About   Help   FAQ
Gene Expression Data
Assay Details
Assay
Reference: J:228563 Koscielny G, et al., The International Mouse Phenotyping Consortium Web Portal, a unified point of access for knockout mice and related phenotyping data. Nucleic Acids Res. 2014 Jan;42(Database issue):D802-9
Assay type: In situ reporter (knock in)
MGI Accession ID: MGI:6692572
Gene symbol: Best2
Gene name: bestrophin 2
Reporter: lacZ
Direct Detection
Results
Specimen JAX_1262095: postnatal adult; Best2tm1b(EUCOMM)Hmgu/Best2+ (more )
Structure Level Pattern Image Note
TS28: ovary Present JAX_1262095

Specimen JAX_1262089: postnatal adult; Best2tm1b(EUCOMM)Hmgu/Best2+ (more )
Structure Level Pattern Image Note
TS28: submandibular gland Present JAX_1262089

Specimen JAX_1262091: postnatal adult; Best2tm1b(EUCOMM)Hmgu/Best2+ (more )
Structure Level Pattern Image Note
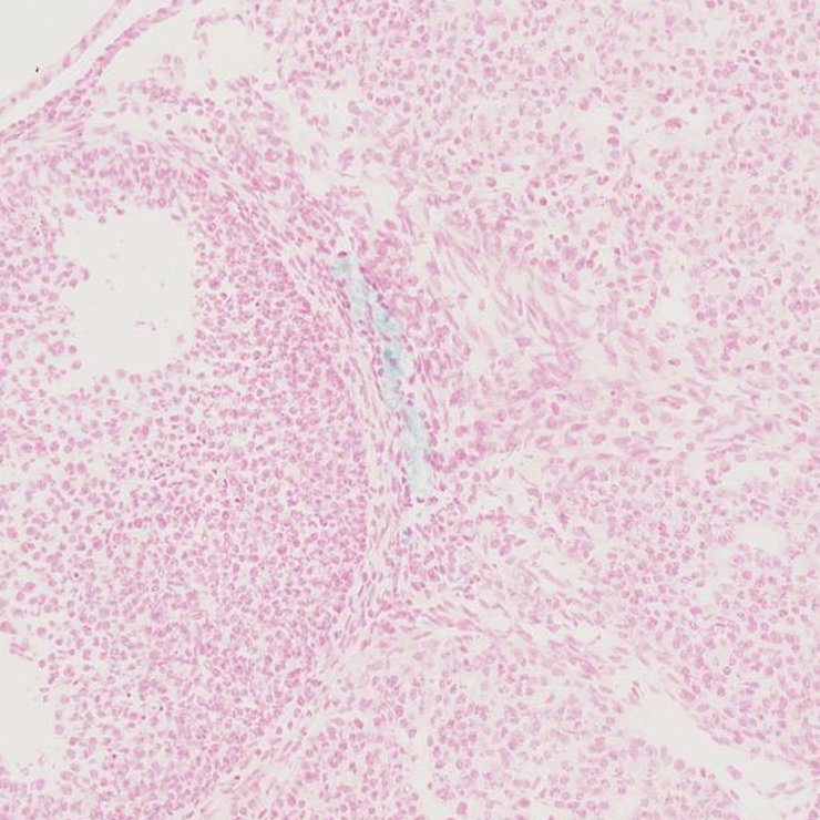
TS28: thymus Present JAX_1262091

Specimen JAX_1262093: postnatal adult; Best2tm1b(EUCOMM)Hmgu/Best2+ (more )
Structure Level Pattern Image Note
TS28: testis Present JAX_1262093


Contributing Projects:
Mouse Genome Database (MGD), Gene Expression Database (GXD), Mouse Models of Human Cancer database (MMHCdb) (formerly Mouse Tumor Biology (MTB)), Gene Ontology (GO)
Citing These Resources
Funding Information
Warranty Disclaimer, Privacy Notice, Licensing, & Copyright
Send questions and comments to User Support.
last database update
01/20/2026
MGI 6.24
The Jackson Laboratory