About   Help   FAQ
Gene Expression Data
Assay Details
Assay
Reference: J:228563 Koscielny G, et al., The International Mouse Phenotyping Consortium Web Portal, a unified point of access for knockout mice and related phenotyping data. Nucleic Acids Res. 2014 Jan;42(Database issue):D802-9
Assay type: In situ reporter (knock in)
MGI Accession ID: MGI:6692553
Gene symbol: Clcc1
Gene name: chloride channel CLIC-like 1
Reporter: lacZ
Direct Detection
Results
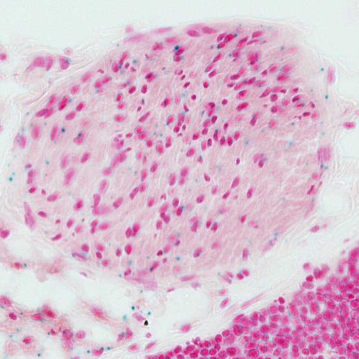
Specimen JAX_1263601: embryonic day 12.5; Clcc1tm1b(KOMP)Mbp/Clcc1+ (more )
Structure Level Pattern Image Note
TS20: embryo Present JAX_1263601

Specimen JAX_1263603: embryonic day 12.5; Clcc1tm1b(KOMP)Mbp/Clcc1+ (more )
Structure Level Pattern Image Note
TS20: embryo Present JAX_1263603

Specimen JAX_1263605: embryonic day 12.5; Clcc1tm1b(KOMP)Mbp/Clcc1+ (more )
Structure Level Pattern Image Note
TS20: embryo Present JAX_1263605

Specimen JAX_1263607: embryonic day 12.5; Clcc1tm1b(KOMP)Mbp/Clcc1+ (more )
Structure Level Pattern Image Note
TS20: embryo Present JAX_1263607

Specimen JAX_1263609: embryonic day 12.5; Clcc1tm1b(KOMP)Mbp/Clcc1+ (more )
Structure Level Pattern Image Note
TS20: embryo Present JAX_1263609

Specimen JAX_1263611: embryonic day 12.5; Clcc1tm1b(KOMP)Mbp/Clcc1+ (more )
Structure Level Pattern Image Note
TS20: embryo Present JAX_1263611

Specimen JAX_1263613: embryonic day 12.5; Clcc1tm1b(KOMP)Mbp/Clcc1+ (more )
Structure Level Pattern Image Note
TS20: embryo Present JAX_1263613

Specimen JAX_1263615: embryonic day 12.5; Clcc1tm1b(KOMP)Mbp/Clcc1+ (more )
Structure Level Pattern Image Note
TS20: embryo Present JAX_1263615

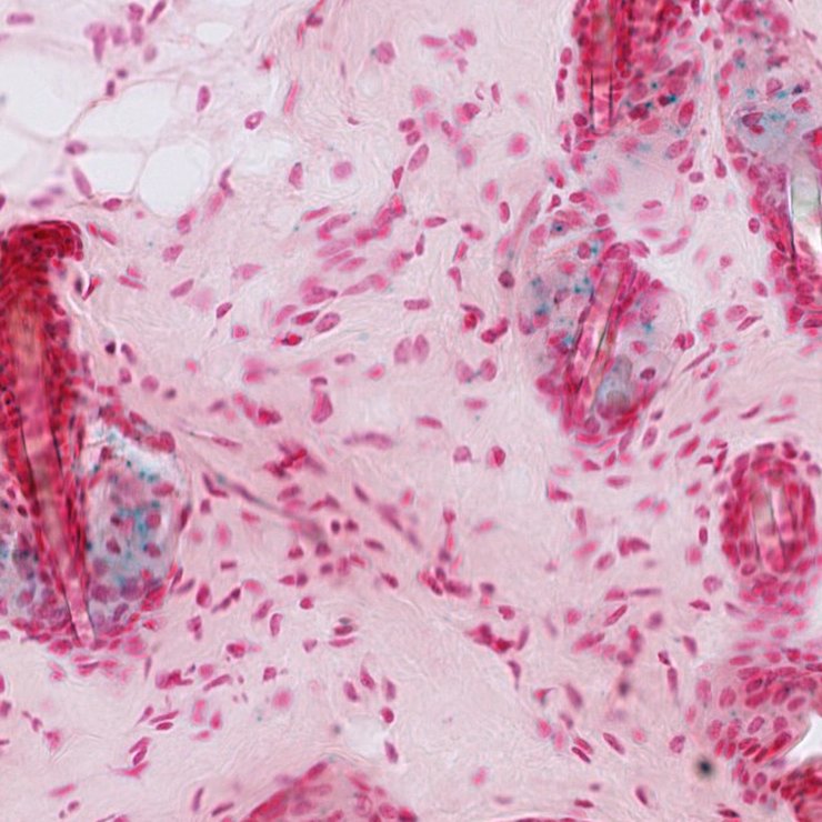
Specimen JAX_1372962: postnatal adult; Clcc1tm1b(KOMP)Mbp/Clcc1+ (more )
Structure Level Pattern Image Note
TS28: midbrain Present JAX_1372962

Specimen JAX_1372963: postnatal adult; Clcc1tm1b(KOMP)Mbp/Clcc1+ (more )
Structure Level Pattern Image Note
TS28: vascular system Present JAX_1372963

Specimen JAX_1372964: postnatal adult; Clcc1tm1b(KOMP)Mbp/Clcc1+ (more )
Structure Level Pattern Image Note
TS28: brown fat Present JAX_1372964

Specimen JAX_1372965: postnatal adult; Clcc1tm1b(KOMP)Mbp/Clcc1+ (more )
Structure Level Pattern Image Note
TS28: hippocampus Present JAX_1372965

Specimen JAX_1372966: postnatal adult; Clcc1tm1b(KOMP)Mbp/Clcc1+ (more )
Structure Level Pattern Image Note
TS28: cartilage Present JAX_1372966

Specimen JAX_1372967: postnatal adult; Clcc1tm1b(KOMP)Mbp/Clcc1+ (more )
Structure Level Pattern Image Note
TS28: aorta Present JAX_1372967

Specimen JAX_1372968: postnatal adult; Clcc1tm1b(KOMP)Mbp/Clcc1+ (more )
Structure Level Pattern Image Note
TS28: lung Present JAX_1372968

Specimen JAX_1372969: postnatal adult; Clcc1tm1b(KOMP)Mbp/Clcc1+ (more )
Structure Level Pattern Image Note
TS28: white fat Present JAX_1372969

Specimen JAX_1372970: postnatal adult; Clcc1tm1b(KOMP)Mbp/Clcc1+ (more )
Structure Level Pattern Image Note
TS28: spinal cord Present JAX_1372970

Specimen JAX_1372971: postnatal adult; Clcc1tm1b(KOMP)Mbp/Clcc1+ (more )
Structure Level Pattern Image Note
TS28: esophagus Present JAX_1372971

Specimen JAX_1372972: postnatal adult; Clcc1tm1b(KOMP)Mbp/Clcc1+ (more )
Structure Level Pattern Image Note
TS28: large intestine Present JAX_1372972

Specimen JAX_1372973: postnatal adult; Clcc1tm1b(KOMP)Mbp/Clcc1+ (more )
Structure Level Pattern Image Note
TS28: uterus Present JAX_1372973

Specimen JAX_1372974: postnatal adult; Clcc1tm1b(KOMP)Mbp/Clcc1+ (more )
Structure Level Pattern Image Note
TS28: skin Present JAX_1372974

Specimen JAX_1372975: postnatal adult; Clcc1tm1b(KOMP)Mbp/Clcc1+ (more )
Structure Level Pattern Image Note
TS28: oviduct Present JAX_1372975

Specimen JAX_1372976: postnatal adult; Clcc1tm1b(KOMP)Mbp/Clcc1+ (more )
Structure Level Pattern Image Note
TS28: ovary Present JAX_1372976

Specimen JAX_1372977: postnatal adult; Clcc1tm1b(KOMP)Mbp/Clcc1+ (more )
Structure Level Pattern Image Note
TS28: mammary gland Present JAX_1372977

Specimen JAX_1372978: postnatal adult; Clcc1tm1b(KOMP)Mbp/Clcc1+ (more )
Structure Level Pattern Image Note
TS28: metanephros Present JAX_1372978 kidney

Specimen JAX_1372979: postnatal adult; Clcc1tm1b(KOMP)Mbp/Clcc1+ (more )
Structure Level Pattern Image Note
TS28: heart Present JAX_1372979

Specimen JAX_1372980: postnatal adult; Clcc1tm1b(KOMP)Mbp/Clcc1+ (more )
Structure Level Pattern Image Note
TS28: eye Present JAX_1372980

Specimen JAX_1372945: postnatal adult; Clcc1tm1b(KOMP)Mbp/Clcc1+ (more )
Structure Level Pattern Image Note
TS28: epididymis Present JAX_1372945

Specimen JAX_1372946: postnatal adult; Clcc1tm1b(KOMP)Mbp/Clcc1+ (more )
Structure Level Pattern Image Note
TS28: submandibular gland Present JAX_1372946

Specimen JAX_1372947: postnatal adult; Clcc1tm1b(KOMP)Mbp/Clcc1+ (more )
Structure Level Pattern Image Note
TS28: bladder Present JAX_1372947

Specimen JAX_1372948: postnatal adult; Clcc1tm1b(KOMP)Mbp/Clcc1+ (more )
Structure Level Pattern Image Note
TS28: peripheral nervous system Present JAX_1372948

Specimen JAX_1372949: postnatal adult; Clcc1tm1b(KOMP)Mbp/Clcc1+ (more )
Structure Level Pattern Image Note
TS28: olfactory lobe Present JAX_1372949

Specimen JAX_1372951: postnatal adult; Clcc1tm1b(KOMP)Mbp/Clcc1+ (more )
Structure Level Pattern Image Note
TS28: cerebellum Present JAX_1372951

Specimen JAX_1372952: postnatal adult; Clcc1tm1b(KOMP)Mbp/Clcc1+ (more )
Structure Level Pattern Image Note
TS28: brainstem Present JAX_1372952

Specimen JAX_1372953: postnatal adult; Clcc1tm1b(KOMP)Mbp/Clcc1+ (more )
Structure Level Pattern Image Note
TS28: pancreas Present JAX_1372953

Specimen JAX_1372954: postnatal adult; Clcc1tm1b(KOMP)Mbp/Clcc1+ (more )
Structure Level Pattern Image Note
TS28: small intestine Present JAX_1372954

Specimen JAX_1372955: postnatal adult; Clcc1tm1b(KOMP)Mbp/Clcc1+ (more )
Structure Level Pattern Image Note
TS28: pituitary gland Present JAX_1372955

Specimen JAX_1372956: postnatal adult; Clcc1tm1b(KOMP)Mbp/Clcc1+ (more )
Structure Level Pattern Image Note
TS28: thyroid gland Present JAX_1372956

Specimen JAX_1372957: postnatal adult; Clcc1tm1b(KOMP)Mbp/Clcc1+ (more )
Structure Level Pattern Image Note
TS28: trachea Present JAX_1372957

Specimen JAX_1372958: postnatal adult; Clcc1tm1b(KOMP)Mbp/Clcc1+ (more )
Structure Level Pattern Image Note
TS28: testis Present JAX_1372958

Specimen JAX_1372959: postnatal adult; Clcc1tm1b(KOMP)Mbp/Clcc1+ (more )
Structure Level Pattern Image Note
TS28: stomach Present JAX_1372959

Specimen JAX_1372960: postnatal adult; Clcc1tm1b(KOMP)Mbp/Clcc1+ (more )
Structure Level Pattern Image Note
TS28: brain Absent JAX_1372960

Specimen JAX_1372961: postnatal adult; Clcc1tm1b(KOMP)Mbp/Clcc1+ (more )
Structure Level Pattern Image Note
TS28: adrenal gland Present JAX_1372961


Contributing Projects:
Mouse Genome Database (MGD), Gene Expression Database (GXD), Mouse Models of Human Cancer database (MMHCdb) (formerly Mouse Tumor Biology (MTB)), Gene Ontology (GO)
Citing These Resources
Funding Information
Warranty Disclaimer, Privacy Notice, Licensing, & Copyright
Send questions and comments to User Support.
last database update
01/20/2026
MGI 6.24
The Jackson Laboratory