About   Help   FAQ
Gene Expression Data
Assay Details
Assay
Reference: J:228563 Koscielny G, et al., The International Mouse Phenotyping Consortium Web Portal, a unified point of access for knockout mice and related phenotyping data. Nucleic Acids Res. 2014 Jan;42(Database issue):D802-9
Assay type: In situ reporter (knock in)
MGI Accession ID: MGI:6692528
Gene symbol: Akr1d1
Gene name: aldo-keto reductase family 1, member D1
Reporter: lacZ
Direct Detection
Results
Specimen JAX_1370835: postnatal adult; Akr1d1tm1.1(KOMP)Vlcg/Akr1d1+ (more )
Structure Level Pattern Image Note
TS28: lung Present JAX_1370835

Specimen JAX_1370836: postnatal adult; Akr1d1tm1.1(KOMP)Vlcg/Akr1d1+ (more )
Structure Level Pattern Image Note
TS28: large intestine Present JAX_1370836

Specimen JAX_1370837: postnatal adult; Akr1d1tm1.1(KOMP)Vlcg/Akr1d1+ (more )
Structure Level Pattern Image Note
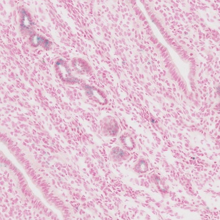
TS28: uterus Present JAX_1370837

Specimen JAX_1370838: postnatal adult; Akr1d1tm1.1(KOMP)Vlcg/Akr1d1+ (more )
Structure Level Pattern Image Note
TS28: thymus Present JAX_1370838

Specimen JAX_1370839: postnatal adult; Akr1d1tm1.1(KOMP)Vlcg/Akr1d1+ (more )
Structure Level Pattern Image Note
TS28: stomach Present JAX_1370839

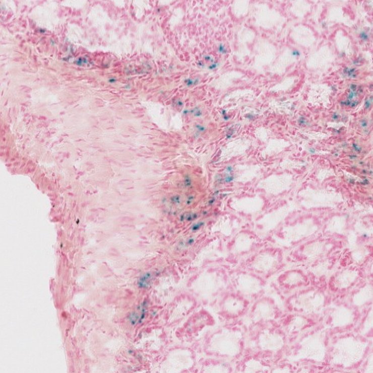
Specimen JAX_1370842: postnatal adult; Akr1d1tm1.1(KOMP)Vlcg/Akr1d1+ (more )
Structure Level Pattern Image Note
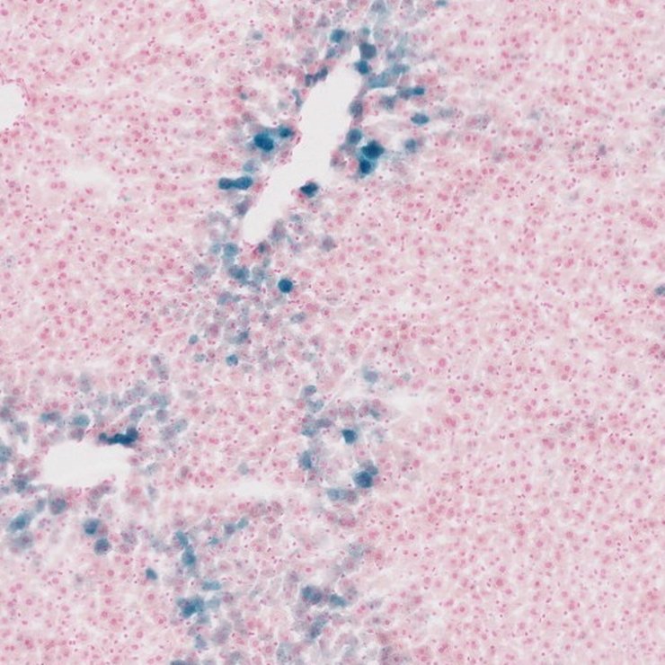
TS28: liver Present JAX_1370842

Specimen JAX_1370843: postnatal adult; Akr1d1tm1.1(KOMP)Vlcg/Akr1d1+ (more )
Structure Level Pattern Image Note
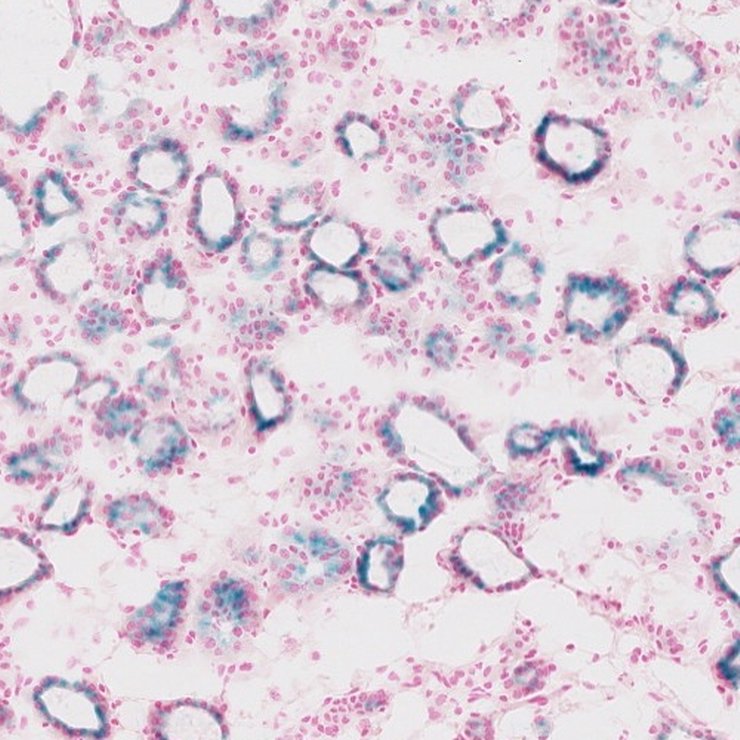
TS28: metanephros Present JAX_1370843 kidney

Specimen JAX_1370844: postnatal adult; Akr1d1tm1.1(KOMP)Vlcg/Akr1d1+ (more )
Structure Level Pattern Image Note
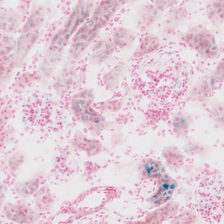
TS28: adrenal gland Present JAX_1370844

Specimen JAX_1370826: postnatal adult; Akr1d1tm1.1(KOMP)Vlcg/Akr1d1+ (more )
Structure Level Pattern Image Note
TS28: submandibular gland Present JAX_1370826

Specimen JAX_1370827: postnatal adult; Akr1d1tm1.1(KOMP)Vlcg/Akr1d1+ (more )
Structure Level Pattern Image Note
TS28: brainstem Present JAX_1370827

Specimen JAX_1370828: postnatal adult; Akr1d1tm1.1(KOMP)Vlcg/Akr1d1+ (more )
Structure Level Pattern Image Note
TS28: spleen Present JAX_1370828

Specimen JAX_1370829: postnatal adult; Akr1d1tm1.1(KOMP)Vlcg/Akr1d1+ (more )
Structure Level Pattern Image Note
TS28: pituitary gland Present JAX_1370829

Specimen JAX_1370830: postnatal adult; Akr1d1tm1.1(KOMP)Vlcg/Akr1d1+ (more )
Structure Level Pattern Image Note
TS28: thyroid gland Present JAX_1370830

Specimen JAX_1370831: postnatal adult; Akr1d1tm1.1(KOMP)Vlcg/Akr1d1+ (more )
Structure Level Pattern Image Note
TS28: trachea Present JAX_1370831

Specimen JAX_1370832: postnatal adult; Akr1d1tm1.1(KOMP)Vlcg/Akr1d1+ (more )
Structure Level Pattern Image Note
TS28: testis Present JAX_1370832

Specimen JAX_1370833: postnatal adult; Akr1d1tm1.1(KOMP)Vlcg/Akr1d1+ (more )
Structure Level Pattern Image Note
TS28: liver Present JAX_1370833

Specimen JAX_1370834: postnatal adult; Akr1d1tm1.1(KOMP)Vlcg/Akr1d1+ (more )
Structure Level Pattern Image Note
TS28: brain Present JAX_1370834


Contributing Projects:
Mouse Genome Database (MGD), Gene Expression Database (GXD), Mouse Models of Human Cancer database (MMHCdb) (formerly Mouse Tumor Biology (MTB)), Gene Ontology (GO)
Citing These Resources
Funding Information
Warranty Disclaimer, Privacy Notice, Licensing, & Copyright
Send questions and comments to User Support.
last database update
01/28/2026
MGI 6.24
The Jackson Laboratory