gland Present UC Davis_1876574

Specimen UC Davis_1876575: postnatal adult; Clrn1tm1.1(KOMP)Vlcg/Clrn1+ (more )
Structure Level Pattern Image Note
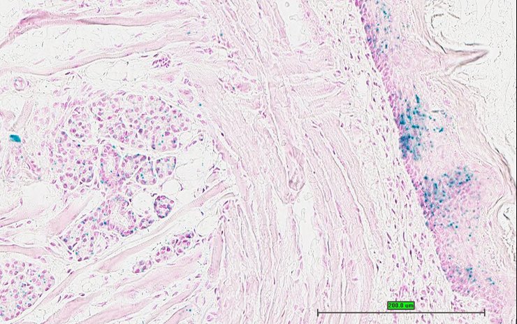
TS28: ductus deferens Present UC Davis_1876575 vas deferens


Contributing Projects:
Mouse Genome Database (MGD), Gene Expression Database (GXD), Mouse Models of Human Cancer database (MMHCdb) (formerly Mouse Tumor Biology (MTB)), Gene Ontology (GO)
Citing These Resources
Funding Information
Warranty Disclaimer, Privacy Notice, Licensing, & Copyright
Send questions and comments to User Support.
last database update
03/24/2026
MGI 6.24
The Jackson Laboratory