About   Help   FAQ
Gene Expression Data
Assay Details
Assay
Reference: J:228563 Koscielny G, et al., The International Mouse Phenotyping Consortium Web Portal, a unified point of access for knockout mice and related phenotyping data. Nucleic Acids Res. 2014 Jan;42(Database issue):D802-9
Assay type: In situ reporter (knock in)
MGI Accession ID: MGI:6692529
Gene symbol: Pycr1
Gene name: pyrroline-5-carboxylate reductase 1
Reporter: lacZ
Direct Detection
Results
Specimen JAX_1122371: embryonic day 12.5; Pycr1tm1.1(KOMP)Vlcg/Pycr1+ (more )
Structure Level Pattern Image Note
TS20: embryo Present JAX_1122371

Specimen JAX_1122373: embryonic day 12.5; Pycr1tm1.1(KOMP)Vlcg/Pycr1+ (more )
Structure Level Pattern Image Note
TS20: embryo Present JAX_1122373

Specimen JAX_1122375: embryonic day 12.5; Pycr1tm1.1(KOMP)Vlcg/Pycr1+ (more )
Structure Level Pattern Image Note
TS20: embryo Present JAX_1122375

Specimen JAX_1122377: embryonic day 12.5; Pycr1tm1.1(KOMP)Vlcg/Pycr1+ (more )
Structure Level Pattern Image Note
TS20: embryo Present JAX_1122377

Specimen JAX_893657: embryonic day 12.5; Pycr1tm1.1(KOMP)Vlcg/Pycr1+ (more )
Structure Level Pattern Image Note
TS20: embryo Present JAX_893657

Specimen JAX_893659: embryonic day 12.5; Pycr1tm1.1(KOMP)Vlcg/Pycr1+ (more )
Structure Level Pattern Image Note
TS20: embryo Present JAX_893659

Specimen JAX_893661: embryonic day 12.5; Pycr1tm1.1(KOMP)Vlcg/Pycr1+ (more )
Structure Level Pattern Image Note
TS20: embryo Present JAX_893661

Specimen JAX_893663: embryonic day 12.5; Pycr1tm1.1(KOMP)Vlcg/Pycr1+ (more )
Structure Level Pattern Image Note
TS20: embryo Present JAX_893663

Specimen JAX_1122363: postnatal adult; Pycr1tm1.1(KOMP)Vlcg/Pycr1+ (more )
Structure Level Pattern Image Note
TS28: skeletal muscle tissue Present JAX_1122363

Specimen JAX_1122365: postnatal adult; Pycr1tm1.1(KOMP)Vlcg/Pycr1+ (more )
Structure Level Pattern Image Note
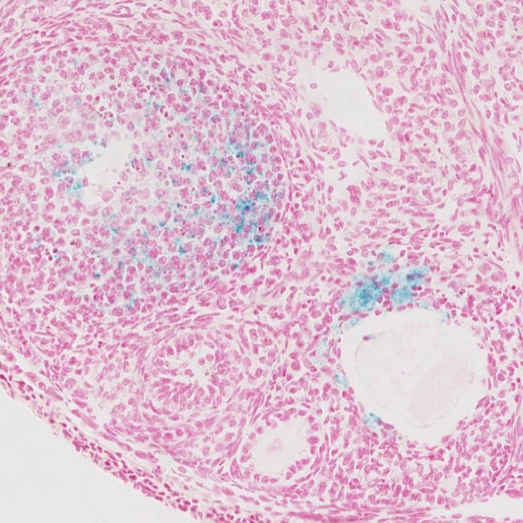
TS28: ovary Present JAX_1122365

Specimen JAX_1122367: postnatal adult; Pycr1tm1.1(KOMP)Vlcg/Pycr1+ (more )
Structure Level Pattern Image Note
TS28: metanephros Present JAX_1122367 kidney

Specimen JAX_1122369: postnatal adult; Pycr1tm1.1(KOMP)Vlcg/Pycr1+ (more )
Structure Level Pattern Image Note
TS28: heart Present JAX_1122369

Specimen JAX_1122355: postnatal adult; Pycr1tm1.1(KOMP)Vlcg/Pycr1+ (more )
Structure Level Pattern Image Note
TS28: submandibular gland Present JAX_1122355

Specimen JAX_1122357: postnatal adult; Pycr1tm1.1(KOMP)Vlcg/Pycr1+ (more )
Structure Level Pattern Image Note
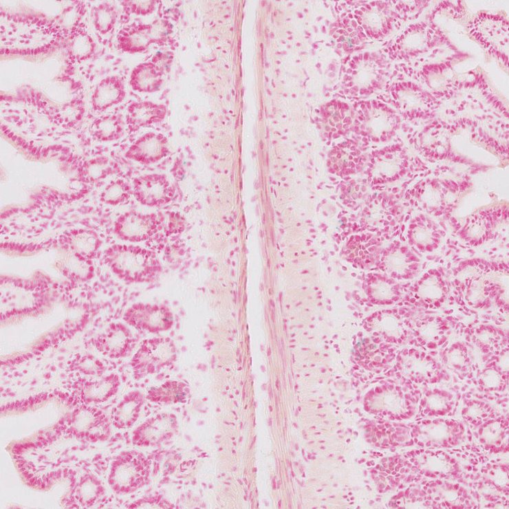
TS28: small intestine Present JAX_1122357

Specimen JAX_1122359: postnatal adult; Pycr1tm1.1(KOMP)Vlcg/Pycr1+ (more )
Structure Level Pattern Image Note
TS28: testis Present JAX_1122359

Specimen JAX_1122361: postnatal adult; Pycr1tm1.1(KOMP)Vlcg/Pycr1+ (more )
Structure Level Pattern Image Note
TS28: stomach Present JAX_1122361


Contributing Projects:
Mouse Genome Database (MGD), Gene Expression Database (GXD), Mouse Models of Human Cancer database (MMHCdb) (formerly Mouse Tumor Biology (MTB)), Gene Ontology (GO)
Citing These Resources
Funding Information
Warranty Disclaimer, Privacy Notice, Licensing, & Copyright
Send questions and comments to User Support.
last database update
01/20/2026
MGI 6.24
The Jackson Laboratory