About   Help   FAQ
Gene Expression Data
Assay Details
Assay
Reference: J:228563 Koscielny G, et al., The International Mouse Phenotyping Consortium Web Portal, a unified point of access for knockout mice and related phenotyping data. Nucleic Acids Res. 2014 Jan;42(Database issue):D802-9
Assay type: In situ reporter (knock in)
MGI Accession ID: MGI:6692531
Gene symbol: Pla2g4b
Gene name: phospholipase A2, group IVB (cytosolic)
Reporter: lacZ
Direct Detection
Results
Specimen UC Davis_1888741: postnatal adult; Pla2g4btm1b(EUCOMM)Wtsi/Pla2g4b+ (more )
Structure Level Pattern Image Note
TS28: stomach Present UC Davis_1888741

Specimen UC Davis_1888742: postnatal adult; Pla2g4btm1b(EUCOMM)Wtsi/Pla2g4b+ (more )
Structure Level Pattern Image Note
TS28: eye Present UC Davis_1888742

Specimen UC Davis_1888743: postnatal adult; Pla2g4btm1b(EUCOMM)Wtsi/Pla2g4b+ (more )
Structure Level Pattern Image Note
TS28: skin Present UC Davis_1888743

Specimen UC Davis_1888744: postnatal adult; Pla2g4btm1b(EUCOMM)Wtsi/Pla2g4b+ (more )
Structure Level Pattern Image Note
TS28: skin Present UC Davis_1888744

Specimen UC Davis_1888745: postnatal adult; Pla2g4btm1b(EUCOMM)Wtsi/Pla2g4b+ (more )
Structure Level Pattern Image Note
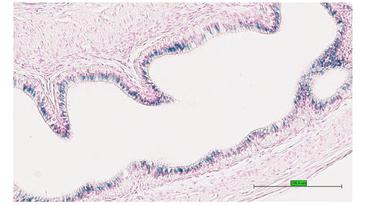
TS28: oviduct Present UC Davis_1888745

Specimen UC Davis_1888746: postnatal adult; Pla2g4btm1b(EUCOMM)Wtsi/Pla2g4b+ (more )
Structure Level Pattern Image Note
TS28: vagina Present UC Davis_1888746

Specimen UC Davis_1888748: postnatal adult; Pla2g4btm1b(EUCOMM)Wtsi/Pla2g4b+ (more )
Structure Level Pattern Image Note
TS28: stomach Present UC Davis_1888748

Specimen UC Davis_1888749: postnatal adult; Pla2g4btm1b(EUCOMM)Wtsi/Pla2g4b+ (more )
Structure Level Pattern Image Note
TS28: metanephros Present UC Davis_1888749 kidney

Specimen UC Davis_1888750: postnatal adult; Pla2g4btm1b(EUCOMM)Wtsi/Pla2g4b+ (more )
Structure Level Pattern Image Note
TS28: metanephros Present UC Davis_1888750 kidney

Specimen UC Davis_1888752: postnatal adult; Pla2g4btm1b(EUCOMM)Wtsi/Pla2g4b+ (more )
Structure Level Pattern Image Note
TS28: testis Present UC Davis_1888752

Specimen UC Davis_1888753: postnatal adult; Pla2g4btm1b(EUCOMM)Wtsi/Pla2g4b+ (more )
Structure Level Pattern Image Note
TS28: epididymis Present UC Davis_1888753

Specimen UC Davis_1888754: postnatal adult; Pla2g4btm1b(EUCOMM)Wtsi/Pla2g4b+ (more )
Structure Level Pattern Image Note
TS28: ductus deferens Present UC Davis_1888754 vas deferens


Contributing Projects:
Mouse Genome Database (MGD), Gene Expression Database (GXD), Mouse Models of Human Cancer database (MMHCdb) (formerly Mouse Tumor Biology (MTB)), Gene Ontology (GO)
Citing These Resources
Funding Information
Warranty Disclaimer, Privacy Notice, Licensing, & Copyright
Send questions and comments to User Support.
last database update
12/30/2025
MGI 6.24
The Jackson Laboratory